Download

ORIGINAL ARTICLE

Umbelliferone ameliorates acrylamide-induced brain damage by attenuating oxidative stress, inflammation, and apoptosis and restoring Nrf2/HO-1 in mice

Abdulmohsen I. Algefare, Manal A. Alfwuaires*

Department of Biological Sciences, Faculty of Science, King Faisal University, 31982, Al-Ahsa, Saudi Arabia

Abstract

Umbelliferone (UF), a natural coumarin derivative, possesses antioxidant and anti-inflammatory actions. Acrylamide (ACR) is a known neurotoxic compound that induces oxidative stress, inflammation, and apoptotic cell death, contributing to neurotoxic damage. This study aimed to assess the potential neuroprotective effects of UF against ACR-induced brain damage in mice. Mice received UF (25 or 50 mg/kg, orally) for 14 days, followed by ACR (50 mg/kg, intraperitoneally) for the last 11 days. ACR exposure significantly increased malondialdehyde and protein carbonyl contents and decreased reduced glutathione levels and superoxide dismutase and catalase activities in the brain. Hematoxylin and eosin staining assessments revealed pronounced histological alterations in the brains of ACR-injected animals, indicating severe neurotoxic damage. The brains of ACR-administrated animals also showed increased nuclear factor-kappa B (NF-κB) p65 expression and elevated tumor necrosis factor-alpha and interleukin-1β levels. ACR exposure resulted in significantly increased Bax and caspase-3 levels and decreased Bcl-2 levels in the brain. Overall, UF treatment ameliorated histopathological changes, mitigated oxidative stress, enhanced cellular antioxidants, suppressed NF-κB p65 and inflammatory mediators, modulated apoptotic markers (Bcl-2, Bax, and caspase-3), and restored Nrf2/HO-1 in the brain. In conclusion, UF exerts significant neuroprotective effects against ACR-induced brain injury by modulating Nrf2/HO-1 signaling and mitigating inflammation, oxidative stress, and apoptosis. These findings suggest that UF may represent promising neuroprotective effects against ACR-induced neurotoxicity and potentially other brain injuries driven by oxidative stress and inflammation.

Key words: acrylamide, brain injury, inflammation, oxidative stress, Nrf2, umbelliferone

*Corresponding Author: Manal A. Alfwuaires, Department of Biological Sciences, Faculty of Science, King Faisal University, 31982, Al-Ahsa, Saudi Arabia; Email: [email protected]

Academic Editor: Prof. Bernard Fioretti—University of Perugia, Italy

Received: 27 April 2025; Accepted: 3 July 2025; Published: 1 October 2025

DOI: 10.15586/ijfs.v37i4.3143

© 2025 Codon Publications
This is an Open Access article distributed under the terms of the Creative Commons Attribution-NonCommercial-ShareAlike 4.0 International (CC BY-NC-SA 4.0). License (http://creativecommons.org/licenses/by-nc-sa/4.0/)

Introduction

Acrylamide (ACR) is a widely recognized industrial chemical that has gained attention due to its formation in heat-processed foods rich in carbohydrates (Fan et al., 2023). Literature has demonstrated its genotoxic, carcinogenic, and neurotoxic effects in different animal species (Cota et al., 2022; Exon, 2006; Fan et al., 2023). The human body is exposed to these neurotoxins through diet, lifestyle, occupation, and environmental sources, resulting in neurotoxic effects such as ataxia, peripheral neuropathy, and neurodegenerative diseases (Erkekoglu and Baydar, 2014; Semla et al., 2017). Due to ACR’s ability to cross the blood-brain barrier, it has toxic effects on the central nervous system (CNS) by increasing oxidative stress, inflammation, and apoptosis (Koszucka et al., 2020; Rajeh, 2024; Sharma and Kang, 2020; Zhao et al., 2022b). Oxidative stress is one of the leading mechanisms by which ACR causes neurotoxicity by overproducing reactive oxygen species (ROS) (Santhanasabapathy et al., 2015; Zhao et al., 2022a; Zhao et al., 2022b). Furthermore, ACR-induced oxidative stress also triggers neuroinflammation by activating the nuclear factor-kappa B (NF-κB) pathway, which plays a central role in regulating inflammatory responses in the brain (Guo et al., 2020; Liu et al., 2015; Zhao et al., 2017). Activation of NF-κB results in increased production of pro-inflammatory cytokines such as tumor necrosis factor-alpha (TNF-α), interleukin-1 beta (IL-1β), and IL-6, which further lead to neuronal damage, disturbance of synaptic function, and augmented neurodegeneration (He et al., 2017; Liu et al., 2020; Zhao et al., 2017; Zhao et al., 2022b). In the brain, increased oxidative stress can lead to inflammatory responses and neuronal apoptosis, culminating in progressive neuronal injury and loss (Amirshahrokhi and Abzirakan, 2022; Poh Loh et al., 2006; Zhao et al., 2022b). Because of ACR’s abundance in food products and its potential threat to human health, there is an urgent need to find effective neuroprotective approaches that can attenuate ACR-induced neurotoxicity.

Plants and their derived bioactive compounds have been shown to possess health-promoting properties and are generally recognized safety as part of functional and therapeutic foods (Ahmed et al., 2025; Alotaibi et al., 2024; Samtiya et al., 2021). Umbelliferone (UF; 7-hydroxycoumarin) is a bioactive molecule of natural coumarins that is mainly found in plants from Apiaceae and Rutaceae families (Mazimba, 2017). This compound is hailed for its several pharmacological actions such as antioxidant, anti-inflammatory, neuroprotective, cardioprotective, hepatoprotective, and nephroprotective effects (Cota et al., 2022; Germoush et al., 2018b; Mahmoud et al., 2017; Mahmoud et al., 2019; Seong et al., 2019; Yang et al., 2023; Zhou et al., 2023). Recently, UF has been shown to protect against ACR-induced acute kidney injury in rats by attenuating oxidative damage and inflammation, boosting antioxidant defenses, and modulating nuclear factor erythroid 2-related factor 2 (Nrf2)/ heme oxygenase-1 (HO-1) pathway (Ageena et al., 2025). UF was also able to prevent isoproterenol-induced myocardial injury in rats by restoring Nrf2/HO-1 signaling and reducing oxidative stress, inflammation, and apoptosis (Althunibat et al., 2022). Besides, UF protected against cerebral ischemic injury by promoting mitophagy both in vivo and in vitro (Zhou et al., 2023). UF has also been shown to prevent the brain ischemic injury via inhibiting NF-κB-mediated inflammation in rats (Liang et al., 2021). Several studies suggested that UF’s ability to protect against tissue injury are largely attributed to its ability to scavenge ROS and to enhance endogenous antioxidant defense mechanisms through modulation of Nrf2/HO-1 (Ageena et al., 2025; Althunibat et al., 2022; Germoush et al., 2018b; Hassanein et al., 2020; Mahmoud et al., 2017; Mazur et al., 2021). Nrf2 is considered a key cytoprotective factor that is known to regulate antioxidant defenses (Ngo and Duennwald, 2022; Wang et al., 2022) and its modulation was shown the ability to protect against ACR-induced brain damage (Ekuban et al., 2021; El-Shehawi et al., 2022). Importantly, UF has been reported to be safe with no significant toxic side effects and it has the ability to cross the blood-brain barrier (Cruz et al., 2020; Subramaniam and Ellis, 2013), suggesting that it could be a promising candidate for protecting against ACR-induced brain damage.

Although UF has been reported to exhibit a multitude of pharmacological effects, its protective effect against ACR-induced brain injury has not been fully explored. This study assessed the neuroprotective effects of UF, focusing on its ability to attenuate oxidative stress, inflammation, and apoptosis, with particular attention to the possible role of the Nrf2/HO-1 signaling pathway. These findings shed light on the neuroprotective properties of UF, suggesting it could serve as a promising adjuvant candidate for mitigating toxin-induced brain injuries.

