Food Engineering Department, Faculty of Engineering, University of Pamukkale, 20160 Kınıklı, Denizli, Türkiye
Consumers are increasingly interested in functional foods containing probiotics. Bee products, widely produced in Türkiye due to favorable conditions, are important in natural nutrition. In this study, the diversity of lactic acid bacteria (LAB) and potential probiotic properties in bee bread and bee pollen samples collected from different regions of Türkiye were investigated. After the phenotypic and genotypic identification of LAB, their technological functions and their functionality in the gastrointestinal system were determined. Strains isolated from bee bread and pollen in Turkey, exhibiting a total of 37 different (GTG)5 profiles, were clustered into 8 different LAB species as Apilactobacillus kunkeei, Lactiplantibacillus plantarum, Limosilactobacillus fermentum, Lactococcus lactis, Weissella cibaria, Weissella confusa, Leuconostoc mesenteroides and Enterococcus faecium by 16S rRNA sequencing. While the salt and temperature tolerance abilities of LAB isolates gave similar results for the same species from different regions , Lpb. plantarum, L. lactis M3, M5 and W. confusa S6 strains that could grow at 8% salt concentration and 45°C temperature were remarkable. It was observed that there were significant differences between the isolates of the same type of LAB strains from different provinces in low pH, bile salt resistance, autoaggregation, and antibiotic susceptibility properties (p<0.05). However, according to the antimicrobial analysis results, it was determined that the antagonism degrees of LAB strains varied from strain to strain, independent of the isolation origin. The strongest antimicrobial activity against foodborne pathogens belonged to Lpb. plantarum strains.
Key words: bee bread, bee pollen, isolation, lactic acid bacteria, probiotic
*Corresponding Author: Elif Taşdelen, Food Engineering Department, Faculty of Engineering, University of Pamukkale, 20160 Kınıklı, Denizli, Türkiye. Email: [email protected]
Academic Editor: Prof. Mariella Calasso—(SIMTREA) – University of Bari, Italy
Received: 19 Februrary 2025; Accepted: 12 May 2025; Published: 1 July 2025
© 2025 Codon Publications
This is an Open Access article distributed under the terms of the Creative Commons Attribution-NonCommercial-ShareAlike 4.0 International (CC BY-NC-SA 4.0). License (http://creativecommons.org/licenses/by-nc-sa/4.0/)
Edible bee products such as bee bread and bee pollen are considered superfoods due to their positive effects on human health (Kafantaris et al. 2021). Pollen is the male gametes found in plants, and bee pollen is formed when this pollen combines with the salivary secretions of bees. Protected by the bee in the comb, pollen undergoes natural fermentation by lactic acid bacteria (LAB) and yeasts after being covered with wax and honey (Mohammad et al. 2021; Kahraman-Ilıkkan 2023). The transformation of bee pollen into bee bread takes about 7 days, with a series of microbiological and biochemical changes. This change includes the growth of microorganisms such as LAB, aerobic bacteria, and yeasts; the decrease in pH by bacteria that use nutrients; the loss of Streptococcus bacteria; and the death of some LAB and yeasts due to the lactic acid produced. Anaerobic microorganisms, and LAB in particular, play an important role in the process (Khalifa et al. 2020; Li et al. 2024). Identification of different LAB species from bee bread and pollen is important both to better understand their roles in fermentation processes and to discover new technological, functional, and probiotic properties (İspirli and Dertli 2021). Thus far, several studies have reported the LAB species Streptococcus, Lactobacillus, Pediococcus, Leuconostoc, and Weissella, which are typical for bee bread and bee pollen (Zuluaga-Dominguez and Fuenmayor 2022). In particular, some of the LAB isolated from bee products belong to a special group known as fructophilic lactic acid bacteria (FLAB). FLAB are adapted to fructose-rich environments such as honey, fruits, and bee-derived materials, and display specific metabolic characteristics, such as requiring external electron acceptors for efficient glucose metabolism. Their adaptation to these niches makes them an important microbial group contributing to the fermentation and preservation of bee products (Endo et al. 2018). Due to the known beneficial effects of bee products on human health, such as strengthening the immune system, improving digestion, and anti-cancer and anti-diabetic effects, it would be a suitable choice to use LAB obtained from bee bread and bee pollen as probiotics in food applications (Goh et al. 2021; Liu et al. 2023). However, many factors, including geographical location and floral origin, can affect the bee bread fermentation process and also the LAB diversity, corresponding to the quality of the product (Vásquez and Olofsson 2009). Currently, there are very few studies investigating the microbial diversity of bee bread and pollen according to geographical origin and seasonal differences, and most of them were conducted in the USA and Europe (Liu et al. 2023; Li et al. 2024).
Conscious efforts are being made to produce and consume bee bread and pollen in many parts of the world, including Türkiye. Therefore, further studies are needed to understand the chemical and microbial composition of bee-derived products from different origins. However, the microbiota and characterization of bee bread and pollen in Türkiye have not yet been comprehensively determined. This study aimed to determine the diversity and potential probiotic properties of LAB strains isolated from bee bread and bee pollen samples collected to represent regions with different climatic conditions in Türkiye. Morphological, biochemical, and genotypic studies were performed to reveal the microbial diversity of LAB, and their tolerance to low pH and bile salts, autoaggregation, antibiotic resistance, and hemolytic activities were tested to determine their probiotic functionality.
Bee bread (BB) and bee pollen (BP) were supplied by beekeepers in Muğla (M), Manisa (M), Bursa (B), Samsun (S), Erzurum (E), and Van (V) provinces and brought to the laboratory under aseptic conditions and cold chain. The provinces from which the samples were obtained were selected from different geographical regions affecting the climate diversity of Türkiye. BB and BP samples were collected fresh and wet from the combs after the honey was collected from the hives in September, following the end of the honey season. BB and BP samples from various provinces were mixed to represent the province they were supplied from and were used as BB/BP mix throughout the analyses after being ground in a blender. Bee bread and pollen samples from Muğla and Manisa provinces were planned to represent the Aegean Region and were used in the analyses after being blended.
Isolation of LAB strains from BB/BP mix samples was carried out in broth and agar forms of Man, Rogosa, and Sharpe (MRS) (Biokar, France), and M17G (0.5% glucose supplemented) (Biokar, France) medium. The BB/BP mix was added to 90 mL MRS and M17G broth at 10 g each under aseptic conditions and shaken for 1 min until homogeneous. Anaerobic incubation was carried out at 30°C for 48 h for pre-enrichment to promote the growth of LAB. Following incubation, all main stocks were diluted to 10–7 with physiological saline (0.85% w/v NaCl), and pour plate inoculations were performed on MRS-M17G agar medium. For each of the B, E, M, S, and V samples, 40 different colonies were selected from petri dishes containing 30 to 300 colonies. A total of 200 colonies were isolated from all samples. The purity of the collected strains was checked by streak plating on MRS and M17G agar media. Strains that were confirmed to be pure were grown in broth medium for 18–20 h and then stored at -80°C.
Bacterial suspensions in MRS and M17G broths were subjected to Gram staining, and colonies observed as violet-purple were evaluated as Gram-positive, while colonies observed as pink-red were determined as Gram-negative. Gram-stained strains were classified morphologically (cocci, bacilli) under the light microscope (Hasali et al. 2015).
During fermentation assays, LAB inoculation was performed in MRS and M17G broth media containing an inverted Durham tube, and gas (CO2) production was tested after 48 h of incubation at 30°C. The fermentation type (homo- or heterofermentation) was determined based on gas production. In the Durham tube where gas production was observed, the presence of heterofermentative bacteria was confirmed.
A few drops of 3% hydrogen peroxide (H2O2) were added to the isolated LAB colonies on MRS and M17G broth media, and the formation of gas bubbles was observed. Samples that produced gas were evaluated as catalase-positive.
LAB isolates activated in MRS and M17G broth were transferred to blood agar plates supplemented with 5% sheep blood (BESLAB, İstanbul, Türkiye) by scratch inoculation and then incubated at 37°C for 48 h. After incubation, the plates were examined for hemolytic reaction (Goh et al. 2021). Isolates that did not show a clear zoned area (γ-hemolytic) were selected as potential probiotics, while isolates with a clear hemolysis area (β-hemolytic or complete hemolytic) or a greenish ring (α-hemolytic or partial hemolytic) were not used in the rest of the study.
Genomic DNA of LAB strains activated in MRS and M17G broth was isolated according to the Cell DNA Isolation protocol in the DNA isolation kit (NucleoGene, Türkiye). The concentration and purity of the extracted DNA were assessed using a NanoDrop spectrophotometer (Thermo Fisher Scientific, USA) by measuring the absorbance at 260/280 nm.
