Download

ORIGINAL ARTICLE

A traditional medicinal food Arum rupicola (Kardeh) ameliorates thioacetamide-induced hepatotoxicity in animal model: Role of PCNA/Bax, oxidative stress, and inflammatory cytokines

Talal Salem Al-Qaisi1,2, Ahmed A.J. Jabbar3*, Muhsin H. Ubeid4, Ayman M. Al-Qaaneh5, Ramzi A. Mothana6, Mohammed F. Hawwal6, Rawaz Rizgar Hassan7, Mahmood Ameen Abdulla8, Musher Ismael Saleh9, Parween Abdul-Samad Ismail10, Sidgi Hasson11

1Department of Biomedical Sciences, College of Health Sciences, Abu Dhabi University, Abu Dhabi, UAE;

2Department of Medical Laboratory Sciences, Faculty of Allied Medical Sciences, Al-Ahliyya Amman University, Amman, Jordan;

3Department of Medical Laboratory Technology, Erbil Technical Health and Medical College, Erbil Polytechnic University, Erbil, Iraq;

4Department of Anaesthesia Technologies, College of Health Technologies, Cihan University-Erbil, Kurdistan Region, Iraq;

5Department of Allied Health Sciences, Al-Balqa Applied University (BAU), Al-Salt, Jordan;

6Department of Pharmacognosy, College of Pharmacy, King Saud University, Riyadh, Saudi Arabia;

7Department of Medical Laboratory Science, College of Science, Knowledge University, Kirkuk Road, Erbil, Iraq;

8Department of Medical Analysis, Faculty of Applied Science, Tishk International University, Erbil, Iraq;

9Department of Chemistry, Faculty of Science and Health, Koya University, Koya KOY45, Kurdistan Region, Erbil, Iraq;

10Department of Chemistry, College of Education, Salahaddin University, Erbil, Iraq;

11School of Pharmacy and Biomolecular Sciences, Liverpool John Moores University, Liverpool, UK.

Abstract

Nutraceuticals are major contributors to human health because of their modulatory effects on various physiological and pathological processes. Arum rupicola (Kardeh) is a traditional medicinal food used for many gastrointestinal and enzymatic disorders. The present study evaluates the acute toxicity and hepatoprotective effects of methanolic extracts of Arum rupicola (MEAR) in rat with thioacetamide (TAA)-induced liver injury in rat. Thirty Sprague-Dawley rats were divided into five groups: Group A, normal control, and group B, TAA control groups were treated orally with 10% tween 20; group C reference rat received daily of 50 mg/kg silymarin drug; Groups D and E rat received daily doses of 250 mg/kg and 500 mg/kg MEAR, respectively. In addition, group B–E received three injections of 200 mg/kg TAA weekly for 60 days. The safety evaluation of MEAR revealed nontoxic effects at 2,000 and 5,000 mg/kg dosage in rat. TAA inoculation provoked significant hepatotoxic alterations indicated by increased hepatocyte proliferation, endothelial tissue injury, ambiguous nucleus, and elevated cytoplasmic vacuoles. TAA treatment initiated increased inflammatory response and necrosis process in different areas of hepatic tissues. Meanwhile, MEAR treatment showed significant prophylaxis against TAA-induced hepatotoxicity, supported by its suppressing actions on oxidative stress, and apoptotic and inflammatory mediators. MEAR treatment significantly down-regulated proliferating cell nuclear antigen (PCNA) in both liver and spleen parenchymal tissues, lowered pro-apoptotic Bcl-2-associated X (Bax) proteins, reduced inflammatory and redox mediators, lowered transforming growth factor-beta tissue expression and malondialdehyde content, while, increased antioxidants (superoxide dismutase, catalase, and glutathione peroxidase). The outcomes provided significant hepatoprotective potential of MEAR mediated by its modulatory effects on several cellular pathways, making it a viable source of a potent pharmaceutical discovery.