Materials and Methods

Animals and treatment

Animal protocols in this study adhered to the National Institutes of Health (NIH) Guide for the Care and Use of Laboratory Animals and were approved by the Research Ethics Committee at King Faisal University (KFU-REC-2025-ETHICS3178). Thirty Swiss albino mice (25–28 g) were used in the study, housed at 23 ± 2 °C with 12h light-dark cycles and free access to food and water. Seven days before experimentation, the animals were allowed to acclimatize to the experimental conditions. We randomized the mice into 5 groups (n=6) as follows:

Group I (Control): Mice orally received 0.5% CMC for 14 days followed by normal saline injections (intraperitoneal; i.p.) from the 4th to the 14th day.

Group II (UF 50): Mice orally received UF (50 mg/kg/day suspended in 0.5% CMC) for 14 days.

Group III (ACR): Mice were injected (i.p.) with ACR (50 mg/kg/day, dissolved in normal saline) from the 4th to the 14th day.

Group IV (UF 25+ACR): Mice were orally administered with UF (25 mg/kg/day, 14 days) and ACR (i.p.) (50 mg/kg/day, 4th to 14th day).

Group V (UF 50+ACR): Mice orally received UF (50 mg/kg/day, 14 days) and ACR (i.p.) (50 mg/kg/day, 4th to 14th day).

The ACR (Sigma-Aldrich, St. Louis, MO, USA) doses and treatment protocols were selected based on earlier studies (LoPachin, 2005; Mehri et al., 2014). Similarly, doses of UF (Santa Cruz Biotechnology, Dallas, TX, USA) were guided by previous studies that demonstrated its strong antioxidant and anti-inflammatory properties (Althunibat et al., 2022; Germoush et al., 2018a).

At the end of the experimental period, animals were anesthetized using an i.p. injection of xylazine (10 mg/kg) and ketamine (100 mg/kg). Mice were then humanely sacrificed, and their brains were carefully removed, rinsed with cold phosphate-buffered saline (PBS, 50 mM, pH 7.0), and divided into appropriate portions for further analysis. Some tissue portions were homogenized in cold PBS (1:10 w/v) and centrifuged, and the resultant supernatants were used for subsequent biochemical analysis. The remaining samples were fixed in 10% neutral buffered formalin (NBF) for histological and immunohistochemical (IHC) examinations.

Gait score assessment

The gait score assessment was used to evaluate motor impairments and neurotoxicity-induced locomotor deficits in mice. Gait scores were evaluated as previously described methodology (LoPachin et al., 2002). On days 0, 7, and 14 of treatment, mice were individually placed on a clean, flat surface and allowed free movement for a 3-minute observation period. Gait abnormalities were assessed using a four-point scoring system: Score 1 indicated normal gait with no observable abnormalities; Score 2 represented a slightly affected gait, characterized by mild foot splay, slight ataxia, and hind limb weakness; Score 3 reflected a moderately affected gait with reduced activity, more pronounced foot splay, and moderate limb spread during ambulation; and Score 4 indicated severe gait impairment, marked by foot splay, significant hind limb weakness, dragging of the hind limbs, and an inability to rear. The average score for each mouse was calculated for statistical analysis.

Histological evaluation of tissue damage

Following fixation, histological slides stained with hematoxylin and eosin (H&E) were prepared to assess the extent of tissue damage in the brains of all animal groups. After embedding and sectioning into 5 µm slices, the sections were then stained with H&E as previously outlined (Bancroft and Gamble, 2008). The slides were then examined by a histopathologist under a Leica DFC camera-fitted Leica microscope.

Oxidative stress markers and antioxidants in the brain

Malondialdehyde (MDA) (Ohkawa et al., 1979) and protein carbonyl (Levine et al., 1990) contents in the brain were determined as previously outlined methods. Antioxidant defenses, including reduced glutathione (GSH) levels (Griffith, 1980) and superoxide dismutase (SOD) (Spitz and Oberley, 1989) and catalase (CAT) (Aebi, 1984) activities, were determined in the brain as previously outlined methods. The brain content of HO-1 was measured using enzyme-linked immunosorbent assay (ELISA) according to the instructions provided with the kit (FineTest, Wuhan Hubei, China).

Brain levels pro-inflammatory cytokines, Bax, and Bcl-2

Brain levels of TNF-α and IL-1β were measured using ELISA according to the instructions provided with the kits (FineTest, Wuhan, Hubei, China). Bcl-2 and Bax contents in the brain were estimated using ELISA kits provided by MyBioSource (San Diego, CA, USA), following the manufacturer’s instructions.

Immunohistochemistry analysis

Expression levels of NF-κB p65, caspase-3, and Nrf2 proteins in brain tissues were assessed through IHC staining. Brain samples were dewaxed and deparaffinized and subjected to antigen retrieval by immersion in a citrate buffer solution (50 mM, pH 6.8). The activity of endogenous peroxidase was inhibited by renal tissue incubation in hydrogen peroxide (H2O2) solution (0.3%) whereas non-specific antigen-antibody interactions were inhibited by serum incubation (20 min). Further, tissues and primary antibodies were overnight incubated (4°C), which targeted specific proteins of interest: anti-NF-κB p65 (1:100, Santa Cruz Biotechnology, Dallas, TX, USA), anti-caspase-3 (1:100, Invitrogen, Waltham, MA, USA), and anti-Nrf2 (1:100, Invitrogen). After washing, secondary antibody labeling was carried out using the EnVision+™ HRP polymer detection system (Dako, Santa Clara, CA, USA). Color development was performed using DAB substrate whereas Mayer’s hematoxylin carried out the counterstaining. The stained slides were observed using a camera-equipped light microscope. ImageJ analysis (NIH, USA) software quantified the staining intensity based on the positive expression area. Protein expression levels in each group were quantified relative to the control group.

Analysis of data

All analyses were performed with GraphPad Prism 7 software (San Diego, CA, USA). One-way analysis of variance (ANOVA) followed by Tukey’s post-hoc test was used for multiple comparison analyses. All the values are reported as mean ± SEM. A p < 0.05 was considered statistically significant.

Results

UF attenuates ACR-induced gait score abnormalities in mice

As shown in Figure 1, mice exposed to ACR showed a significant (P < 0.05) increase in gait score abnormalities compared to the control group. Mice treated with ACR exhibited clear signs of neurotoxicity, as reflected by their elevated gait scores, indicating that ACR negatively affected their motor coordination. However, co-administration of UF resulted in noticeable improvement, where mice showed lower gait scores compared to the ACR-only group (P < 0.05; Figure 1), suggesting a neuroprotective effect against ACR-induced motor deficits in mice.

Figure 1. UF attenuates gait impairment in ACR-exposed mice. Mice treated with ACR showed significantly impaired movement, as indicated by increased gait scores. Co-treatment with UF markedly improved their motor function, as evidenced by decreased gait scores. Data are presented as mean ± SEM (n = 6). a, p < 0.05 vs. control; b, p < 0.05 vs. ACR.