In order to separate similar strains among the bacterial isolates selected in the study, fingerprint profiles were created by amplifying the GTG5 (5’-GTGGTGGTGGTGGTG-3’) repeat series (Scheirlinck et al. 2008). Twenty μL of PCR mixture was used for each strain in the amplification of these repeat series. In the preparation of this mixture, 10 μL of master mix (2*FIREPol Master Mix/ NucleoGene), 1 μL of (GTG)5 primer (NucleoGene, Türkiye), 2 μL of DNA extract, and sterile ultrapure water were combined to make a total volume of 20 μL. In the PCR process, a program lasting 4 h in total was applied, with the combination of 95°C for 3 min pre-denaturation, 30 cycles of 95°C for 30 s, 30°C for 40 s, 72°C for 5 min, and in the final stage, 72°C for 10 min. PCR products were run in agarose gel (1% w/v agarose, 200 mL 1xTAE) containing 10 µL ethidium bromide at 70 V for 5 h, and the band profiles were monitored with UV light in the gel imaging system (Vilber Lourmat).
Identification of lactic acid bacteria was performed using DNA sequencing of the V3 region of the 16S rRNA gene (Oliver et al. 2023). This region was amplified by PCR using the universal primer pairs 27F (5’-AGAGTTTGATCCTGGCTCAG-3’) and 780R (5’-TACCAGGGTATCTAATCCTGTT-3’). The PCR mixture consisted of 25 μL master mix (2*FIREPol Master Mix), 1 μL each of 27F and 780R primers (NucleoGene, Türkiye), and 2 μL of genomic DNA extract, and was completed to a total volume of 50 μL with sterile ultrapure water. To the tubes prepared in this way, a program was applied in a PCR following an initial denaturation at 95°C for 3 min, consisting of 30 cycles at 95°C for 30 s, 57°C for 40 s, and 72°C for 1 min, with a final extension at 72°C for 5 min.
The accuracy and purity of the fragments amplified by PCR were monitored by running them in agarose gel (1% w/v, 100 mL 1xTAE). PCR fragments of the correct size and purity were subjected to Sanger DNA sequencing analysis by BM Laborsis (Ankara). DNA sequences of fragments obtained from bacteria in the study were identified with closely related species in the NCBI (National Center for Biotechnology Information) database using the BLAST algorithm. DNA sequences showing ≥98% similarity with reference sequences in the NCBI database were identified at the species level. The sequences obtained for each strain were submitted to GenBank (United States of America) and received accession numbers (Table 1). According to the methodology determined by Kumar et al. (2018) and Stecher et al. (2020), the phylogenetic tree was drawn based on the gene sequences of the strains in the MEGA X program, and the degrees of relatedness were observed. The evolutionary history was inferred using the Neighbor-Joining method (Saitou and Nei 1987) implemented in MEGA X. Evolutionary distances were computed using the Maximum Composite Likelihood method (Tamura et al. 2011). The reliability of the tree was evaluated by bootstrap analysis with 1000 replications.
Table 1. Summary of bacterial strains isolated from bee bread and bee pollen mixed samples from different regions of Türkiye.
| Location | Strains Code | Closest BLAST Match | Number of Isolates | Gram-Staining | Shape of Strains | Fermentation | Accession Number |
|---|---|---|---|---|---|---|---|
| Bursa | B1 | Apilactobacillus kunkeei | 21 | + | Bacilli | Hetero-fermentative | PQ459474 |
| B2 | Apilactobacillus kunkeei | 5 | + | Bacilli | Hetero-fermentative | PQ459485 | |
| B3 | Leuconostoc mesenteroides | 4 | + | Cocci | Hetero-fermentative | PQ459487 | |
| B4 | Lactococus lactis | 4 | + | Cocci | Homo-fermentative | PQ459495 | |
| B5 | Enterococcus faecium | 2 | + | Cocci | Homo-fermentative | PQ459482 | |
| B6 | Enterococcus faecium | 1 | + | Cocci | Homo-fermentative | PQ459484 | |
| B7 | Lactiplantibacillus plantarum | 2 | + | Bacilli | Homo-fermentative | PQ459501 | |
| B8 | Leuconostoc mesenteroides | 1 | + | Cocci | Hetero-fermentative | PQ459487 | |
| Erzurum | E1 | Apilactobacillus kunkeei | 20 | + | Bacilli | Hetero-fermentative | PQ459476 |
| E2 | Apilactobacillus kunkeei | 11 | + | Bacilli | Hetero-fermentative | PQ459477 | |
| E3 | Limosilactobacillus fermentum | 2 | + | Bacilli | Hetero-fermentative | PQ459494 | |
| E4 | Leuconostoc mesenteroides | 2 | + | Cocci | Hetero-fermentative | PQ459493 | |
| E5 | Lactiplantibacillus plantarum | 3 | + | Bacilli | Homo-fermentative | PQ459504 | |
| E6 | Apilactobacillus kunkeei | 1 | + | Bacilli | Hetero-fermentative | PQ462290 | |
| E7 | Enterococcus faecium | 1 | + | Cocci | Homo-fermentative | PQ462287 | |
| Manisa/Muğla | M1 | Apilactobacillus kunkeei | 12 | + | Bacilli | Hetero-fermentative | PQ462286 |
| M2 | Limosilactobacillus fermentum | 8 | + | Bacilli | Hetero-fermentative | PQ459494 | |
| M3 | Lactococus lactis | 8 | + | Cocci | Homo-fermentative | PQ459496 | |
| M4 | Leuconostoc mesenteroides | 7 | + | Cocci | Hetero-fermentative | PQ462291 | |
| M5 | Lactococus lactis | 2 | + | Cocci | Homo-fermentative | PQ459496 | |
| M6 | Weissella cibaria | 2 | + | Bacilli | Hetero-fermentative | PQ459498 | |
| M7 | Enterococcus faecium | 1 | + | Cocci | Homo-fermentative | PQ462288 | |
| Samsun | S1 | Enterococcus faecium | 10 | + | Cocci | Homo-fermentative | PQ462288 |
| S2 | Apilactobacillus kunkeei | 11 | + | Bacilli | Hetero-fermentative | PQ459486 | |
| S3 | Apilactobacillus kunkeei | 7 | + | Bacilli | Hetero-fermentative | PQ459479 | |
| S4 | Lactiplantibacillus plantarum | 2 | + | Bacilli | Homo-fermentative | PQ459503 | |
| S5 | Leuconostoc mesenteroides | 3 | + | Cocci | Hetero-fermentative | PQ459492 | |
| S6 | Weissella confusa | 6 | + | Bacilli | Hetero-fermentative | PQ459500 | |
| S7 | Leuconostoc mesenteroides | 1 | + | Cocci | Hetero-fermentative | PQ462291 | |
| Van | V1 | Apilactobacillus kunkeei | 17 | + | Bacilli | Hetero-fermentative | PQ459481 |
| V2 | Apilactobacillus kunkeei | 7 | + | Bacilli | Hetero-fermentative | PQ459486 | |
| V3 | Lactococus lactis | 3 | + | Cocci | Homo-fermentative | PQ462292 | |
| V4 | Lactiplantibacillus plantarum | 3 | + | Bacilli | Homo-fermentative | PQ459502 | |
| V5 | Leuconostoc mesenteroides | 7 | + | Cocci | Hetero-fermentative | PQ462291 | |
| V6 | Enterococcus faecium | 1 | + | Cocci | Homo-fermentative | PQ459482 | |
| V7 | Lactiplantibacillus plantarum | 1 | + | Bacilli | Homo-fermentative | PQ459502 | |
| V8 | Weissella cibaria | 1 | + | Bacilli | Hetero-fermentative | PQ459499 |
(+): Positive, (-): Negative. Accession numbers indicate the 16S rRNA gene sequences deposited in the GenBank database for each strain.
Activated (24 h) bacterial isolates from stock were inoculated at a 1% rate into MRS and M17G broth (0.004% w/v bromcresol purple) media containing 2%, 4%, 6%, 8%, and 10% (w/v) NaCl. After incubation at 30°C for 48-72 h, their growth status was tested. A positive result was determined when the color of the medium turned yellow (Goh et al. 2021).
Activated (24 h) cultures from stock were inoculated into MRS and M17G broth (containing 0.004% w/v bromcresol purple) at a rate of 1%. Their growth status was tested by incubating for 48-72 h in an incubator set at 4°C, 25°C, 37°C, 45°C, and 80°C. A change in the color of the medium to yellow was accepted as a positive result (Goh et al. 2021).
Growth resistance of LAB to low pH medium was determined according to the method suggested by Maragkoudakis et al. (2006). Bacterial cultures were grown overnight at 30°C in MRS and M17G broth. Bacterial cells were centrifuged at 10,000 rpm for 5 min at 4°C and washed twice with phosphate-buffered saline (PBS, pH 7.4) before being resuspended in PBS solution (pH 3). Cell cultures prepared with PBS were counted for viable colony numbers after incubation for 4 h at 37°C. The inhibition rate was calculated as a percentage of the number of bacteria remaining alive after application, compared to the number of bacteria before application.