Key words: antioxidant enzymes, Arum rupicola, histology, liver cirrhosis, thioacetamide

*Corresponding Author: Ahmed A.J. Jabbar, Department of Medical Laboratory Technology, Erbil Technical Health and Medical College, Erbil Polytechnic University, Erbil 44001, Iraq. Email: [email protected]

Received: 25 July 2024; Accepted: 15 September 2024; Published: 1 October 2024

DOI: 10.15586/ijfs.v36i4.2723

© 2024 Codon Publications
This is an Open Access article distributed under the terms of the Creative Commons Attribution-NonCommercial-ShareAlike 4.0 International (CC BY-NC-SA 4.0). License (http://creativecommons.org/licenses/by-nc-sa/4.0/)

Introduction

Cirrhosis is a well-known chronic liver disease associated with an increasing global death rate, with an estimated 2 million annual deaths. Cirrhosis is associated with 4% of all death incidence (one in every 25 deaths worldwide); nearly two-thirds of all liver-linked deaths occur in men (Devarbhavi et al., 2023). Liver injury and hepatic cirrhosis develop as a result of different exogenous and endogenous factors, including toxin exposure, viral infection, alcoholism, metabolic disorder, diabetes, biliary stones, and non-alcoholic fatty liver (Martino et al., 2023). The prognosis and severity of liver disease can be different because of variability in the causative area of damaged hepatic tissue, pro-fibrogenic paths, and pro-fibrogenic myofibroblast factors (Saeed et al., 2020).

Moreover, cirrhosis characterized increased accumulation of extracellular matrix proteins (collagen) commonly found in patients with chronic liver diseases. The immune and inflammatory responses toward chronic inductions are considered a key factor in the initiation and progression of cirrhosis. At first, hepatic cirrhosis starts with liver injury induced by numerous etiological factors, initiating inflammatory infiltration, and ignition of inflammatory cascade (Ommati et al., 2020). Moreover, perisinusoidal cells (hepatic stellate cells) are converted into fibroblast-like cells capable of generating several types of collagen proteins along with laminin. Consequently, these liver protein alterations can have significant modulatory actions on the structure and functioning of hepatocytes, subsequently affecting overall liver performance (Huang et al., 2023). Transforming growth factor-β (TGF-β) is a profibrogenic cytokine that modulates different stages of chronic liver disease, with inflammation and fibrosis progressing into cirrhosis and liver carcinoma. During chemically induced liver damage, increased production of TGF-β cytokine that inturn activate many cellular pathways associated with progression of liver disease including action of TGF-β/Smad3 mechanism, which is an important mediator in non-alcoholic fatty liver disease formation from the liver fibrosis progression ( Zhang et al., 2019).

The liver is well known for its role in drug metabolism and detoxification, and thus is highly sensitive to toxic chemicals, including thioacetamide (TAA), a well-documented hepatotoxic agent capable of inducing liver damage and cirrhosis in animal models, which were comparable to humans (Salama et al., 2022). TAA can provoke oxidative stress through lipid peroxidation of liver cell membrane. A single dosage of TAA (50–300 mg/kg) is considered a strong initiator of liver necrosis around the pericentral area after its interaction with liver macromolecules, for instance, increasing the activity of pro-apoptotic Bax protein (Bcl-2-like protein) that facilitates disruption of the membrane permeability and the release of cytochrome C in damaged hepatocytes. The pharmaceutical industry has provided numerous medications to alleviate comorbidities of the liver disease, but most of these synthetic chemicals have not reached the desired maximal efficiency, thus searching continues for new alternatives, such as medicinal plants, that could give rise to new active ingredients for better management of cirrhotic patients (Salama et al., 2022).

The Arum genus is a flowering herb that belongs to the Araceae family, a native to the Mediterranean, Africa, and European countries. The Arum species are well known for their enriched phytochemicals, some of which are too toxic to humans, causing numerous irritations to the skin, tongue, mouth, and throat (Çeçen et al., 2020; Tofighi et al., 2021). Arum rupicola Boiss var. grows in rocky slope areas, reaching a height of 700–1500 m. Ethnobotanists have shown that Arum rupicola is a major food ingredient as well as a gastrointestinal tract (GIT) cleanser that can be ingested after some detoxification procedure (washing with sumac or fried Bongardia shoots) representing a unique cultural identity of the Hawramani peoples living in Iraqi Kurdistan (Pieroni et al., 2017). Moreover, to avoid its poisonous effects, leaves and rhizomes of Arum rupicola are cooked with dried mulberries, sumac, pomegranate sauce, and ground wheat. The Kardeh leaves has been used as wrapping leaves to make a traditional food “dolma” by citizens of Mardin-Turkey (Çeçen et al., 2020). Also, people living in Artuklu, Turkey, use soup of Arum rupicola as a traditional therapy for diabetes and rheumatism (Kılıç, 2020).