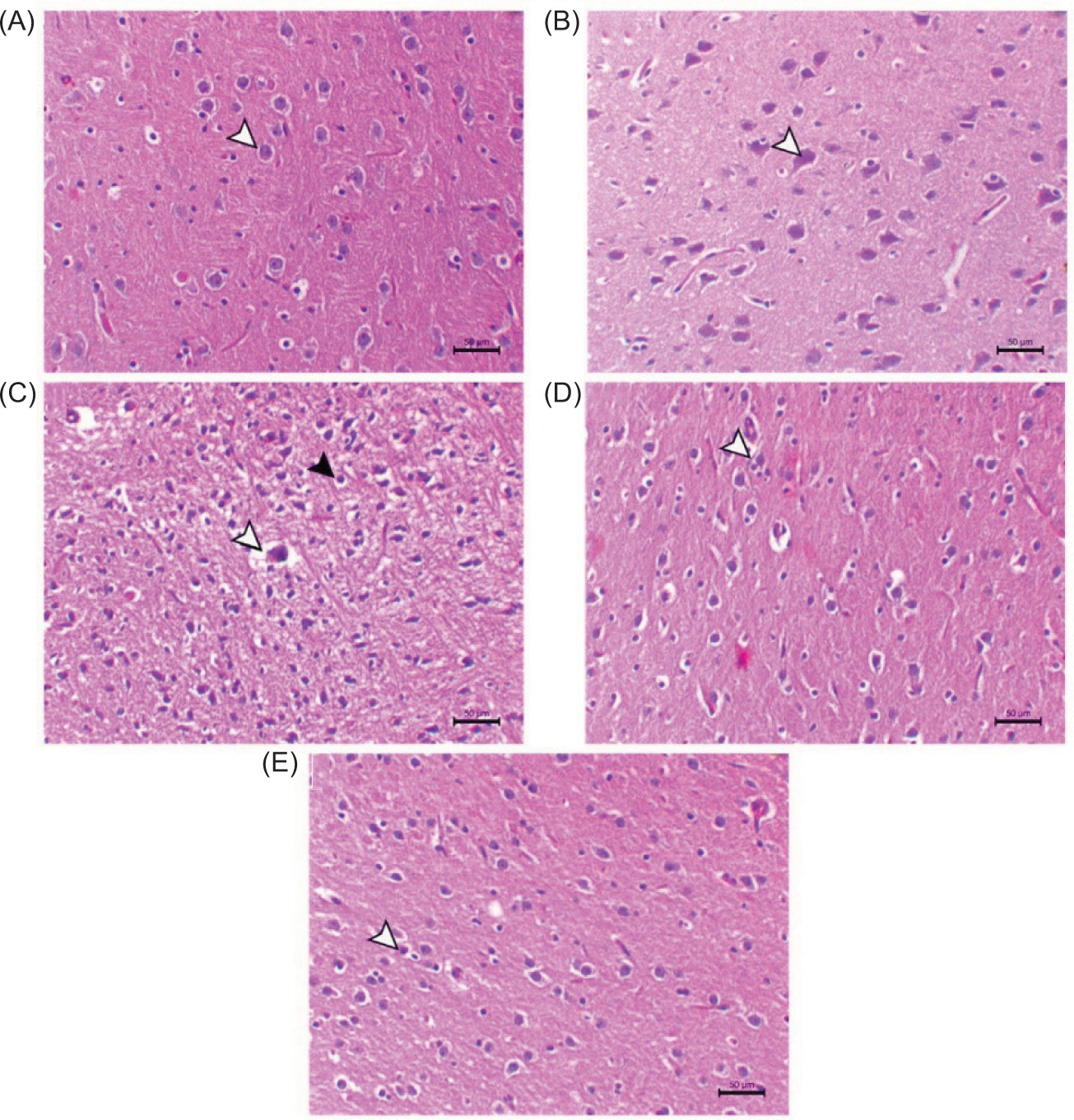
UF attenuates ACR-induced tissue damage in the brain

The protective efficacy of UF against brain injury was assessed by assaying histopathological alterations in the brain (Figure 2). H&E-stained sections of the cerebral cortex from control and UF-treated mice showed normal neuronal cells within intact nerve fibers. H&E-stained sections of the cerebral cortex from ACR-treated mice showed early malacic changes and significant ischemic changes in neuronal cells, associated with deep cytoplasmic basophilia and marked cellular atrophy (Figure 2). Treatment with UF at both doses attenuated pathological changes in the cerebral cortex of ACR-administered mice (Figure 2).

Figure 2. UF attenuates brain damage and neuronal loss in ACR-treated mice. H&E-stained sections of the cerebral cortex from (A) control and (B) UF-treated animals showed normal neuronal cells (arrowhead) within intact nerve fibers. In contrast, (C) sections from ACR-treated animals exhibited early malacic changes (white arrowhead) and severe ischemic changes in neuronal cells, characterized by deep cytoplasmic basophilia and marked cellular atrophy (black arrowhead). (D) Sections from ACR-injected mice treated with 25 mg/kg UF showed a marked decrease in neuronal injury with focal gliosis associated with neuronophagia (white arrowhead). (E) Sections from ACR-injected mice treated with 50 mg/kg UF also showed a marked reduction in neuronal injury (white arrowhead). H&E stain; scale bar = 50 μm.

UF attenuates brain oxidative stress in ACR-intoxicated mice

Administration of ACR resulted in a significant (P < 0.05) increase in MDA (Figure 3A) and protein carbonyl (Figure 3B) compared to the control mice. There was a significant (P < 0.05) decrease in GSH contents (Figure 3C) and SOD (Figure 3D) and CAT (Figure 3E) activities in the brain tissue of ACR-injected mice. UF effectively attenuated oxidative stress and boosted antioxidants in the brain of ACR-administrated mice.

Figure 3. UF ameliorates oxidative stress in the brains of ACR-injected mice. Treatment with UF in ACR-administered mice reduced (A) MDA and (B) protein carbonyl levels and increased (C) GSH content as well as (D) SOD and (E) CAT activities in the brain. Data are presented as mean ± SEM (n = 6). a, p < 0.05 vs. control; b, p < 0.05 vs. ACR.

UF mitigates inflammation in the brain of ACR-injected mice

Administration of ACR resulted in a significant (P < 0.05) increase in the expression levels of NF-κB p65 in the brain when compared with the control group (Figure 4A and B). Although UF had no effect on normal mice, it significantly (P < 0.05) decreased NF-κB p65 in ACR-treated mice. The anti-inflammatory activity of UF was further supported by the findings of the pro-inflammatory cytokines, where UF significantly (P < 0.05) reduced the levels of TNF-α (Figure 4C) and IL-1β (Figure 4D) in the brain.

Figure 4. UF mitigates inflammation in the brain following ACR exposure. (A) Photomicrographs showing NF-κB p65 immunohistochemical (IHC) staining in the brain (brown color indicates positive NF-κB p65 immunostaining; IHC; scale bar = 50 µm). (B) Quantification of NF-κB p65 immunostaining in all groups, expressed relative to the control group. NF-κB p65 expression was determined as the percentage of NF-κB p65-positive cells per 1,000 neuronal cells. (C–D) Mean ± SEM values for (C) TNF-α and (D) IL-1β levels in the brain. a, p < 0.05 vs. control; b, p < 0.05 vs. ACR.

UF suppresses apoptosis in the brain of ACR-induced mice

We further evaluated the levels of key apoptosis markers, including Bax, Bcl-2, and caspase-3, in the brain. ACR exposure significantly (P < 0.05) decreased Bcl-2 levels (Figure 5A) and increased Bax levels in the brain (Figure 5B). In addition, ACR intoxication led to a remarkable (P < 0.05) elevation in caspase-3 protein expression in brain tissues (Figure 5C and D). Treatment with UF mitigated ACR-induced apoptosis in the brain, as evidenced by enhanced Bcl-2 levels, in concomitant decline in Bax and caspase-3 levels in the brain (Figure 5A–D). UF alone did not induce changes in the aforementioned markers in the brain of control mice.

Figure 5. UF suppresses apoptosis in the brains of ACR-treated mice. Mean ± SEM values are shown for (A) Bcl-2 and (B) Bax levels in the brain, measured by ELISA. (C) Photomicrographs showing caspase-3 immunohistochemical (IHC) staining in the brain (brown color indicates positive caspase-3 immunostaining; IHC; scale bar = 50 µm). (D) Quantification of caspase-3 immunostaining in all groups, expressed relative to the control group. Caspase-3 expression was determined as the percentage of caspase-3-positive cells per 1,000 neuronal cells. a, p < 0.05 vs. control; b, p < 0.05 vs. ACR.