The ability of LAB isolates to tolerate bile salts (bovine bile) was determined according to the method suggested by Plessas et al. (2017). Bacterial cultures were grown overnight in MRS and M17 broth at 30°C, and bacterial cells were collected by centrifugation at 10,000 rpm for 5 min at 4°C. They were washed twice with PBS, pH 7.4, before being resuspended in PBS buffer with 0.3% bile salts. After incubation at 37°C for 4 h, the bacterial suspension was serially diluted, and viable counts were performed on the respective media agar. The incubation time and temperature were determined based on the digestion time of nutrients in the stomach and intestines. The inhibition rate was calculated as a percentage using the equation described in the low pH tolerance analysis.
Autoaggregation abilities of LAB isolates were tested with the methodology described previously (Sakandar et al. 2019). According to this method, strains were grown in the relevant medium for 24 h at 30°C, and cell pellets were obtained by centrifugation (5000×g, 15 min, room temperature). The cell pellets of the isolates were washed twice with PBS and then suspended in the same buffer until OD600 nm (optical density) was 1. After taking 5 mL of this suspension and vortexing for 10 seconds, the suspension of LAB isolates was kept at room temperature for 24 h to determine the autoaggregation percentage of each strain. OD600 nm measurements were performed before and after the incubation period, and the autoaggregation percentage was determined by the following formula: Autoaggregation (%) = [(A−B)/A]×100. A and B in the formula represent OD600 nm at 0 h and OD600 nm at 24 h, respectively.
The antibacterial activities of the LAB strains were tested against B. cereus ATCC 11778, L. monocytogenes ATCC 7644, Staph. aureus ATCC 25923, and E. coli ATCC 25922 according to the methodology of Kiran et al. (2023). CFS (cell-free culture supernatant) of LAB strains was prepared from subcultures in MRS broth. The 24 h cultures were centrifuged (6000×g, 20 min), and supernatants were filtered through a syringe filter (0.22 μm). Indicator bacterial suspensions developed separately in BHI broth (Brain Heart Infusion broth, Condalab, Spain) were inoculated into 7 mL of soft BHI agar medium containing 0.7% agar (at 45ºC). It was poured homogeneously onto plates containing Nutrient Agar (Biokar Diagnostics, France) as a second layer. After the agar solidified, 5 mm diameter wells were opened using a sterile glass Pasteur pipette, and CFS was filled into the wells as 100 μL. At the end of the 24-hour incubation period at 37ºC, the diameters of the inhibition zones around the wells were measured in millimeters (mm) using a digital caliper. The measurements were compared with inhibition zone values reported in previous studies to evaluate the antimicrobial activity levels.
Antibiotic susceptibilities of LAB strains were determined using the methodology applied by Goh et al. (2021). After the LAB strains were activated, the initial population of isolates was adjusted to 1 OD600 with physiological saline. 0.1 mL of the prepared dilution was taken and inoculated into MRS or M17G agar plates using the spread plate method under sterile conditions. Then, commercial antibiotic disks (Bioanalyse, Ankara, Türkiye) of ampicillin (Amp, 10 μg), chloramphenicol (C, 30 μg), erythromycin (E, 15 μg), kanamycin (K, 30 μg), tetracycline hydrochloride (TE, 30 μg), oxytetracycline (T, 30 μg), penicillin (P, 10 μg), and streptomycin (S, 10 μg) were placed in the center of MRS and M17 plates. After 24 h incubation at 37°C, the inhibition zones were measured using a caliper, and the results were classified as susceptible (S, >21 mm), intermediate (I, 16-21 mm), or resistant (R, <16 mm) as described by the Clinical and Laboratory Standards Institute (CLSI).
The experiments were carried out in two replications. The study results were analyzed using one-way ANOVA with the MINITAB 15.0 statistical software (State College, Pennsylvania, USA). Tukey’s test was used for comparing the mean data of the groups, and the comparison data were evaluated with a confidence interval of p ≤ 0.05.
During the selection of strains from the B, E, M, S, and V samples, Gram-positive colonies were prioritized. As a result of microscopic examination of the strains isolated from samples coded B, E, M, S, and V, we reported that among the 200 Gram-positive strains, there were 142 rod-shaped and 58 cocci-shaped bacteria (Table 1).
In order to detect and collect different strain species in the isolation of LAB from BB/BP mixture samples, attention was paid to ensure that the fermentation abilities of the selected strains were different from each other. When the results of the fermentation tests were examined, while 156 of the isolated strains were heterofermentative, the presence of 44 homofermentative strains was also detected (Table 1).
All strain isolates were tested as catalase negative. LAB that have the potential to show antimicrobial activity and can be used in food applications were reported to be catalase negative (Aween et al. 2012; Hasali et al. 2015).
All of the 24 LAB isolates had γ-hemolytic activity on the blood agar plate and are considered safe to consume (Table 2). The hemolytic activity of these 24 LAB isolates provided insight into selecting the right LAB isolate for future applications.
Table 2. Salt tolerance, temperature tolerance and hemolytic activity properties of LAB.
| Strain | Salt Tolerance | Temperature Tolerance | |||||||||
|---|---|---|---|---|---|---|---|---|---|---|---|
| %2 | %4 | %6 | %8 | %10 | 4°C | 25°C | 37°C | 45°C | 80°C | H | |
| Apilactobacillus kunkeei B1 | + | + | ± | – | – | – | ± | + | ± | – | γ |
| Apilactobacillus kunkeei B2 | + | + | ± | – | – | – | + | + | ± | – | γ |
| Apilactobacillus kunkeei E1 | + | + | ± | – | – | – | ± | + | ± | – | γ |
| Apilactobacillus kunkeei E2 | + | + | ± | – | – | – | ± | + | ± | – | γ |
| Apilactobacillus kunkeei E6 | + | + | ± | – | – | – | + | + | ± | – | γ |
| Apilactobacillus kunkeei M1 | + | + | ± | – | – | – | ± | + | ± | – | γ |
| Apilactobacillus kunkeei S2 | + | + | ± | – | – | – | + | + | ± | – | γ |
| Apilactobacillus kunkeei S3 | + | + | ± | – | – | – | ± | + | ± | – | γ |
| Apilactobacillus kunkeei V1 | + | + | ± | – | – | – | ± | + | ± | – | γ |
| Apilactobacillus kunkeei V2 | + | + | ± | – | – | – | + | + | ± | – | γ |
| Lactiplantibacillus plantarum B7 | + | + | + | ± | – | – | + | + | + | – | γ |
| Lactiplantibacillus plantarum E5 | + | + | + | ± | – | – | + | + | + | – | γ |
| Lactiplantibacillus plantarum S4 | + | + | + | ± | – | – | + | + | + | – | γ |
| Lactiplantibacillus plantarum V4 | + | + | + | ± | – | – | + | + | + | – | γ |
| Lactiplantibacillus plantarum V7 | + | + | + | ± | – | – | + | + | + | – | γ |
| Lactococus lactis B4 | + | + | ± | – | – | – | + | + | + | – | γ |
| Lactococus lactis M3 | + | + | ± | ± | – | – | + | + | + | – | γ |
| Lactococus lactis M5 | + | + | ± | ± | – | – | + | + | + | – | γ |
| Lactococus lactis V3 | + | + | ± | – | – | – | + | + | + | – | γ |
| Limosilactobacillus fermentum E3 | + | + | ± | – | – | – | + | + | + | – | γ |
| Limosilactobacillus fermentum M2 | + | + | ± | – | – | – | + | + | + | – | γ |
| Weissella cibaria M6 | + | + | ± | – | – | – | + | + | + | – | γ |
| Weissella cibaria V8 | + | + | ± | – | – | – | + | + | + | – | γ |
| Weissella confusa S6 | + | + | ± | ± | – | – | + | + | + | – | γ |
H: Hemolysis, γ: Gamma Hemolysis (non-Hemolytic). Growth indication based on color of the medium: +: Yellow (Positive), –: Purple (Negative), ±: Brownish (Weak Positive).
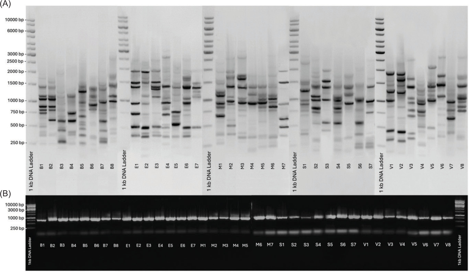
A total of 200 LAB isolates obtained from 5 different BB/BP mix samples were analyzed using (GTG)5-PCR fingerprinting. The isolates were clustered into 37 distinct band profiles based on similarity of DNA patterns. Approximately 40 strains were collected from each sample, and isolates with identical fingerprint profiles were grouped and numbered accordingly. Among the profiles, several dominant patterns were observed across different samples, indicating the presence of common LAB strains. Representative isolates from each distinct band profile were selected for further identification based on their different fingerprint patterns observed in the gel images (Figure 1A). While the highest strain diversity was found in the BB/BP mix samples obtained from Bursa and Van provinces, 7 different strain profiles were observed in the sample mixtures obtained from Erzurum, Muğla, and Samsun provinces. In order to achieve high diversity in the identification of isolates, the DNA bands of the strains amplified from approximately 750-1000 bp region in the 16S rRNA were clearly observed in the PCR gel imaging system (Figure 1B).