Recent studies have shown numerous biological potentials of this plant, such as antioxidant and cytotoxicity (against MCF-7, T47D, and breast cancer (MDA-MB-231) cells) (Tofighi et al., 2021), anti-inflammatory (Kozuharova et al., 2023), enzyme inhibitory (Kıvanç and Türkoglu, 2019), anti-bacterial (Kıvanç, 2022), and anti-helminthic properties (Atalay and Yildiz, 2023). These biological potentials are linked with its phytochemical (isoflavonoids and phenolics) possibilities in modulating several molecular pathways associated with cellular defence systems, including increasing antioxidant enzymes and lowering lipid peroxidation by-products (Kıvanç and Türkoglu, 2019; Tofighi et al., 2021). Phytochemical profiling revealed several phenols, flavonoids, and isoflavonoids as major chemical contents of Arum leaves that were correlated with their antioxidant actions (Tofighi et al., 2021). A gas chromatography–mass spectrometry (GC-MS) and high-performance liquid chromatography–time-of-flight (HPLC-TOF) investigation revealed increased phenolic and fatty acid contents (palmitic acid, stearic acid, α-glyceryl linolenate, oleic acid, phytol acetate, and behenic alcohol) of Arum rupicola extracts using five different solvents, which were mainly linked with its antioxidant actions through activation of glutathione reductase (Kılıç et al., 2020; Kıvanç and Türkoglu, 2019).

Despite its use as a traditional food and medicine in Turkey, Iran, Iraq, etc., no concise study was conducted detailing its antioxidant and anti-inflammatory effects in an experimental disease trial. Therefore, the present study investigates phytochemical, acute toxicity, and hepatoprotective effects of methanolic extracts of Arum rupicola (MEAR) in TAA-induced liver cirrhosis in rat.

Materials and Methods

Plant collection and extract

Fresh samples of Arum rupicola were collected during Spring 2024 from Zagros Mountain, Hawraman, Iraqi Kurdistan (Figure 1). The plant was authenticated by Prof. Dr. Abdullah Sh. Sardar and voucher number was obtained (7310) from Salahaddin University, College of Education, Herbarium Unite. The methanolic (95% concentration) extract of leaves (yield 4.3%) was prepared based on previous conventional techniques (Jabbar et al., 2023b).

Figure 1. The aerial parts of Arum rupicola obtained from Zagros Mountain, Hawraman, Iraqi Kurdistan.

Ethical approval

The study protocol was carried out in compliance with the Animal Research: Reporting of in vivo Experiments (ARRIVE) guidelines as well as the guidelines set by Iraqi animal rights and National scientific recommendations for laboratory animal experiments (Percie du Sert et al., 2020). The current animal procedures were agreed upon by the ethics committee of Tishk International University (BIO. #234, 3/2/2024).

Chemicals

Hepatotoxic inducer TAA and standard silymarin drug were obtained from Sigma-Aldrich (Merk, Germany). TAA was dissolved in a flask containing 10% tween 20, liquefied, and used as a stock solution. TAA solution was given to rat for 2 months by intraperitoneal injection (3 doses weekly). Reference drug (silymarin) was prepared in 10% tween 20, which was given to rat as 50 mg/kg (Ra et al., 2019).

Acute toxicity experiment

Sprague Dawley male rats (aged 7–8 weeks) weighing about 170–180 g was obtained from the Faculty of Science, Cihan University, Iraq. In all, 36 rats (both genders) were arranged into three wide-mesh wire cages (avoiding coprophagia). All animals had a standard diet and tap water for 7 days of adaptation. After that, three rat clusters underwent overnight fasting and on the next day treated as follows:

  1. A: Normal rat treated with 10% tween 20 (5 mL/kg)

  2. B: Rat supplemented with 2 g/kg of MEAR

  3. C: Rat ingested with 5 g/kg of MEAR

Rat were not allowed to have food following 3–4 h of supplementation. The animals were observed for next 48 h for any potential toxic incidence or abnormalities. After 14 days, all animals received an overdose of anaesthesia (ketamine and xylazine) and sacrificed. The intracardial blood samples were analysed for biochemical contents, and various organs were examined by histological assays with haematoxylin and eosin (H&E) staining (Wong et al., 2024).

Hepatoprotective trial

Experimental design

In all, 30 matured male rats was procured and housed in plastic cages (six animals in each cage) at a temperature of 25°C and 70% humidity, with 12-h light/dark cycle. All animals had free access to standard rodent diet and water.