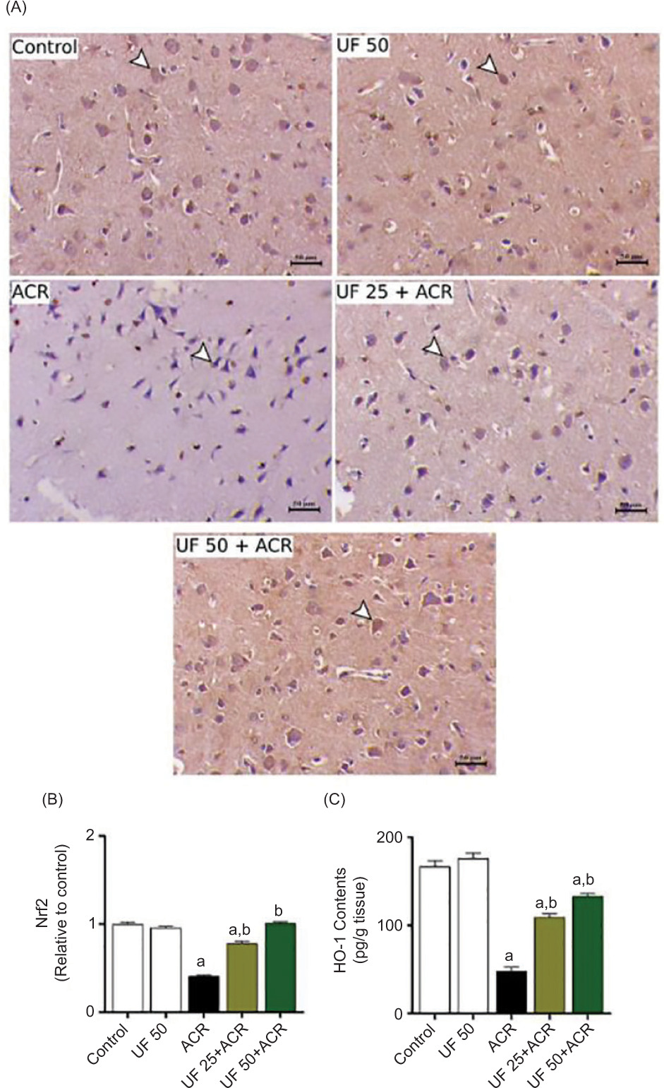
UF restores Nrf2/HO-1 signaling in ACR-injected mice

The potential molecular mechanism underlying the protective effects of UF was further explored by assessing the Nrf2/HO-1 pathway. ACR administration led to a significant (P < 0.05) decrease in Nrf2 protein expression (Figure 6A and B) and HO-1 levels (Figure 6C) in brain tissues compared to control animals. Interestingly, UF treatment significantly (P < 0.05) restored Nrf2 expression and HO-1 levels (Figure 6A-C), indicating restoration of this protective pathway. UF alone did not induce changes in Nrf2/HO-1 signaling in the brains of control mice.

Figure 6. UF restores the Nrf2/HO-1 pathway in the brains of ACR-treated mice. (A) Photomicrographs showing Nrf2 immunohistochemical (IHC) staining in the brain across all animal groups (brown color indicates positive Nrf2 immunostaining; IHC; scale bar = 50 µm). (B) Quantification of Nrf2 immunostaining in all groups, expressed relative to the control group. Nrf2 expression was determined as the percentage of Nrf2-positive immunostained area within nervous tissue. (C) Mean ± SEM values for HO-1 levels in the brain. a, p < 0.05 vs. control; b, p < 0.05 vs. ACR.

Discussion

Accumulating evidence suggests that the mechanisms of ACR-induced neurotoxic effects involve oxidative stress, inflammation, and apoptosis in the brain (Koszucka et al., 2020; Rajeh, 2024; Sharma and Kang, 2020; Zhao et al., 2022b). It has been shown that UF has several promising protective effects in a variety of tissue injury models, including neurodegenerative diseases, ischemic injuries, and toxin-induced organ damage (Althunibat et al., 2022; Germoush et al., 2018b; Mahmoud et al., 2017; Mahmoud et al., 2019; Seong et al., 2019; Yang et al., 2023; Zhou et al., 2023). This study evaluated the protective effects of UF against ACR-induced inflammation, oxidative stress, and apoptosis in mouse brain. Our findings suggest that UF can effectively protect against ACR-induced brain injury by dampening oxidative damage, suppressing the inflammatory response, inhibiting apoptosis, and restoration of Nrf2/HO-1 signaling in mice.

Accumulating evidence suggested that ACR-induced brain injury can cause a range of histopathological changes, including swelling of the perinuclear space, cerebral edema hyperchromatic, vacuolation of neuropil nuclei, focal areas of hemorrhages, condensed nuclei along with damaged cells and nuclear pyknosis, among others (Amirshahrokhi and Abzirakan, 2022; Edres et al., 2021; Gür et al., 2023; Ibrahim and Shahen, 2023; Lakshmi et al., 2012). ACR-induced brain injury in the present study was characterized by early malacic changes and severe degree of ischemic changes of the neuronal cells associated with deep cytoplasmic basophilia and marked cellular atrophy. Largely, UF treatment attenuated these histological abnormalities, providing new information that UF has a protective effect against ACR-induced brain injury. Accordingly, previous studies showed that UF has beneficial effects for neuroprotection against chronic unpredictable mild stress-induced model of depression (Qin et al., 2017) and cerebral ischemia reperfusion-induced brain injury (Wang et al., 2015) in rats.

Although the molecular mechanisms of ACR-induced brain injury are not entirely clear, several studies demonstrated that oxidative stress plays a central role in the development of ACR-induced brain damage (Rajeh, 2024; Zhao et al., 2022b). ACR has the ability to cross the blood-brain barrier, allowing it to directly interfere with the nervous system (Koszucka et al., 2020; Zhao et al., 2022a). Once inside the body, ACR undergoes metabolism primarily via cytochrome P450 enzymes, producing reactive compounds like glycidamide. This metabolite is particularly harmful because of its strong affinity for vital cellular structures like DNA, proteins, and lipids, where it causes extensive molecular damage (Rifai and Saleh, 2020; Zhao et al., 2022a). Additionally, exposure to ACR has been closely tied to mitochondrial dysfunction, where it disrupts the electron transport chain, weakens the mitochondrial membrane potential, and drives the overproduction of ROS, eventually leading to oxidative damage in brain tissues (Liu et al., 2015; Rajeh, 2024; Zhao et al., 2017). Consistent with findings from previous studies (Amirshahrokhi and Abzirakan, 2022; Gür et al., 2023; He et al., 2017; Ibrahim and Shahen, 2023; Santhanasabapathy et al., 2015), our results showed that ACR exposure led to increased MDA and protein carbonyl levels, associated with decreased GSH level and SOD and CAT activities in brain tissues. Increased lipid peroxidation alters membrane fluidity and permeability, disrupts membrane integrity, and inactivates membrane-bound proteins, ultimately culminating in cellular damage (Catalá and Díaz, 2016; Hall et al., 2016). Additionally, oxidative alteration of proteins can cause protein misfolding and aggregation, disruption of structural protein conformation, and inactivation of enzymatic activity, leading to cellular dysfunction, structural damage, and impaired biochemical processes (Hall et al., 2016; Wang et al., 2012). Therefore, restoration of antioxidant defenses and modulation of oxidative stress represents promising therapeutic strategies for mitigating ACR-induced brain injury. Herein, UF effectively suppressed MDA and protein carbonyls contents and restored GSH levels and SOD and CAT activities in the brain, demonstrating its antioxidant efficacy. The antioxidant properties of UF have been previously documented in other models, such as focal cerebral ischemia induced by middle cerebral artery occlusion/reperfusion (Wang et al., 2015), ACR-induced acute kidney injury (Ageena et al., 2025), 1-methyl-4-phenyl-1, 2, 3, 6-tetrahydropyridine-induced neurotoxicity (Subramaniam and Ellis, 2013), and isoproterenol-induced myocardial injury (Althunibat et al., 2022) in animals, where UF mitigated oxidative damage and boosted antioxidant defense mechanisms. A previous in vitro study showed that UF protected human astrocytoma 1321N1 cells from H2O2- and aldehyde-induced damage via induction of the aldo-keto reductases (Li and Ellis, 2012).