Figure 1. (GTG)5-PCR fingerprinting profiles of 200 LAB isolates obtained from five different BB/BP mix samples, clustered into 37 distinct band patterns based on DNA similarity (A), 16S rRNA bands of 37 strains amplified by PCR (B).
Thirty-seven different band profiles were identified as Apilactobacillus kunkeei, Lactiplantibacillus plantarum (formerly Lactobacillus plantarum), Limosilactobacillus fermentum (formerly Lactobacillus fermentum), Lactococcus lactis, Weissella cibaria, Weissella confusa, Leuconostoc mesenteroides and Enterococcus faecium species, which showed 98-100% similarity to 8 different LAB species based on the updated taxonomy (Zheng et al. 2020). The identification results of LAB strains isolated from samples B, E, M, S, and V and the accession numbers submitted to GenBank are shown in Table 1. While many studies exist on bee pollen and the gut microbiota of bees, the bacterial diversity and characterization of bee bread samples have rarely been investigated. Supporting our LAB isolation findings, some isolation and characterization studies with methods such as RAPD and PCR-DGGE showed that LAB species such as Apilactobacillus kunkeei, Lactiplantibacillus plantarum, Fructobacillus fructosus, Levilactobacillus brevis, Lactobacillus musae, Lactobacillus crustorum, Lactobacillus mindensis and Lactobacillus delbrueckii were present in bee bread (Iorizzo et al. 2020; Mohammad et al. 2021; Bakour et al. 2022). It was reported that bee pollen contains Lactiplantibacillus plantarum, Limosilactobacillus fermentum, Lactococcus lactis, Lactobacillus ingluviei, Pediococcus pentosaceus, Lactobacillus acidipiscis, Weissella cibaria and Weissella confusaspecies (Belhadj et al. 2014; Di Cagno et al. 2019). It It is thought that Leuconostoc mesenteroides and Enterococcus faecium species are transferred to bee bread and pollen from the digestive system of worker bees (Belhadj et al. 2014).
According to the identification results, A. kunkeei, L. mesenteroides, and E. faecium species LAB were present in all samples. The dominant species in samples B, E, M, S, and V was A. kunkeei with rates of 65%, 80%, 30%, 45%, and 60%, respectively. Although the number and species of LAB isolated from all samples were similar, W. confusa was isolated only from sample S; W. cibaria from samples M and V; and Limosilactobacillus fermentum from samples E and M. Lactiplantibacillus plantarum strains were only found in the M sample, and Lactococcus lactis strains were not found in the E and S samples. The main group constituting the dominant bacterial flora in bee bread and pollen are bacteria belonging to the Lactobacillus genus. The fermentation process of these microorganisms, which lasts about two weeks, affects biochemical properties such as pH decrease and an increase in lactic acid content. The information that this situation makes A. kunkeei LAB species dominant in the flora supports our study (Vásquez and Olofsson, 2009; Zuluaga-Dominguez and Fuenmayor, 2022). Additionally, Asama et al. (2015) sequencing analysis of the microbiota of honeybees and products revealed that L. kunkeei (currently classified as Apilactobacillus kunkeei) was dominant in honey, bee pollen, bee bread, and royal jelly.
The evolutionary history was inferred using the Evolution method, with the optimal tree shown in Figure 2. This analysis involved 37 nucleotide sequences, and all ambiguous positions were removed for each sequence pair using the pairwise deletion option. The final dataset consisted of 1519 positions. Cluster alignment analysis resulted in 7 distinct groups. The phylogenetic tree, based on 16S rRNA gene sequences, revealed distinct clustering patterns among the LAB strains isolated from bee products. Isolates belonging to the same species formed tight, species-specific clades, such as Apilactobacillus kunkeei, Lactiplantibacillus plantarum, Lactococcus lactis, and Enterococcus faecium. Strains of Weissella cibaria, Weissella confusa, and Leuconostoc mesenteroides also clustered closely within their respective groups. This clustering pattern indicates a high level of genetic similarity within each species and highlights the diversity of LAB present in the bee bread and pollen samples. The phylogenetic relationships also suggest that certain species, such as Apilactobacillus kunkeei, were more frequently isolated compared to others, reflecting their ecological dominance in fructose-rich environments like bee products.
Figure 2. A dendrogram showing the multiple sequence alignment of 16S rRNA gene sequences of LAB strains was constructed using the neighbor-joining method in MEGA X software. The phylogenetic tree demonstrates the formation of seven distinct clusters, reflecting genetic similarity among the isolates.
It was determined that climate differences and geographical locations had a significant contribution to the microbiota diversity in bee bread and bee pollen, while they had no effect on the phylogenetic differences of the same LAB species. Li et al. (2024), in their study to reveal the patterns of changes in the microbial community and nutritional components in bee bread according to seasons, stated that the bacterial and fungal compositions in bee bread underwent significant seasonal changes.
Since the strains used in the continuation of our study were planned to be potential probiotic LAB suitable for human consumption, the strains coded B3, B8, E4, M4, S5, S7, and V5, defined as L. mesenteroides, and B5, B6, E7, M7, S1, and V6, defined as E. faecium, were not analyzed.
In addition to bile salts, there is also a high level of salt (NaCl) in the gastrointestinal tract (GIT). Salt tolerance in LAB is an important factor for food applications. High salt concentration affects enzyme activity, water activity, and physiology in LAB cells due to osmotic pressure. Therefore, the high salt tolerance level of LAB is very important for commercial purposes (Adnan and Tan, 2007; Goh et al. 2021).
All 24 strains isolated in this study were observed to have the ability to tolerate salt concentrations up to 6% (Table 2). As the salt concentration increased, there was a decrease in the growth ability of all isolated strains. At an 8% salt concentration, none of the A. kunkeei, Lim. fermentum, and W. cibaria strains showed growth, while all isolated strains of Lpb. plantarum and L. lactis M3, M5, and W. confusa S6 strains showed growth. All isolates were unable to survive at a 10% salt concentration.
Our findings are consistent with the study conducted by Goh et al. (2021), who reported that various LAB isolated from stinging bees could grow at 4-6% salt concentration. In their study, Ertekin and Çon (2014) found that L. lactis subsp. lactis isolated from cheese showed growth at a 6.5% NaCl concentration but could not grow at 8-9% NaCl concentrations. When the salt tolerance abilities of the L. lactis strain isolated from the cheese sample and the L. lactis B4 and V3 strains isolated from the BB/BP mix samples were compared, they were similar. In previous studies, it was determined that Lpb. plantarum (formerly L. plantarum) could show resistance in combined applications with different temperature parameters at salt concentrations up to 6%. Additionally, the findings that Lpb. plantarum grew weakly at an 8% salt concentration also support our study (Ferrando et al., 2015; Dalcanton et al., 2018).
The ability of LAB isolates to tolerate different temperatures is an important factor for their survival in the human GIT or in industrial food production processes (Goh et al., 2021). The growth abilities of 24 strains at 5 different temperatures are given in Table 2.
All LAB strains isolated from BB/BP mix samples were unable to grow at very low temperatures (4°C) and very high temperatures (80°C), indicating that the strains were not psychrophilic or thermophilic. Considering that the origin of the LAB in our study was bee bread and bee pollen harvested in the summer, it can be inferred from the analysis results that the optimum temperatures for the development of these strains are 30-37°C. Among all isolates, only A. kunkeei strains exhibited weak growth at 45°C, while the strains A. kunkeei B1, E1, E2, M1, S3, and V1 showed weak growth at 25°C.
In the LAB isolation study conducted on honeybees in Türkiye, it was observed that all strains could grow at 37°C. A. kunkeei strains from the same study showed weak growth at 18°C and 45°C (Suyabatmaz et al., 2023). In a study aimed at isolating potential probiotic LAB, Reuben et al. (2019) reported that LAB isolates could survive in the range of 25°C to 40°C and could not grow under extreme temperatures.