The rats were clustered into five wire-mesh cages (six rats in each group) and were given the following treatments (Figure 2):

  1. Group A: Normal control rats were administered a daily dosage of 10% tween 20 (5 mL/kg) by oral gavage and received three injections (5 mL/kg) of sterile distilled water every week for 2 months.

  2. Group B: Cirrhosis rats were administered a daily dosage of 10% tween 20 (5 mL/kg) by oral gavage and injected with three intraperitoneal injections of 200 mg/kg of TAA every week for 2 months.

  3. Group C: Reference rats were administered a daily dosage of 50 mg/kg silymarin by oral gavage and injected with three intraperitoneal injections of 200 mg/kg of TAA every week for 2 months.

  4. Groups D and E: Rats were administered daily doses of 250 mg/kg and 500 mg/kg of MEAR by oral gavage and injected with three intraperitoneal injections of 200 mg/kg of TAA every week for 2 months.

Figure 2. Experimental design of hepatoprotective procedure.

After this, food was removed from rats overnight and were given anaesthesia (30 mg/kg ketamine and 300mg/kg xylazine) and sacrificed. Blood samples collected from the intracardial vein were tested for different biochemical studies and the dissected liver samples were evaluated by histopathologic techniques (Jabbar et al., 2023a).

Macroscopic view of liver

The dissected liver samples were cleaned with normal saline (cold) and dried with filter paper for estimating gross weight and gross morphological properties (Salama et al., 2018):

Liver index%=Liver weightbody weight×100

Histology of liver

Liver lobes were kept in a flask containing 10% phosphate buffered formalin for a day as a tissue fixation technique. After that, liver tissues were paraffinized in paraffin blocks using a tissue machine (Leica, Germany). Small slices (5 μm) of liver tissues were cover-slipped on slides and investigated histopathological assays using staining with haematoxylin and eosin and Masson’s trichrome stain (El-Baz et al., 2019).

Immunohistochemistry

The rat monoclonal anti-proliferating cell nuclear antigen (PCNA) antibody (PC10) and Bcl-2-associated X protein (Bax) antibody were used for PCNA and (Bax) investigations, respectively. Briefly, by utilizing poly-L-lysine-coated slides, liver sections were kept in an oven (DON-HE series, Infitek, Shandong, China) for 25 min at 60°C. After heating, xylene was used for deparaffinization, and alcohol (series-graded alcohol) was used for hydration. The antigen recovery technique was possible through 10-mM sodium citrate buffer after boiling in a microwave. The slides were coloured following manufacturer’s instructions (Sigma-Aldrich). Briefly, 0.03% hydrogen peroxide sodium azide was used for blocking endogenous peroxidase for 5 min. Liver sections were buffer-washed, cleaned, and incubated for 15 min with antibodies (PCNA and Bax; 1: 200). After careful washing and reintubation for 15 min with streptavidin conjugated to horseradish peroxidase (HRP), liver sections were incubated for 7 min with diaminobenzidine substrate chromogen and buffer-washed again for colouring with nuclear counterstain haematoxylin (5 s). Finally, tissue sections were dipped in 0.037-mol/L ammonia (for five times), cleaned, and cover-slipped for the microscopic detection of cytoplasmic brown granules and brown-coloured nuclei for the positive appearance of PCNA and Bax antigens. The staining intensity of PCNA and Bax was found by estimating the number of coloured cells divided by 1,000 hepatocytes (Ibrahim et al., 2020; Ma et al., 2015).

Liver antioxidant

Liver samples (1 g) were obtained from left liver lobes of all experimental animals and immediately transferred into 10-mL phosphate-buffered saline (PBS) solution (10%, pH 7.2) for buffering; then the mixture was moved into a homogenizer (5,000 rpm, 15 min at –4°C). The separated supernatant was transferred into a freezer (–80°C) for later use. Different antioxidant kits of catalase (CAT), superoxide dismutase (SOD), glutathione peroxidase (GPx), and malondialdehyde (MDA) were bought from Sigma-Aldrich (Jabbar et al., 2022). As a lipid peroxidation by-product, MDA level was assessed in supernatants using MDA commercial kit and the amount of reacted thiobarbituric acid (TBA) was detected.