The persistently oxidative stress coupled with compromised antioxidant defenses is known to activate inflammatory and apoptotic signaling in cells, resulting in tissue damage and organ failure (Dash et al., 2024; Zhao et al., 2022a; Zhao et al., 2017; Zhao et al., 2022b). Inflammatory response, including NF-κB activation, has been demonstrated to play an important role in ACR-induced neurotoxicity (Amirshahrokhi and Abzirakan, 2022; Liu et al., 2015; Sui et al., 2020; Zhao et al., 2017). Although NF-κB activation in neurons may provide cellular survival, protection and repair (Koo et al., 2010; Mattson and Meffert, 2006; Shih et al., 2015), several studies have demonstrated that following brain injury, excessive activation of NF-κB in neurons, astrocytes, and microglial cells can lead to a cascade of inflammatory responses that eventually culminating in local brain inflammation and subsequently aggravating neuronal damage (Amirshahrokhi and Abzirakan, 2022; Guo et al., 2024; Zhao et al., 2017). In addition, oxidative stress and excessive generation of ROS lead to DNA damage and disrupt mitochondrial function, causing ATP depletion and leading to neuronal apoptosis (Nissanka and Moraes, 2018; Olufunmilayo et al., 2023; Rao et al., 2014). Mitochondrial membrane damage by ROS also culminates into dissipating the mitochondrial membrane potential, promoting the release of cytochrome c and the activation of downstream caspases, including the executioner caspase-3 and subsequently neuronal apoptosis (Olufunmilayo et al., 2023; Rao et al., 2014). Previous findings demonstrated that ACR can lead to activation of the mitochondrion-driven apoptotic signaling and neurotoxicity in a mouse microglia cell line BV2 (Liu et al., 2015). In agreement with previous studies (Amirshahrokhi and Abzirakan, 2022; Bin-Jumah et al., 2021; Edres et al., 2021; Guo et al., 2020; Li et al., 2006; Sun et al., 2018; Zhang et al., 2014), our results showed that ACR resulted in a large elevation in NF-κB and caspase-3 expression and IL-1β, TNF-α, and Bax levels, while decreased Bcl-2 in the brain. The interaction between these processes creates a vicious cycle that worsens neuronal damage, underscoring the necessity for targeted therapeutic interventions aimed at modulating these interconnected pathways to protect against ACR-induced brain damage. Herein, the treatment of ACR-intoxicated mice with UF largely ameliorated NF-κB p65, TNF-α, IL-1β, Bax, Bcl-2, and caspase-3 in brain tissues. These results align with earlier studies showing that UF was able to modulate inflammation and/or apoptosis in animals model of ACR-induced acute kidney injury and inflammation (Ageena et al., 2025), chronic unpredictable mild stress-induced depression-like behavior by mitigating neuronal apoptosis and inhibiting inflammatory cytokines levels (Qin et al., 2017), streptozotocin-induced neuroinflammation by attenuation of NF-κB p65, TNF-α and IL-6 levels (Hindam et al., 2020), isoproterenol-induced myocardial inflammation and apoptosis by modulation of NF-κB p65, inflammatory mediators, Bax, caspase-3, and Bcl-2 levels (Althunibat et al., 2022), and cyclophosphamide-induced hepatic inflammation by attenuating NF-κB, proinflammatory cytokines, and inducible nitric oxide synthase levels (Mahmoud et al., 2017).

To further explore its neuroprotective effects against ACR-induced brain damage, we assessed the effect of UF on Nrf2/HO-1 signaling pathway in the brain. Consistent with previous studies (Edres et al., 2021; El-Shehawi et al., 2022; Zhang et al., 2023), the present findings demonstrated that ACR exposure resulted in a significant decrease in Nrf2 expression and HO-1 levels in the brain. Nrf2 is a key transcription factor involved in the protective mechanisms against various toxic and oxidative insults through regulating the expression of a wide array of antioxidant and detoxifying genes (Ekuban et al., 2021; Ma, 2013; Tonelli et al., 2018). Furthermore, Nrf2 plays a key role in suppressing the inflammatory response by attenuating oxidative stress-mediated activation of NF-κB and inhibition of proteasomal degradation of IκB-α, thereby inhibiting NF-κB nuclear translocation (Saha et al., 2020; Wardyn et al., 2015). Nrf2 signaling pathway significance in preventing ACR-induced brain damage is supported by a study where Nrf2-knockout mice were more susceptible to ACR-induced neurotoxicity and neuroinflammation, highlighting the dual role of Nrf2 in upregulating antioxidative enzyme gene expression and suppressing proinflammatory cytokines gene expression (Ekuban et al., 2021). Hence, restoration of Nrf2/HO-1 is recognized as a key potential therapeutic approach for the prevention of oxidative tissue damage. In the present study, treatment of ACR-injected mice with UF markedly restored Nrf2 and HO-1 levels in the brain. These results align with previous studies where modulation of Nrf2/HO-1 by UF attenuated ACR-induced acute kidney injury (Ageena et al., 2025), isoproterenol-induced myocardial injury (Althunibat et al., 2022), cyclophosphamide-induced hepatotoxicity (Mahmoud et al., 2017), and streptozotocin-induced rat model of sporadic Alzheimer’s disease (Hindam et al., 2020) in animals. Thus, it can be speculated that the modulation of Nrf2/HO-1 by UF could be, at least in part, lead to its anti-inflammatory and antioxidant actions, reinforcing its potential as an adjuvant agent against ACR-induced brain damage.

Although we clearly demonstrated significant modulation of key inflammatory and apoptotic markers through IHC and ELISA, the corresponding gene expression levels were not assessed using quantitative real-time PCR (RT-qPCR). While this represents a minor limitation, it does not detract from the strength of our findings. The consistency and clarity of the histological, biochemical, and IHC results offer compelling support for the neuroprotective potential of UF and establish a solid foundation for future studies aimed at unraveling its precise molecular mechanisms and clinical relevance.

Conclusion

Our findings highlight the remarkable neuroprotective potential of UF in counteracting ACR-induced brain damage. UF effectively preserved neural tissue integrity by alleviating oxidative stress, restoring endogenous antioxidant systems, dampening inflammatory responses, and modulating key apoptotic pathways. Notably, UF also restored Nrf2/HO-1 signaling, a crucial cellular defense mechanism, in the brain of ACR-treated mice. These results suggested that UF could be a promising protective intervention against ACR-related neurotoxicity and perhaps other brain injuries driven by oxidative stress and inflammation. Further investigations are warranted to deepen our understanding of its underlying mechanisms and evaluate its translational relevance in clinical settings.

Ethics Approval

All animal protocols followed the National Institutes of Health (NIH) Guide for the Care and Use of Laboratory Animals and were approved by the Research Ethics Committee at King Faisal University (KFU-REC-2025-ETHICS3178).

Data Availability

All the data generated or analyzed during this study have been included in this manuscript.

Acknowledgments

The authors extend their appreciation to the Deanship of Scientific Research at King Faisal University for funding this work.

Authors Contribution

All authors contributed equally to this work.

Conflict of Interest

The author declares no conflict of interest.

Funding

This research was funded by the Deanship of Scientific Research, King Faisal University, Saudi Arabia, grant number KFU251011.