The tolerance levels of LAB in stomach-like acidic and bile salt-rich environments are an important feature for them to exhibit their beneficial effects as probiotics in the intestine. This allows LAB to survive and colonize the GIT (Nueno-Palop and Narbad, 2011; Goh et al., 2021). In this regard, when the same species of strains isolated from BB/BP mix samples from different provinces in our study were evaluated in terms of acid tolerance, they showed significantly different results (p < 0.05). Among all strains, Lpb. plantarum V4, Lpb. plantarum E5, W. confusa S6, Lim. fermentum E3, Lpb. plantarum B7, and L. lactis M5 strains exhibited the best tolerance to low pH conditions, with inhibition rates of 5%, 9%, 10%, 14%, 16%, and 27%, respectively (p < 0.05) (Figure 3A).
Figure 3. % values of LAB strains under low pH inhibition (A), bile salts inhibition (B), autoaggregation activity (C). Lowercase letters represent the statistical difference between the same type of strains isolated from different province samples.
According to the study reporting that the survival rate of Lpb. plantarum strains isolated from Kargı Tulum cheeses was 50-60% after a 4-hour intervention at pH 3, it was determined that the Lpb. plantarum (formerly L. plantarum) strains in our study were more resistant to low pH conditions, with a survival rate of 69-95% (Elçioğlu and Kunduhoğlu, 2014). Since different LAB strains may show different low pH tolerance rates, these findings are consistent with the average 75% survival rate of Lpb. plantarum (formerly L. plantarum) in previous reports (Verón et al., 2017; Sakandar et al., 2019; İspirli and Dertli, 2021). It was observed that the inhibition rates of A. kunkeei and L. kunkeei (currently classified as Apilactobacillus kunkeei) species, which constitute most of the microbiota in all BB/BP mix samples, at pH 3 were 60-80% (p < 0.05) (Figure 3A). The results of our study were found to be compatible with those reported by İspirli and Dertli (2021), in which A. kunkeei strains isolated from bee bread and bee pollen showed high levels of inhibition. Among all A. kunkeei, Lim. fermentum strains isolated from different provinces, the strains obtained from Erzurum samples stood out with the best acid tolerance (p < 0.05).
The pH value of an empty stomach is 2.0, but during the digestive process, it can rise to approximately 3.0 depending on the type and amount of food. Digestion lasts 5-6 h in the small intestine (pH 6.6) and 12-24 h in the large intestine (pH 7.0). Although the pH of the human stomach can be higher than 3 depending on nutrition, testing the resistance of our isolates to pH 3 ensures their possibility of survival in the GIT (Elçioğlu and Kunduhoğlu, 2014; Suyabatmaz et al., 2023). In light of the results of all studies, including our study, when the ability of our strains from BB/BP mix samples to survive at low pH is examined, it is highly probable that they can colonize the GIT.
Intestinal bile salts are known to inhibit bacterial growth by disrupting cellular membranes. LAB that can survive bile salts are able to utilize these salts in their metabolic activities to grow and colonize the GIT in a manner beneficial to the host (Franz et al., 2001). In this study, when the same species of strains isolated from different provincial samples were evaluated in terms of bile tolerance, all strains showed significantly different results (p < 0.05), except for Lpb. plantarum (p > 0.05). Although A. kunkeei E1, E2, B2, E6, and S2 strains had low survival at pH 3, no viable counts were observed in the agar media after exposure to 0.3% bile salts for 4 hours (Figure 3B). However, A. kunkeei strains isolated from Van and Muğla samples were able to tolerate bile salt (p < 0.05).
Suyabatmaz et al. (2023) reported that LAB isolated from honeybees and their larvae could survive after bile salt digestion, while two strains related to A. kunkeei were completely inhibited. The survival rate after 2 h of exposure to bile salt was reported to be approximately 15% for an A. kunkeei strain isolated from natural and local Bangladeshi honey (Ferdouse et al., 2023). This result is similar to the survival rates of the A. kunkeei S3, M1, and B1 strains we isolated. The A. kunkeei V2 strain was found to be consistent with the results of İspirli and Dertli (2021), who isolated L. kunkeei (currently classified as Apilactobacillus kunkeei) strains from bee bread and pollen, showing high levels of inhibition (approximately 80%) against bile salt. The strains that showed the highest bile salt tolerance in BB/BP mix samples were W. confusa S6, W. cibaria M6, L. lactis M5, Lim. fermentum E3, and Lpb. plantarum V4, with inhibition rates of 25%, 26%, 30%, and 31%, respectively (p < 0.05). When the bile salt tolerance abilities of W. confusa were examined on a species basis, regardless of the origin of isolation, the existence of strains with higher tolerance compared to our findings was shown in a previous report (Dey et al., 2019).
Autoaggregation is a probiotic trait in which bacteria clump together and maintain their form. This ability confers stability to microbial strains in the GIT, reducing exposure to challenging intestinal conditions. Autoaggregation activity is a type of interaction that provides information about the ability of probiotic bacteria to colonize intestinal epithelial cells (Duary et al., 2011; Sakandar et al., 2019). As can be seen in Figure 3C, it was determined that the isolation of the same species of strains from different provinces had no effect on autoaggregation activity (p > 0.05), except for the A. kunkeei species (p < 0.05). Among all LAB strains isolated from BB/BP mix samples, A. kunkeei E6 showed the highest autoaggregation with 100% activity (p < 0.05). It was followed by other A. kunkeei strains with autoaggregation abilities ranging from 76-92%.
Our findings showed higher autoaggregation values than those reported for A. kunkeei (formerly L. kunkeei) strains associated with bees and bee products in previous studies (Sakandar et al., 2019; Iorizzo et al., 2020). The closest autoaggregation activity value to our findings for this species was reported in the LAB isolation study from honey, with a rate of 83% (Ebrahimi et al., 2020). In our study, Lim. fermentum and Lpb. plantarum strains showed high similarity to each other, with autoaggregation values ranging from 60% to 75% (p > 0.05). L. lactis strains had the lowest activity among all isolates, with an average of 43%, and Weissella strains had an average of 50% (p < 0.05). However, it has been stated that a potential probiotic strain should have more than 40% autoaggregation in order to strengthen the defense mechanism in the host’s intestine (Suwannaphan, 2021). Thus, all LAB strains in our study were proven to have the potential to adhere to the GIT by their autoaggregation activities.
In our study, all LAB isolated from bee bread and pollen samples showed antimicrobial activity against foodborne pathogens B. cereus, L. monocytogenes, Staph. aureus, and E. coli (Table 3). However, while the degree of antagonism varies from strain to strain (p < 0.05), it is similar in isolates of the same species from different cities (p > 0.05). The highest antibacterial activity was detected against B. cereus and E. coli. Among all strains, the lowest microbial activity against pathogens was observed in Lactococcus lactis and Limosilactobacillus fermentum strains (p < 0.05). In a study conducted with concentrated CFS obtained from LAB, it was stated that the strongest antimicrobial effect against food pathogens belonged to Lpb. plantarum, L. sakei, and L. curvatus strains (Sezen et al., 2024). These results support the antimicrobial activity values obtained for the Lpb. plantarum strain in our study. Suyabatmaz et al. (2023), similar to our study, reported that the highest antimicrobial activity of LAB supernatants isolated from honey bees developed against E. coli ATCC 25922 and B. cereus ATCC 43288 pathogens. The antagonistic effect of the SYM1-coded A. kunkeei strain they isolated in their study against E. coli, L. monocytogenes, and Staph. aureus pathogens was found to be similar to that isolated from bee bread and pollen in our study.
Table 3. Antimicrobial activity of LAB strains against different pathogenic bacteria, expressed as inhibition zone diameters (mm).