Serum inflammatory cytokines

Inflammatory cytokines, such as tumour necrosis factor-α (TNF-α), interleukin 6 (IL-6), and IL-10, were estimated using enzyme-linked-immunosorbent serologic assay (ELISA) kits (Cusabio Biotech Co., China). Evaluation of serum cytokines was done after 2-month trial. Immunoassay analysis was conducted by following previous standard protocols presented in rat ELISA kit with slight changes (Ahmed et al., 2024a). In brief, liver tissue homogenates were centrifuged at 3000× g for 15 min and the separated supernatant was evaluated for cytokine contents. Cytokine levels were estimated based on recombinant purified standard cytokines.

Biochemistry of liver functions

Serum samples were analysed for liver enzymes (alanine transaminase [ALT], aspartate transaminase [AST], and alkaline phosphatase [ALP]), liver synthetic functions (total protein and albumin), and excretory (bilirubin) functions of the liver (Ali Abed Wahab et al., 2023).

Statistical analysis

The measures were analyzed as mean±standard error of mean (SEM). Statistical analysis was done by SPSS, One-way ANOVA, post hoc, and a significance level was set at p < 0.05. The graphs were created using the GraphPad Prism 9 software.

Results

Acute toxicity

The toxic evaluation of Arum rupicola leaves included delivery of 2 g/kg and 5 g/kg of MEAR to rats for 2 weeks. The observational procedure did not reveal any noticeable incidence of physiological alteration or mortality of supplemented rats. Furthermore, no significant variance was observed in food intake and changes in body weight in normal and MEAR-treated rats. The MEAR-supplemented rats had normal appearance without any signs of toxicity on the skin, fur, mucous membrane of the eyes, diarrhoea, tremors, or salivation. The serum biochemical profile was comparable in terms of liver and kidney parameters between normal and MEAR-treated rats. Gross evaluation at autopsy and histopathological investigations of different organs coloured with H&E stain showed comparable tissue structure arrangements for normal and MEAR-treated rats (Tables 1 and 2, and Figures 3A–C). The outcomes expected the toxic dose of MEAR to exceed 5 g/kg.

Table 1. Effects of MEAR supplementation on liver function test (LFT).

Animal groups ALP (IU/L) ALT (IU/L) AST (IU/L) T. Bilirubin (μmol/L) T. Protein (g/L) Albumin (g/L)
Group A 84.2±5.1 39.4±4.3 60.4±4.7 1.63±0.09 79.4±4.2 27.7±4.5
Group B 77.8±5.2 46.8±3.0 65.4±4.6 1.42±0.09 68.8±3.4 24.6±3.7
Group C 74.5±4.2 38.4±3.2 63.4±4.7 1.50±0.08 73.5±4.7 28.5±3.3

Group A: normal cluster received 10% tween 20; Groups B and C rats ingested 2 g/kg and 5 g/kg MEAR, respectively.

Table 2. Kidney function parameters.

Animal groups Sodium mmol/l Potassium mmol/l Chloride mmol/l Urea mmol/l Creatinine μmol/l
Group A 152.4±4.3 6.8±1.7 110.8±4.4 4.7±0.5 45.2±4.8
Group B 148.9±3.8 5.9±3.2 123.8±4.5 5.2±1.1 40.1±4.9
Group C 149.2±4.8 5.5±1.6 104.9±3.3 5.1±0.5 43.9±3.4

Group A: normal cluster received 10% tween 20; Groups B and C rats ingested 2 g/kg and 5 g/kg MEAR, respectively.

The present estimation of the liver (Table 1) and kidney (Table 2) parameters found nonsignificant changes in supplemented (2 g/kg and 5 g/kg MEAR) rats, compared to normal controls.

The present oral supplementation of 2 g/kg and 5 g/kg MEAR to rats revealed nonsignificant alteration in kidney function parameters and kidney histological structure, compared to the values of normal control rats (Table 2 and Figure 3).

Figure 3. Microscopic presentation of liver and kidney tissues of experimental rats. (A) Normal controls fed with 10% tween 20; (B) rats ingested 2 g/kg MEAR; (C) rat ingested 5 g/kg MEAR. Nonsignificant changes are observed in the alignment of kidney and liver histological layers of normal control and MEAR-treated rats. Kidney tissues appeared as normal Bowman’s capsule with glomeruli (yellow double head line) and adequate interlobular blood vessels; yellow asterisk: distal convoluted tubule; and black star: proximal convoluted tubules. The hepatic tissues appeared with central vein (green asterisk); Kupffer cell (blue arrow), and normal liver cell with circular nucleus (gray arrow) for all experimental rats (H&E staining, 20×). Yellow arrow: sheets of hepatocyte; orange star: glomerulus; green star: Bowman’s space (H&E staining, 40×). PCT: proximal convoluted tubules; DCT: distal convoluted tubules.