REFERENCES

Aebi, H. (1984). Catalase in vitro. In L. Packer (Ed.), Methods in enzymology (Vol. 105, pp. 121–126). Academic Press. 10.1016/S0076-6879(84)05016-3

Ageena, S.A., Bakr, A.G., Mokhlis, H.A., & Abd-Ellah, M.F. (2025). Renoprotective effects of apocynin and/or umbelliferone against acrylamide-induced acute kidney injury in rats: Role of the NLRP3 inflammasome and Nrf-2/HO-1 signaling pathways. Naunyn-Schmiedeberg’s Archives of Pharmacology, 398(4), 569–580. 10.1007/s00210-024-03271-9

Ahmed, W.E., Almutairi, A.A., Almujaydil, M.S., Algonaiman, R., Mousa, H.M., & Alhomaid, R.M. (2025). Nutraceutical potential of parsley (Petroselinum crispum Mill.): Comprehensive overview. Italian Journal of Food Science / Rivista Italiana di Scienza degli Alimenti, 37(1), 194–209. 10.15586/ijfs.v37i1.2806

Alotaibi, B.S., Saleem, U., Farrukh, M., Waseem, S., Chauhdary, Z., Alsharif, I., Alqahtani, W.S., Alanzi, A.R., BinMowyna, M.N., & Shah, M.A. (2024). Chamuangone-rich rice bran oil ameliorates neurodegeneration in AlCl3/D-galactose model via modulation of behavioral, biochemical, and neurochemical parameters. Italian Journal of Food Science / Rivista Italiana di Scienza degli Alimenti, 36(3), 184–202. 10.15586/ijfs.v36i3.2643

Althunibat, O.Y., Abduh, M.S., Abukhalil, M.H., Aladaileh, S.H., Hanieh, H., & Mahmoud, A.M. (2022). Umbelliferone prevents isoproterenol-induced myocardial injury by upregulating Nrf2/HO-1 signaling, and attenuating oxidative stress, inflammation, and cell death in rats. Biomedicine & Pharmacotherapy, 149, 112900. 10.1016/j.biopha.2022.112900

Amirshahrokhi, K., & Abzirakan, A. (2022). Carvedilol attenuates acrylamide-induced brain damage through inhibition of oxidative, inflammatory, and apoptotic mediators. Iranian Journal of Basic Medical Sciences, 25(1), 60–67.

Bancroft, J.D., & Gamble, M. (2008). Theory and practice of histological techniques (6th ed.). Elsevier Health Sciences.

Bin-Jumah, M.N., Al-Huqail, A.A., Abdelnaeim, N., Kamel, M., Fouda, M.M., Abulmeaty, M.M., Saadeldin, I.M., & Abdel-Daim, M.M. (2021). Potential protective effects of Spirulina platensis on liver, kidney, and brain acrylamide toxicity in rats. Environmental Science and Pollution Research, 28(22), 26653–26663. 10.1007/s11356-021-12422-x

Catalá, A., & Díaz, M. (2016). Impact of lipid peroxidation on the physiology and pathophysiology of cell membranes. In Frontiers Media, SA (p. 423). 10.3389/978-2-88945-082-4

Cota, P., Saha, S., Tewari, S., Sasikumar, A., Saran, M.Y., Senthilkumar, S., & Mohideen, S.S. (2022). Acrylamide: A neurotoxin and a hazardous waste. In Hazardous waste management. IntechOpen. 10.5772/intechopen.102607

Cruz, L.F., de Figueiredo, G.F., Pedro, L.P., Amorin, Y.M., Andrade, J.T., Passos, T.F., Rodrigues, F.F., Souza, I.L.A., Gonçalves, T.P. R., & dos Santos Lima, L.A. R. (2020). Umbelliferone (7-hydroxycoumarin): A non-toxic antidiarrheal and antiulcerogenic coumarin. Biomedicine & Pharmacotherapy, 129, 110432. 10.1016/j.biopha.2020.110432

Dash, U.C., Bhol, N.K., Swain, S.K., Samal, R.R., Nayak, P.K., Raina, V., Panda, S.K., Kerry, R.G., Duttaroy, A.K., & Jena, A.B. (2024). Oxidative stress and inflammation in the pathogenesis of neurological disorders: Mechanisms and implications. Acta Pharmaceutica Sinica B. Advance online publication. 10.1016/j.apsb.2024.10.004

Edres, H.A., Taha, N.M., Lebda, M.A., & Elfeky, M.S. (2021). The potential neuroprotective effect of allicin and melatonin in acrylamide-induced brain damage in rats. Environmental Science and Pollution Research, 28(47), 58768–58780. 10.1007/s11356-021-14800-x

Ekuban, F.A., Zong, C., Takikawa, M., Morikawa, K., Sakurai, T., Ichihara, S., Itoh, K., Yamamoto, M., Ohsako, S., & Ichihara, G. (2021). Genetic ablation of Nrf2 exacerbates neurotoxic effects of acrylamide in mice. Toxicology, 456, 152785. 10.1016/j.tox.2021.152785

El-Shehawi, A.M., Sayed, S., Hassan, M.M., Al-Otaibi, S., Althobaiti, F., Elseehy, M.M., & Soliman, M. (2022). Taify pomegranate juice (TPJ) abrogates acrylamide-induced oxidative stress through the regulation of antioxidant activity, inflammation, and apoptosis-associated genes. Frontiers in Veterinary Science, 9, 833605. 10.3389/fvets.2022.833605

Erkekoglu, P., Baydar, T., 2014. Acrylamide neurotoxicity. Nutr. Neurosci. 17: 49-57. 10.1179/1476830513Y.0000000065

Exon, J. (2006). A review of the toxicology of acrylamide. Journal of Toxicology and Environmental Health, Part B, 9(5), 397–412. 10.1080/10937400600681430

Fan, M., Xu, X., Lang, W., Wang, W., Wang, X., Xin, A., Zhou, F., Ding, Z., Ye, X., & Zhu, B. (2023). Toxicity, formation, contamination, determination and mitigation of acrylamide in thermally processed plant-based foods and herbal medicines: A review. Ecotoxicology and Environmental Safety, 260, 115059. 10.1016/j.ecoenv.2023.115059

Germoush, M.O., Othman, S.I., Al-Qaraawi, M.A., Al-Harbi, H.M., Hussein, O.E., Al-Basher, G., Alotaibi, M.F., Elgebaly, H.A., Sandhu, M.A., & Allam, A.A. (2018a). Umbelliferone prevents oxidative stress, inflammation and hematological alterations, and modulates glutamate-nitric oxide-cGMP signaling in hyperammonemic rats. Biomedicine & Pharmacotherapy, 102, 392–402. 10.1016/j.biopha.2018.03.104

Germoush, M.O., Othman, S.I., Al-Qaraawi, M.A., Al-Harbi, H.M., Hussein, O.E., Al-Basher, G., Alotaibi, M.F., Elgebaly, H.A., Sandhu, M.A., Allam, A.A., & Mahmoud, A.M. (2018b). Umbelliferone prevents oxidative stress, inflammation and hematological alterations, and modulates glutamate-nitric oxide-cGMP signaling in hyperammonemic rats. Biomedicine & Pharmacotherapy, 102, 392–402. 10.1016/j.biopha.2018.03.104

Griffith, O.W. (1980). Determination of glutathione and glutathione disulfide using glutathione reductase and 2-vinylpyridine. Analytical Biochemistry, 106(1), 207–212. 10.1016/0003-2697(80)90139-6

Guo, J., Cao, X., Hu, X., Li, S., & Wang, J. (2020). The anti-apoptotic, antioxidant and anti-inflammatory effects of curcumin on acrylamide-induced neurotoxicity in rats. BMC Pharmacology and Toxicology, 21, Article 51. 10.1186/s40360-020-00440-3

Guo, Q., Jin, Y., Chen, X., Ye, X., Shen, X., Lin, M., Zeng, C., Zhou, T., & Zhang, J. (2024). NF-κB in biology and targeted therapy: New insights and translational implications. Signal Transduction and Targeted Therapy, 9, 53. 10.1038/s41392-024-01757-9

Gür, F., Cengiz, M., Gür, B., Cengiz, O., Sarıçiçek, O., & Ayhancı, A. (2023). Therapeutic role of boron on acrylamide-induced nephrotoxicity, cardiotoxicity, neurotoxicity, and testicular toxicity in rats: Effects on Nrf2/Keap-1 signaling pathway and oxidative stress. Journal of Trace Elements in Medicine and Biology, 80, 127274. 10.1016/j.jtemb.2023.127274