| Strain | Antimicrobial Activitiy | |||
|---|---|---|---|---|
| B. cereus | L. monocytogenes | Staph. aureus | E. coli | |
| Apilactobacillus kunkeei B1 | 21.23±0.4ad | 12.1±0.5bf | 17.33±1.3af | 25.18±1.1ab |
| Apilactobacillus kunkeei B2 | 22.4±1.7ad | 12.78±1.9bf | 12.94±1.5ai | 21.51±1.1ad |
| Apilactobacillus kunkeei E1 | 21.14±1.8ad | 14.56±1.3ac | 11.24±0.8ci | 22.73±0.8ac |
| Apilactobacillus kunkeei E2 | 22.10±1.2ad | 11.79±1.6bf | 15.82±0.5ag | 26.54±0.7ab |
| Apilactobacillus kunkeei E6 | 21.19±1.3ad | 15.2±1.2ab | 14.44±0.8ah | 18.98±0.9bf |
| Apilactobacillus kunkeei M1 | 19.62±0.4ae | 10.3±0.9bf | 10.53±1.7ei | 27.02±2.1a |
| Apilactobacillus kunkeei S2 | 17.97±0.7cg | 12.55±1.5bf | 11.92±0.8bi | 22.2±0.2ac |
| Apilactobacillus kunkeei S3 | 20.8±0.9ad | 13.98±1.4ad | 10.08±1.9fi | 24.17±1.3ab |
| Apilactobacillus kunkeei V1 | 17.17±1.5dh | 10.9±0.6bf | 10.75±1.7di | 20.91±1.4ad |
| Apilactobacillus kunkeei V2 | 19.19±2.1bf | 11.39±0.5bf | 10.9±1.3ci | 19.72±0.7ae |
| Lactiplantibacillus plantarum B7 | 26.11±0.5ab | 10.15±0.5bf | 18.26±0.9ad | 24.6±0.9ab |
| Lactiplantibacillus plantarum E5 | 26.58±0.8a | 10.31±1.1bf | 18.53±1.2ac | 24.2±2.2ab |
| Lactiplantibacillus plantarum S4 | 25.61±1.2ab | 12.67±1.6bf | 17.74±1.8af | 23.14±1.1ab |
| Lactiplantibacillus plantarum V4 | 24.88±1.8ac | 14.98±0.9ab | 19.3±2.1ab | 24.32±2.3ab |
| Lactiplantibacillus plantarum V7 | 24.94±0,8ac | 13.2±2.0ae | 17.79±1.4ae | 24.51±1.8ab |
| Lactococus lactis B4 | 10.48±0.4h | 6.01±0.6f | 7.83±0.5hi | 11.89±0.8ef |
| Lactococus lactis M3 | 11.04±1.1gh | 6.75±1.2ef | 8.14±0.7gi | 15.2±1.0cf |
| Lactococus lactis M5 | 11.9±0.7gh | 6.36±0.4ef | 8.59±1.2gi | 15.01±1.3cf |
| Lactococus lactis V3 | 10.15±1.9h | 7.49±0.7df | 7.19±0.9hi | 13.78±0.7df |
| Limosilactobacillus fermentum E3 | 12.43±0.4fh | 7.5±0.9cf | 6.8±0.5hi | 14.16±1.6df |
| Limosilactobacillus fermentum M2 | 13.5±0.9eh | 6.89±0.5ef | 6.09±0.1i | 11.75±1.1f |
| Weissella cibaria M6 | 26.17±1.5ab | 19.92±1.4a | 16.98±1.4af | 22.24±2.0ac |
| Weissella cibaria V8 | 24.33±1.7ac | 15.84±0.7ab | 17.52±1.9af | 20.19±0.5ad |
| Weissella confusa S6 | 25.66±0.7ab | 20.19±1.6a | 19.78±2.0a | 24.89±1.3ab |
Lowercase letters in the same column indicate statistically significant differences among LAB strains against each pathogen (p<0.05).
LAB exhibit significant antimicrobial effects against various pathogens. These bacteria produce antimicrobial compounds such as hydrogen peroxide, carbon dioxide, diacetyl, and bacteriocins, which can inhibit food spoilage and the growth of pathogenic bacteria (Şanlıbaba and Güçer, 2015). CFS obtained from LAB, especially concentrated forms, show enhanced antimicrobial activity due to increased organic acid content (Sezen et al., 2024). LAB, including cell components and metabolites such as peptidoglycans, surface proteins, and bacteriocins, exhibit various beneficial effects on the host, such as immunomodulation and antimicrobial activity (Teame et al., 2020).
Antibiotic resistance among beneficial microbial species and the genetic transfer of this resistance to other bacteria, especially pathogenic bacteria, is an important health problem (Li et al., 2019). For this reason, antibiotic resistance of functional and probiotic LAB strains must be tested for safety. The antibiotic resistance of the strains isolated in our study is given in Table 4. It was determined that the resistance of the tested LAB isolates to antibiotics differed according to the provincial samples from which they were obtained (p < 0.05). All isolates were found to be resistant to kanamycin and streptomycin (p < 0.05).
Table 4. Antibiotic sensitivity properties of LAB strains as inhibition zone diameters (mm).
| Antibiotic Susceptibility | ||||||||
|---|---|---|---|---|---|---|---|---|
| A | E | K | C | T | P | S | TE | |
| Apilactobacillus kunkeei B1 | 25±0.6f | 30±0.9fg | 0c | 30±0.3d | 31±0.1bc | 54±0.5a | 0c | 21±0.7e |
| Apilactobacillus kunkeei B2 | 30±0.9e | 32±0.6f | 9±0.4a | 33±0.3d | 22±0.8d | 45±0.7d | 9±0.7ab | 22±0.3de |
| Apilactobacillus kunkeei E1 | 38±0.5c | 36±0.2de | 8±0.3ab | 37±0.8c | 29±0.5bc | 48±0.8c | 11±0.9a | 23±0.7de |
| Apilactobacillus kunkeei E2 | 42±0.7b | 37±0.5cd | 0c | 37±0.8c | 29±0.7bc | 43±0.4de | 0c | 27±0.2c |
| Apilactobacillus kunkeei E6 | 27±0.8f | 33±0.5ef | 0c | 33±0.9d | 28±0.8c | 50±0.3bc | 0c | 22±0.7de |
| Apilactobacillus kunkeei M1 | 41±0.3b | 43±0.6b | 7±0.8b | 32±0.3d | 32±0.9ab | 54±0.1a | 10±0.2a | 33±0.5b |
| Apilactobacillus kunkeei S2 | 33±0.1d | 28±0.1g | 0c | 39±0.5abc | 23±0.8d | 44±0.1d | 0c | 25±0.6cd |
| Apilactobacillus kunkeei S3 | 38±0.1c | 47±0.9a | 0c | 38±0.3bc | 35±0.1a | 51±0.2b | 7±0.9b | 37±0.3a |
| Apilactobacillus kunkeei V1 | 49±0.1a | 39±0.5cd | 0c | 41±0.5ab | 32±0.9ab | 54±0.9a | 0c | 28±0.3c |
| Apilactobacillus kunkeei V2 | 32±0.1bc | 40±0.1bc | 0c | 42±0.8a | 29±0.1bc | 41±0.5e | 0c | 21±0.8e |
| Lactiplantibacillus plantarum B7 | 19±0.1b | 20±0.8b | 0a | 23±0.5ac | 18±0.2b | 20±0.7c | 0a | 18±0.2c |
| Lactiplantibacillus plantarum E5 | 25±0.7a | 28±0.3a | 0a | 26±0.6a | 23±0.2a | 32±0.7ab | 0a | 19±0.1bc |
| Lactiplantibacillus plantarum S4 | 22±0.8ab | 22±0.9b | 0a | 25±0.6ab | 21±0.5a | 29±0.5b | 0a | 22±0.4a |
| Lactiplantibacillus plantarum V4 | 21±0.2b | 22±0.3b | 0a | 22±0.8bc | 22±0.5a | 35±0.2a | 0a | 17±0.8c |
| Lactiplantibacillus plantarum V7 | 20±0.5b | 27±0.5a | 0a | 20±0.9c | 22±0.5a | 31±0.9b | 0a | 21±0.5ab |
| Lactococus lactis B4 | 22±0.9b | 30±0.8ab | 12±0.1a | 29±0.1c | 36±0.5c | 28±0.2c | 0a | 35±0.6a |
| Lactococus lactis M3 | 27±0.6a | 34±0.5a | 10±0.5ab | 32±0.6b | 45±0.3a | 32±0.5b | 0a | 38±0.2a |
| Lactococus lactis M5 | 23±0.9ab | 31±0.8ab | 8±0.9b | 32±0.6b | 41±0.6b | 37±0.9a | 0a | 38±0.9a |
| Lactococus lactis V3 | 21±0.5b | 29±0.9b | 0c | 37±0.1a | 39±0.2b | 25±0.4c | 0a | 31±0.4b |
| Limosilactobacillus fermentum E3 | 24±0.3b | 24±0.2a | 0a | 27±0.9b | 24±0.2b | 31±0.2b | 10±0.7a | 24±0.4a |
| Limosilactobacillus fermentum M2 | 29±0.9a | 22±0.8a | 0a | 32±0.1a | 36±0.5a | 36±0.5a | 9±0.3a | 22±0.8a |
| Weissella cibaria M6 | 20±0.4a | 24±0.8a | 0a | 26±0.2a | 20±0.8b | 26±0.8a | 0a | 22±0.9ab |
| Weissella cibaria V8 | 20±0.7a | 26±0.3a | 0a | 26±0.8a | 22±0.1b | 25±0.6a | 0a | 24±0.1a |
| Weissella confusa S6 | 19±0.7a | 20±0.7b | 0a | 22±0.3b | 26±0.4a | 27±0.9a | 0a | 19±0.5b |
Lowercase letters represent the statistical difference between the same type of strains isolated from different province samples (p<0.05). Zone diameters were interpreted as susceptible (S, >21 mm), intermediate (I, 16–21 mm), or resistant (R, <16 mm), according to the Clinical and Laboratory Standards Institute (CLSI) guidelines. Ampicillin (A, 10 μg), chloramphenicol (C, 30 μg), erythromycin (E, 15 μg), kanamycin (K, 30 μg), tetracycline hydrochloride (TE, 30 μg), oxytetracycline (T, 30 μg), penicillin (P, 10 μg) and streptomycin (S, 10 μg).