Hepatoprotective potential of MEAR

Body and liver masses

The present data analysis showed significant variation in body weight (BW) and liver weight of clustered rats because of different treatment strategies. The normal control rats as expected had significantly higher body weight (315.2 g) compared to treated rats. The cirrhosis control rat (10% tween 20+TAA) exhibited noticeably the lowest body weight (171.3 g), compared to that, of normal control (315.2 g), silymarin (294.5 g), 250 mg/kg (231.9 g), and 500 mg/kg (276.2 g) MEAR-treated rats. Moreover, the present supplementation with MEAR (500 mg/kg) caused significant retention of body weight in TAA-induced hepatoxic rats, which was comparable to that of reference drug (silymarin)-treated rats (Table 3).

Table 3. Effect of MEAR on body parameters of rats administered TAA hepatotoxic compound.

Groups Body weight (gm) Liver weight (gm) Liver index
LW/BW %
A 315.2±3.4a 8.2±0.3a 2.60
B 171.3±3.8d 11.2±0.2d 6.53
C 294.5±3.2b 10.8±0.3c 3.66
D 231.9±3.1c 9.3±0.4b 4.01
E 276.2±4.3b 9.7±0.3b 3.51

Notes. Values with the same superscripted letters in columns mean nonsignificant variance at p < 0.05. A: normal control; B: rats had only TAA intraperitoneal injection; C: rats had TAA+silymarin; D: rat had TAA+250 mg/kg MEAR; and E: rats had TAA+500 mg/kg of MEAR.

The liver weightiness of treated rats, following different oral and intraperitoneal injections, varied significantly. The normal control animals showed usual normal liver weight (8.2 g) and liver index values (2.60%), which were significantly lower compared to that of TAA, silymarin, or MEAR-treated rats. The cirrhosis control rats showed noticeably increased liver weight (11.2 g) and liver index value (6.53%), which were statistically higher than the values for normal control (8.2 g and 2.60%, respectively), silymarin- (10.8 g and 3.66%, respectively), 250 mg/kg MEAR- (9.3 g and 4.01%, respectively), and 500 mg/kg MEAR-treated (9.7 g and 3.51%, respectively) rats. Moreover, rat supplemented with 500 mg/kg of MEAR showed similar liver weight and liver index value, compared to the values of silymarin-treated rats (Table 3).