Hall, E.D., Wang, J.A., Bosken, J.M., & Singh, I.N. (2016). Lipid peroxidation in brain or spinal cord mitochondria after injury. Journal of Bioenergetics and Biomembranes, 48(2), 169–174. 10.1007/s10863-015-9600-5

Hassanein, E.H. M., Sayed, A.M., Hussein, O.E., & Mahmoud, A.M. (2020). Coumarins as modulators of the Keap1/Nrf2/ARE signaling pathway. Oxidative Medicine and Cellular Longevity, 2020, Article 1675957. 10.1155/2020/1675957

He, Y., Tan, D., Mi, Y., Zhou, Q., & Ji, S. (2017). Epigallocatechin-3-gallate attenuates cerebral cortex damage and promotes brain regeneration in acrylamide-treated rats. Food & Function, 8(6), 2275–2282. 10.1039/C6FO01823H

Hindam, M.O., Sayed, R.H., Skalicka-Woźniak, K., Budzyńska, B., & El Sayed, N.S. (2020). Xanthotoxin and umbelliferone attenuate cognitive dysfunction in a streptozotocin-induced rat model of sporadic Alzheimer’s disease: The role of JAK2/STAT3 and Nrf2/HO-1 signalling pathway modulation. Phytotherapy Research, 34(10), 2351–2365. 10.1002/ptr.6686

Ibrahim, D.S., & Shahen, E.M. (2023). Effect of royal jelly on acrylamide-induced neurotoxicity in rats. Journal of Chemical Neuroanatomy, 134, 102358. 10.1016/j.jchemneu.2023.102358

Koo, J.W., Russo, S.J., Ferguson, D., Nestler, E.J., & Duman, R.S. (2010). Nuclear factor-κB is a critical mediator of stress-impaired neurogenesis and depressive behavior. Proceedings of the National Academy of Sciences, 107(9), 2669–2674. 10.1073/pnas.0910658107

Koszucka, A., Nowak, A., Nowak, I., & Motyl, I. (2020). Acrylamide in human diet, its metabolism, toxicity, inactivation and the associated European Union legal regulations in food industry. Critical Reviews in Food Science and Nutrition, 60(10), 1677–1692. 10.1080/10408398.2019.1588222

Lakshmi, D., Gopinath, K., Jayanthy, G., Anjum, S., Prakash, D., & Sudhandiran, G. (2012). Ameliorating effect of fish oil on acrylamide induced oxidative stress and neuronal apoptosis in cerebral cortex. Neurochemical Research, 37(9), 1859–1867. 10.1007/s11064-012-0794-1

Levine, R.L., Garland, D., Oliver, C.N., Amici, A., Climent, I., Lenz, A.-G., Ahn, B.-W., Shaltiel, S., & Stadtman, E.R. (1990). Determination of carbonyl content in oxidatively modified proteins. In Methods in enzymology (Vol. 186, pp. 464–478). Elsevier. 10.1016/0076-6879(90)86141-H

Li, D., & Ellis, E.M. (2012). Inducible protection of human astrocytoma 1321N1 cells against hydrogen peroxide and aldehyde toxicity by 7-hydroxycoumarin is associated with the upregulation of aldo-keto reductases. Neurotoxicology, 33(6), 1368–1374. 10.1016/j.neuro.2012.08.015

Li, S.-X., Cui, N., Zhang, C.-L., Zhao, X.-L., Yu, S.-F., & Xie, K.-Q. (2006). Effect of subchronic exposure to acrylamide induced on the expression of bcl-2, bax and caspase-3 in the rat nervous system. Toxicology, 217(1), 46–53. 10.1016/j.tox.2005.08.018

Liang, S., Chen, Z., Li, H., Cang, Z., Yin, K., Wu, M., & Luo, S. (2021). Neuroprotective effect of umbelliferone against cerebral ischemia/reperfusion induced neurological deficits: In-vivo and in-silico studies. Journal of Biomolecular Structure and Dynamics, 39(14), 4715–4725. 10.1080/07391102.2020.1780153

Liu, Y., Zhang, X., Yan, D., Wang, Y., Wang, N., Liu, Y., Tan, A., Chen, X., & Yan, H. (2020). Chronic acrylamide exposure induced glia cell activation, NLRP3 inflammasome upregulation and cognitive impairment. Toxicology and Applied Pharmacology, 393, 114949. 10.1016/j.taap.2020.114949

Liu, Z., Song, G., Zou, C., Liu, G., Wu, W., Yuan, T., & Liu, X. (2015). Acrylamide induces mitochondrial dysfunction and apoptosis in BV-2 microglial cells. Free Radical Biology and Medicine, 84, 42–53. 10.1016/j.freeradbiomed.2015.03.013

LoPachin, R., Ross, J., Reid, M.L., Das, S., Mansukhani, S., & Lehning, E. (2002). Neurological evaluation of toxic axonopathies in rats: Acrylamide and 2,5-hexanedione. Neurotoxicology, 23(1), 95–110. 10.1016/S0161-813X(02)00003-7

LoPachin, R.M. (2005). Acrylamide neurotoxicity: Neurological, morphological and molecular endpoints in animal models. In Chemistry and safety of acrylamide in food (pp. 21–37). 10.1007/0-387-24980-X_2

Ma, Q. (2013). Role of Nrf2 in oxidative stress and toxicity. Annual Review of Pharmacology and Toxicology, 53, 401–426. 10.1146/annurev-pharmtox-011112-140320

Mahmoud, A.M., Germoush, M.O., Alotaibi, M.F., & Hussein, O.E. (2017). Possible involvement of Nrf2 and PPARγ up-regulation in the protective effect of umbelliferone against cyclophosphamide-induced hepatotoxicity. Biomedicine & Pharmacotherapy, 86, 297–306. 10.1016/j.biopha.2016.12.047

Mahmoud, A.M., Hozayen, W.G., Hasan, I.H., Shaban, E., & Bin-Jumah, M. (2019). Umbelliferone ameliorates CCl4-induced liver fibrosis in rats by upregulating PPARγ and attenuating oxidative stress, inflammation, and TGF-β1/Smad3 signaling. Inflammation, 42(3), 1103–1116. 10.1007/s10753-019-00973-8

Mattson, M., & Meffert, M. (2006). Roles for NF-κB in nerve cell survival, plasticity, and disease. Cell Death & Differentiation, 13(5), 852–860. 10.1038/sj.cdd.4401837

Mazimba, O. (2017). Umbelliferone: Sources, chemistry and bioactivities review. Bulletin of Faculty of Pharmacy, Cairo University, 55, 223–232. 10.1016/j.bfopcu.2017.05.001

Mazur, A., Fangman, M., Ashouri, R., Arcenas, A., & Doré, S. (2021). Nrf2 as a therapeutic target in ischemic stroke. Expert Opinion on Therapeutic Targets, 25(2), 163–166. 10.1080/14728222.2021.1890716

Mehri, S., Karami, H.V., Hassani, F.V., & Hosseinzadeh, H. (2014). Chrysin reduced acrylamide-induced neurotoxicity in both in vitro and in vivo assessments. Iranian Biomedical Journal, 18(2), 101.