Studies by Arıcı et al. (2004) and Ebrahimi et al. (2020) also reported that resistance to kanamycin and streptomycin antibiotics was high in different LAB species. On the other hand, all strains except Lpb. plantarum B7, Lpb. plantarum V7, W. cibaria M6, and W. confusa S6 were found to be susceptible to chloramphenicol, erythromycin, tetracycline, penicillin, oxytetracycline, and ampicillin (p < 0.05). Previous studies also reported that LAB had low levels of resistance to these antibiotics (Arıcı et al., 2004; Li et al., 2019). In addition, it was observed that the resistance of Lpb. plantarum B7, Lpb. plantarum V7, W. cibaria M6, and W. confusa S6 strains to antibiotics to which they were not susceptible was at the intermediate level (O, 16-21 mm) as determined by the Clinical and Laboratory Standards Institute (CLSI). This situation does not constitute a disadvantage in terms of the probiotic properties of these strains.
In this study, a total of 37 LAB isolates representing 8 different species were identified from bee bread and bee pollen samples collected from different regions of Türkiye. These LAB isolates include A. kunkeei, which are frequently found in bee bread and bee pollen, and W. confusa, which has never been previously identified from a similar source. In an effort to understand their technological value and probiotic roles in food applications, the best values among our isolates subjected to pH inhibition, bile salt inhibition, autoaggregation activity, and antibiotic susceptibility analyses were obtained from Lpb. plantarum, L. lactis, Lim. fermentum, W. cibaria, and W. confusa species. The findings obtained from these LAB isolates give hope for their future commercial use as starter cultures in food applications as well as their use as a source of probiotics for humans and animals. However, our findings prove that differences in the origin of bee bread and bee pollen affect the functionality of the same LAB species. In summary, the importance of the origin of bee bread and bee pollen has been better understood in the research carried out to find the most talented of the new generation probiotics.
This study was supported by Pamukkale University Scientific Research Project (Grant number: 2022FEBE033). Also, Elif Taşdelen is thankful to the YOK 100-2000 PhD scholarship program and Scientific and Technological Research Council of Turkey (TUBITAK 2211-A National PhD program) for financial support.
Material preparation, data collection and analysis were performed by E.T.. Writing—review and editing by E.T. and S.A. S.A. supervised the study, managed overall project oversight, and reviewed the final manuscript. All authors read and approved the fnal manuscript.
The authors declare no conflict of interest.
Adnan, M.A.F., & Tan, I.K.P. (2007). Isolation of lactic acid bacteria from malaysian foods and assessment of the isolates for industrial potential. Bioresource Technology, 98, 1380–1385. 10.1016/j.biortech.2006.05.034
Arıcı, M., Bilgin, B., Sağdıç, O., & Özdemir, C. (2004). Some characteristics of Lactobacillus isolates from infant faeces. Food Microbiology, 21, 19–24. 10.1016/S0740-0020(03)00044-3
Asama, T., Arima, T.H., Gomi, T., Keishi, T., Tani, H., Kimura, Y., & Hashimoto, K. (2015). Lactobacillus kunkeei YB38 from honeybee products enhances IgA production in healthy adults. Journal of Applied Microbiology, 119, 818–826. 10.1111/jam.12889
Aween, M.M., Hassan, Z., Muhialdin, B.J., Eljamel, Y.A., Al-Mabrok, A.S.W., & Lani, M.N. (2012). Antibacterial Activity of Lactobacillus acidophilus strains ısolated from honey marketed in malaysia against selected multiple antibiotic resistant (MAR) Gram-positive bacteria. Journal of Food Science, 77, 364–371. 10.1111/j.1750-3841.2012.02776.x
Bakour, M., Laaroussi, H., Ousaaid, D., Ghouizi, A.E., Es-Safi, I., Mechchate, H., & Lyoussi, B. (2022). Bee bread as a promising source of bioactive molecules and functional properties: an up-to-date review. Antibiotics, 11, 139. 10.3390/antibiotics11020203
Belhadj, H., Harzallah, D., Bouamra, D., Khennouf, S., Dahamna, S., & Ghadbane, M. (2014). Phenotypic and genotypic characterization of some lactic acid bacteria isolated from bee pollen: A preliminary study. Bioscience of Microbiota, Food and Health, 33, 11–23. 10.12938/bmfh.33.11
Dalcanton, F., Carrasco, E., Rodriguez, F.P., Izquierdo, G.D.P., Aragao, G.M.F., & Gimeno, R.M.G. (2018). Modeling the combined effects of temperature, ph, and sodium chloride and sodium lactate concentrations on the growth rate of Lactobacillus plantarum ATCC 8014. Journal of Food Quality, 1726761. 10.1155/2018/1726761
Di Cagno, R., Filannino, P., Cantatore, V., & Gobbetti, M. (2019). Novel solid-state fermentation of bee-collected pollen emulating the natural fermentation process of bee bread. Food Microbiology, 82, 218–230. 10.1016/j.fm.2019.02.007
Duary, R.K., Rajput, Y.S., Batish, V.K., & Grover, S. (2011). Assessing the adhesion of putative indigenous probiotic lactobacilli to human colonic epithelial cells. Indian Journal of Medical Research, 134, 664–671. 10.4103/0971-5916.90992
Ebrahimi, M., Sadeghi, A., Rahimi, D., Purabdolah, H., & Shahryari, S. (2020). Postbiotic and antiaflatoxigenic capabilities of Lactobacillus kunkeei as the potential probiotic LAB isolated from the natural honey. Probiotics and Antimicrobial Proteins, 13, 343–355. 10.1007/s12602-020-09697-w
Elçioğlu, O., & Kunduhoglu, B. (2014). Probiotic characteristics of natural Lactobacilli isolated from traditional Kargi Tulum cheese. Italian Journal of Food Science, 26, 31–40.
Endo, A., Maeno, S., Tanizawa, Y., Kneifel, W., Arita, M., Dicks, L., & Salminen, S. (2018). Fructophilic Lactic Acid Bacteria, a Unique Group of Fructose-Fermenting Microbes. Applied and Environmental Microbiology, 84, 19. 10.1128/AEM.01290-18
Ertekin, Ö., & Çon, A.H. (2014). Industrial and probiotic characteristics of lactic acid bacteria isolated from fermented foods. Academic Food Journal, 12, 6–16.
Ferdouse, J., Paul, S., Chowdhury, T., Ali, F., Islam, S., & Hossain, T.J. (2023). Probiotic characteristics of Pediococcus pentosaceus and Apilactobacillus kunkeei strains: The lactic acid bacteria isolated from Bangladeshi natural honey. Applied Food Biotechnology, 10, 33–45. 10.22037/afb.v10i1.39617
Ferrando, V., Quiberoni, A., Reinhemer, J., & Suarez, V. (2015). Resistance of functional Lactobacillus plantarum strains against food stress conditions. Food Microbiology, 48, 63–71. 10.1016/j.fm.2014.12.005
Franz, C.M.A.P., Specht, I., Haberer, P., & Holzapfel, W.H. (2001). Bile salt hydrolase activity of Enterococci isolated from food: Screening and quantitative determination. Journal of Food Protection, 64, 725–729. 10.4315/0362-028X-64.5.725
Goh, L.P.W., Molujin, A.M., Muthu, K., Abdulla, R., Sabullah, M.K., Faik, A.A.M., Gansau, J.A., & Jawan, R. (2021). Isolation and characterization of lactic acid bacteria from Sabah (North Borneo) stingless bees for probiotic and food applications. International Journal of Food Properties, 24, 564–578. 10.1080/10942912.2021.1900238
Hasali, N.M., Zamri, A.I., Lani, MN., Mubarak, A., & Suhaili, Z. (2015). Identification of lactic acid bacteria from Meliponine honey and their antimicrobial activity against pathogenic bacteria. American-Eurasian Journal of Sustainable Agriculture, 9, 1–6.
Iorizzo, M., Pannella, G., Lombardi, S.J., Ganassi, S., Testa, B., Succi, M., Sorrentino, E., Petrarca, S., Cristofaro, A.D., Coppola, R., & Tremonte, P. (2020). Inter-and intraspecies diversity of lactic acid bacteria in apis mellifera ligustica colonies. Microorganisms, 8, 1–17. 10.3390/microorganisms8101578
İspirli, H., & Dertli, E. (2021). Detection of fructophilic lactic acid bacteria (FLAB) in bee bread and bee pollen samples and determination of their functional roles. Journal of Food Processing and Preservation, 45, 15414. 10.1111/jfpp.15414
Kafantaris, I., Amoutzias, G.D., & Mossialos, D. (2021). Foodomics in bee product research: a systematic literature review. European Food Research and Technology, 247, 309–331. 10.1007/s00217-020-03634-5
Kahraman-Ilıkkan, Ö. (2023). Bacterial Profile and fatty acid composition of Anatolian bee bread samples by metataxonomic and metabolomic approach. Current Microbiology, 80, 1–9. 10.1007/s00284-023-03195-2
Khalifa, S.A.M., Elashal, M., Kieliszek, M., Ghazala, N.E., Farag, M.A., Saeed, A., Xiao, J., Zou, X., Khatib, A., Göransson, U., & El-Seedi, H.R. (2020). Recent insights into chemical and pharmacological studies of bee bread. Trends in Food Science and Technology, 97, 300–316. 10.1016/j.tifs.2019.08.021
Kiran, F., Demirhan, H.K., Halisçelik, O., & Zatari, D. (2023). Metabolic profiles of Weissella spp. postbiotics with anti-microbial and antioxidant effects. The Journal of Infection in Developing Countries, 17(4), 507–517. 10.3855/jidc.16921
Kumar, S., Stecher, G., Li, M., Knyaz, C., & Tamura, K. (2018). MEGA X: Molecular evolutionary genetics analysis across computing platforms. Molecular Biology and Evolution, 35, 1547–1549. 10.1093/molbev/msy096
Kumar Dey, D., Koo, B.G., Sharma, C., & Kang, S.C. (2019). Characterization of Weissella confusa DD_A7 isolated from kimchi. LWT-Food Science and Technology, 111, 663–672. 10.1016/j.lwt.2019.05.089
Li, Y., Li, L., Kromann, S., Chen, M., Shi, L., & Meng, H. (2019). Antibiotic resistance of Lactobacillus spp., and Streptococcus thermophilus isolated from Chinese fermented milk products. Foodborne Pathogens and Disease, 16, 221–228. 10.1089/fpd.2018.2516
Li, J.L., Li, W.L., Zhang, J., Pang, Y., Xiong, J., Wu, P., Wei, B., Li, X.J., Huang, Q., Tang, Q.H., Zhao, C.H., Wang, Q., Liu, Z.L., Chen, Y., Dong, Z., Zhao, Y., & Guo, J. (2024). Seasonal dynamics of the microbiota and nutritional composition in bee bread from Apis cerana and Apis mellifera colonies. Food Research International, 190, 113905. 10.1016/j.foodres.2023.113905
Liu, Y., Jiang, B., & Wang, K. (2023). A review of fermented bee products: sources, nutritional values, and health benefits. Food Research International, 174, 113506. 10.1016/j.foodres.2023.113506
Maragkoudakis, P.A., Zoumpopoulou, G., Miaris, C., Kalantzopoulos, G., Pot, B., & Tsakalidou, E. (2006). Probiotic potential of Lactobacillus strains isolated from dairy products. International Dairy Journal. 16, 189–199. 10.1016/j.idairyj.2005.02.009
Mohammad, S.M., Mahmud-Ab-Rashid, N.K., & Zawawi, N. (2021). Probiotic properties of bacteria isolated from bee bread of stingless bee Heterotrigona itama. Journal of Apicultural Research. 60, 172–187. 10.1080/00218839.2020.1801152
Nueno-Palop, C., & Narbad, A. (2011). Probiotic assessment of Enterococcus faecalis CP58 isolated from human gut. International Journal of Food Microbiology, 145, 390–394. 10.1016/j.ijfoodmicro.2010.12.029
Olivier, S.A., Bull, M.K., Strube, M.L., Murphy, R., Ross, T., Bowman, J.P., & Chapman B., (2023). Long-read MinION™ sequencing of 16S and 16S-ITS-23S rRNA genes improves species-level resolution of lactic acid bacteria in complex samples. Frontiers in Microbiology, 14, 1290756. 10.3389/fmicb.2023.1290756
Plessas, S., Nouska, C., Karapetsas, A., Kazakos, S., Alexopoulos, A., Mantzourani, I., Chondrou, P., Fournomiti, M., Galanis, A., & Bezirtzoglou, E. (2017). Isolation, characterization and evaluation of the probiotic potential of a novel Lactobacillus strain isolated from Feta-type cheese. Food Chemistry, 226, 102–108. 10.1016/j.foodchem.2017.01.052
Reuben, R.C., Roy, P.C., Sarkar, S.L., Alam, R.U., & Jahid, I.K. (2019). Isolation, characterization, and assessment of lactic acid bacteria toward their selection as poultry probiotics. BMC Microbiology, 19, 253. 10.1186/s12866-019-1626-0
Sakandar, H.A., Kubow, S., & Sadiq, F.A. (2019). Isolation and in-vitro probiotic characterization of fructophilic lactic acid bacteria from Chinese fruits and flowers. LWT, 104, 70–75. 10.1016/j.lwt.2019.01.038
Scheirlinck, I., Meulen, R.V., Schoor, A.V., Vancanneyt, M., Vuyst, L.D., Vandamme, P., & Huys, G. (2008). Taxonomic structure and stability of the bacterial community in Belgian sourdough ecosystems as assessed by culture and population fingerprinting. Applied and Environmental Microbiology, 4, 2414–2423. 10.1128/AEM.02771-07
Sezen, N.E., Güner, T.E., Tavşanlı, H., & İlhak, O.İ. (2024). Laktik asit bakterilerinden elde edilen konsantre postbiyotiklerin bazı gıda patojenleri üzerine etkilerinin değerlendirilmesi. Etlik Veteriner Mikrobiyoloji Dergisi, 35(1), 77–86. 10.35864/evmd.1446863
Stecher, G., Tamura, K., & Kumar, S. (2020). Molecular Evolutionary Genetics Analysis (MEGA) for macOS. Molecular Biology and Evolution, 37, 1237–1239. 10.1093/molbev/msz312
Saitou, N., & Nei, M. (1987). The neighbor-joining method: A new method for reconstructing phylogenetic trees. Molecular Biology and Evolution, 4(4), 406–425.
Suyabatmaz, Ş., Karaoğlu, Ş.A., Bozdeveci, A., & Akpınar, R. (2023). Honeybee-associated lactic acid bacteria and their probiotic potential for human use. World Journal of Microbiology and Biotechnology, 39, 1–15. 10.1007/s11274-022-03427-w
Suwannaphan, S. (2021). Isolation, ıdentification and potential probiotic characterization of lactic acid bacteria from Thai traditional fermented food. AIMS Microbiology, 7, 431–446. 10.3934/microbiol.2021026
Şanlıbaba, P., & Güçer, Y. (2015). Antimicrobial activity of lactic acid bacteria. Journal of International Scientific Publications, 3, 1314–8591.
Tamura, K., Peterson, D., Peterson, N., Stecher, G., Nei, M., & Kumar, S. (2011). MEGA5: Molecular evolutionary genetics analysis using maximum likelihood, evolutionary distance, and maximum parsimony methods. Molecular Biology and Evolution, 28(10), 2731–2739. 10.1093/molbev/msr121
Teame, T., Wang, A., Xie, M., Zhang, Z., Yang, Y., Ding, Q., Gao, C., O, R.E., & Zhou, Z. (2020). Paraprobiotics and Postbiotics of Probiotic Lactobacilli, Their Positive Effects on the Host and Action Mechanisms: A Review. Frontiers in Nutrition, 7, 570344. 10.3389/fnut.2020.570344
Vásquez, A., & Olofsson, T.C. (2009). The lactic acid bacteria involved in the production of bee pollen and bee bread, Journal of Apicultural Research, 48, 189–195. 10.3896/IBRA.1.48.3.07
Verón, H.E., Di Risio, H.D., Isla, M.I., & Torres, S. (2017). Isolation and selection of potential probiotic lactic acid bacteria from Opuntia ficus-indica fruits that grow in Northwest Argentina. LWT, 84, 231–240. 10.1016/j.lwt.2017.05.058
Zheng, J., Wittouck, S., Salvetti, E., Franz, C.M.A.P., Harris, H.M.B., Mattarelli, P., O’Toole, P.W., Pot, B., Vandamme, P., Walter, J., Watanabe, K., Wuyts, S., Felis, G.E., Ganzle, M.G., & Lebeer, S. (2020). A taxonomic note on the genus Lactobacillus: Description of 23 novel genera, emended description of the genus Lactobacillus Beijerinck 1901, and union of Lactobacillaceae and Leuconostocaceae. International Journal of Systematic and Evolutionary Microbiology, 70(4), 2782–2858. 10.1099/ijsem.0.004107
Zuluaga-Dominguez, C.M., & Fuenmayor, C.A. (2022). Bee bread and gut microbiota. In D. Boyacioglu (Ed.), Bee products and their applications in the food and pharmaceutical industries, pp. 315–345. Academic Press. 10.1016/B978-0-323-85400-9.00010-1