Ngo, V., & Duennwald, M.L. (2022). Nrf2 and oxidative stress: A general overview of mechanisms and implications in human disease. Antioxidants, 11(12), 2345. 10.3390/antiox11122345

Nissanka, N., & Moraes, C.T. (2018). Mitochondrial DNA damage and reactive oxygen species in neurodegenerative disease. FEBS Letters, 592(5), 728–742. 10.1002/1873-3468.12956

Ohkawa, H., Ohishi, N., & Yagi, K. (1979). Assay for lipid peroxides in animal tissues by thiobarbituric acid reaction. Analytical Biochemistry, 95(2), 351–358. 10.1016/0003-2697(79)90738-3

Olufunmilayo, E.O., Gerke-Duncan, M.B., & Holsinger, R.D. (2023). Oxidative stress and antioxidants in neurodegenerative disorders. Antioxidants, 12(2), 517. 10.3390/antiox12020517

Poh Loh, K., Hong Huang, S., De Silva, R., Tan, B.K.H., & Zhun Zhu, Y. (2006). Oxidative stress: Apoptosis in neuronal injury. Current Alzheimer Research, 3(4), 327–337. 10.2174/156720506778249515

Qin, T., Fang, F., Song, M., Li, R., Ma, Z., & Ma, S. (2017). Umbelliferone reverses depression-like behavior in chronic unpredictable mild stress-induced rats by attenuating neuronal apoptosis via regulating ROCK/Akt pathway. Behavioural Brain Research, 317, 147–156. 10.1016/j.bbr.2016.09.039

Rajeh, N.A. (2024). Mechanistic progression of acrylamide neurotoxicity linked to neurodegeneration and mitigation strategies. Discover Applied Sciences, 6, 181. 10.1007/s42452-024-05850-0

Rao, V.K., Carlson, E.A., & Yan, S.S. (2014). Mitochondrial permeability transition pore is a potential drug target for neurodegeneration. Biochimica et Biophysica Acta (BBA)-Molecular Basis of Disease, 1842(8), 1267–1272. 10.1016/j.bbadis.2013.09.003

Rifai, L., & Saleh, F.A. (2020). A review on acrylamide in food: Occurrence, toxicity, and mitigation strategies. International Journal of Toxicology, 39(2), 93–102. 10.1177/1091581820902405

Saha, S., Buttari, B., Panieri, E., Profumo, E., & Saso, L. (2020). An overview of Nrf2 signaling pathway and its role in inflammation. Molecules, 25(22), 5474. 10.3390/molecules25225474

Samtiya, M., Aluko, R.E., Dhewa, T., & Moreno-Rojas, J.M. (2021). Potential health benefits of plant food-derived bioactive components: An overview. Foods, 10(4), 839. 10.3390/foods10040839

Santhanasabapathy, R., Vasudevan, S., Anupriya, K., Pabitha, R., & Sudhandiran, G. (2015). Farnesol quells oxidative stress, reactive gliosis and inflammation during acrylamide-induced neurotoxicity: Behavioral and biochemical evidence. Neuroscience, 308, 212–227. 10.1016/j.neuroscience.2015.08.067

Semla, M., Goc, Z., Martiniaková, M., Omelka, R., & Formicki, G. (2017). Acrylamide: A common food toxin related to physiological functions and health. Physiological Research, 66, 205. 10.33549/physiolres.933381

Seong, S.H., Ali, M.Y., Jung, H.A., & Choi, J.S. (2019). Umbelliferone derivatives exert neuroprotective effects by inhibiting monoamine oxidase A, self-amyloidβ aggregation, and lipid peroxidation. Bioorganic Chemistry, 92, 103293. 10.1016/j.bioorg.2019.103293

Sharma, C., & Kang, S.C. (2020). Garcinol pacifies acrylamide induced cognitive impairments, neuroinflammation and neuronal apoptosis by modulating GSK signaling and activation of pCREB by regulating cathepsin B in the brain of zebrafish larvae. Food and Chemical Toxicology, 138, 111246. 10.1016/j.fct.2020.111246

Shih, R.-H., Wang, C.-Y., & Yang, C.-M. (2015). NF-kappaB signaling pathways in neurological inflammation: A mini review. Frontiers in Molecular Neuroscience, 8, 77. 10.3389/fnmol.2015.00077

Spitz, D.R., & Oberley, L.W. (1989). An assay for superoxide dismutase activity in mammalian tissue homogenates. Analytical Biochemistry, 179, 8–18. 10.1016/0003-2697(89)90192-9

Subramaniam, S.R., & Ellis, E.M. (2013). Neuroprotective effects of umbelliferone and esculetin in a mouse model of Parkinson’s disease. Journal of Neuroscience Research, 91(3), 453–461. 10.1002/jnr.23164

Sui, X., Yang, J., Zhang, G., Yuan, X., Li, W., Long, J., Luo, Y., Li, Y., & Wang, Y. (2020). NLRP3 inflammasome inhibition attenuates subacute neurotoxicity induced by acrylamide in vitro and in vivo. Toxicology, 432, 152392. 10.1016/j.tox.2020.152392

Sun, G., Wang, X., Li, T., Qu, S., & Sun, J. (2018). Taurine attenuates acrylamide-induced apoptosis via a PI3K/AKT-dependent manner. Human & Experimental Toxicology, 37(12), 1249–1257. 10.1177/0960327118765335

Tonelli, C., Chio, I.I. C., & Tuveson, D.A. (2018). Transcriptional regulation by Nrf2. Antioxidants & Redox Signaling, 29(17), 1727–1745. 10.1089/ars.2017.7342

Wang, L., Zhang, X., Xiong, X., Zhu, H., Chen, R., Zhang, S., Chen, G., & Jian, Z. (2022). Nrf2 regulates oxidative stress and its role in cerebral ischemic stroke. Antioxidants, 11(12), 2377. 10.3390/antiox11122377

Wang, X., Li, R., Wang, X., Fu, Q., & Ma, S. (2015). Umbelliferone ameliorates cerebral ischemia–reperfusion injury via upregulating the PPAR gamma expression and suppressing TXNIP/NLRP3 inflammasome. Neuroscience Letters, 600, 182–187. 10.1016/j.neulet.2015.06.016

Wang, Y., Yang, J., & Yi, J. (2012). Redox sensing by proteins: Oxidative modifications on cysteines and the consequent events. Antioxidants & Redox Signaling, 16(6), 649–657. 10.1089/ars.2011.4313

Wardyn, J.D., Ponsford, A.H., & Sanderson, C.M. (2015). Dissecting molecular cross-talk between Nrf2 and NF-κB response pathways. Biochemical Society Transactions, 43(4), 621–626. 10.1042/BST20150014

Yang, Z., Ning, R., Liu, Q., Zang, R., Liu, S., & Sun, S. (2023). Umbelliferone attenuates cisplatin-induced acute kidney injury by inhibiting oxidative stress and inflammation via NRF2. Physiological Reports, 11, e15879. 10.14814/phy2.15879

Zhang, P., Pan, H., Wang, J., Liu, X., & Hu, X. (2014). Telomerase activity-independent function of telomerase reverse transcriptase is involved in acrylamide-induced neuron damage. Biotechnic & Histochemistry, 89(5), 327–335. 10.3109/10520295.2013.855323

Zhang, T., Zhang, C., Luo, Y., Liu, S., Li, S., Li, L., Ma, Y., & Liu, J. (2023). Protective effect of rutin on spinal motor neuron in rats exposed to acrylamide and the underlying mechanism. Neurotoxicology, 95, 127–135. 10.1016/j.neuro.2023.01.009

Zhao, M., Deng, L., Lu, X., Fan, L., Zhu, Y., & Zhao, L. (2022a). The involvement of oxidative stress, neuronal lesions, neurotransmission impairment, and neuroinflammation in acrylamide-induced neurotoxicity in C57/BL6 mice. Environmental Science and Pollution Research, 29, 41151–41167. 10.1007/s11356-021-18146-2

Zhao, M., Wang, F.S. L., Hu, X., Chen, F., & Chan, H.M. (2017). Acrylamide-induced neurotoxicity in primary astrocytes and microglia: Roles of the Nrf2-ARE and NF-κB pathways. Food and Chemical Toxicology, 106, 25–35. 10.1016/j.fct.2017.05.007

Zhao, M., Zhang, B., & Deng, L. (2022b). The mechanism of acrylamide-induced neurotoxicity: Current status and future perspectives. Frontiers in Nutrition, 9, 859189. 10.3389/fnut.2022.859189

Zhou, Z., Zhang, Y., Han, F., Chen, Z., & Zheng, Y. (2023). Umbelliferone protects against cerebral ischemic injury through selective autophagy of mitochondria. Neurochemistry International, 165, 105520. 10.1016/j.neuint.2023.105520