Microscopic results

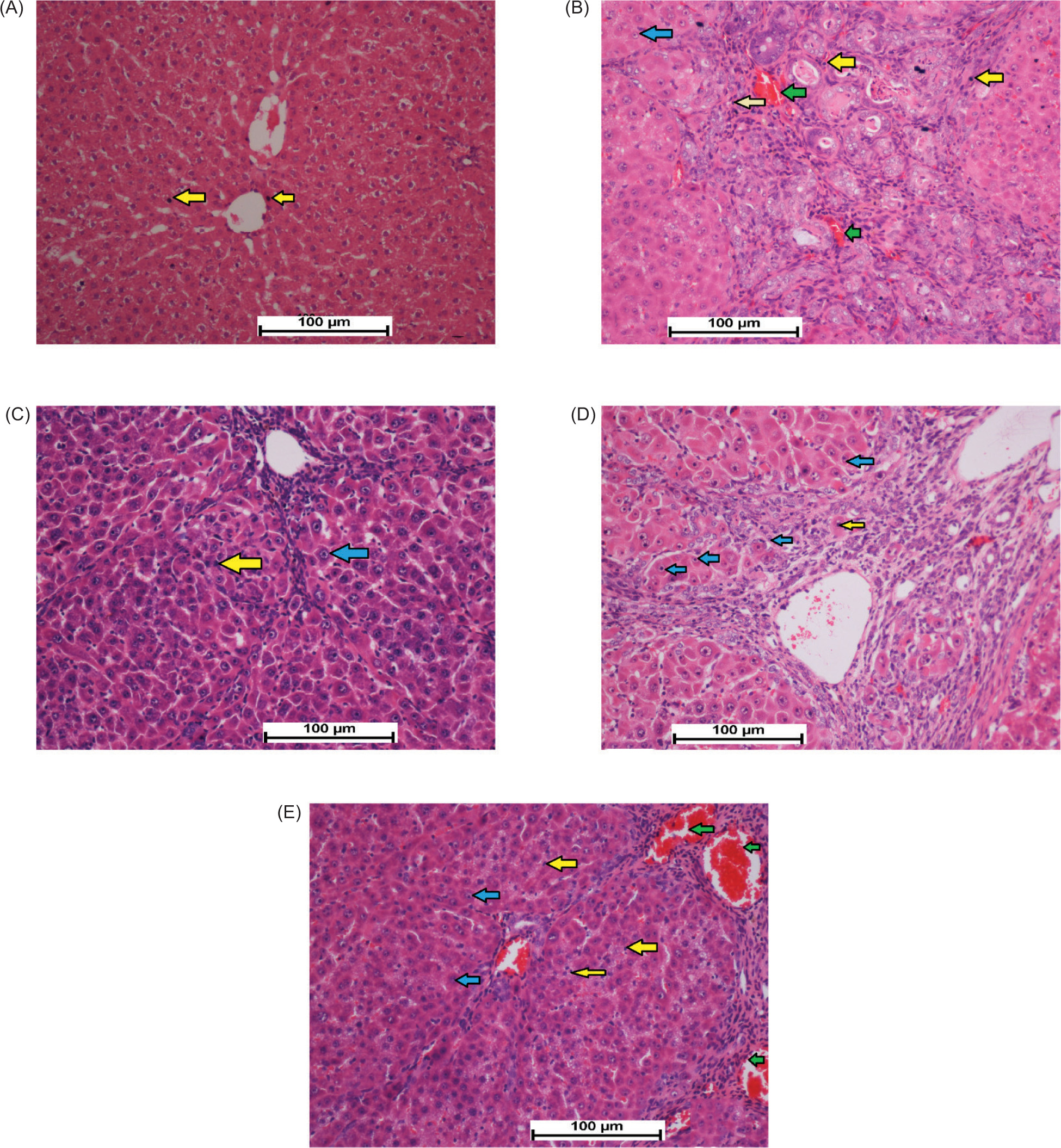
The histological characterization of liver dissected from experimental rats showed different levels of tissue surface alterations because of delivery of TAA and different treatment strategies (Figure 4). Normal controls (A) showed intact liver tissues with the usual criteria of cellular arrangement liver tissues without any signs of inflammation or necrosis. However, the TAA control rats (B) disclosed severe liver tissue damage represented by endothelial tissue injury, ambiguous nucleus, and elevated cytoplasmic vacuoles, all of these denoting severe inflammation and tissue necrotic condition. Moreover, the parenchymal layers were seriously altered as a result of fibrous septa that adjust collagen bond in hepatic triangles, denoting various micro- and macro-nodules in liver cells. These nodules were found inside bundles of connective tissues that separate the liver into several lobules, accompanied by increased inflammation rate and hepatic necrosis. The silymarin-treated rats (C) revealed noticeable protective effect against TAA hepatotoxicity shown by inflammatory cell infiltration, fewer centrilobular tissue necrosis, and clearer round nucleus, compared to cirrhosis controls. Moreover, hepatic lobules were more organized and capillary veins were distributed across connective tissues. The MEAR-treated rats (group D: 250 mg/kg; and group E: 500 mg/kg) had resisted the TAA-induced hepatic damage shown by fewer tissue necrosis in centrilobular, fewer cirrhosis scores, less nucleus and tissue cirrhosis, and reduced vacuolization, which were significant compared to group B (cirrhosis rats) but not as significant as in silymarin-treated rats. Moreover, MEAR treatment led to less tissue penetration, fewer necrotic zones, and higher parenchymal cell regeneration (endothelial and sub-endothelial layers) in TAA-induced hepatotoxic rats (Figure 4, H&E staining).

Figure 4. Histology of liver stained with hematoxylin and eosin. (A) Normal rats showed usual tissue structure arrangement. (B) TAA control rats showed increased cellular proliferartion and inflammatory area. (C) Rats received TAA+50 mg/kg silymarin and had reduced hepatic injury shown by fewer micronodules, fewer fibrous septa, and the lowest collagen deposition (green area). (D) Rats had TAA+250 mg/kg MEAR and showed moderate hepatic damage represented by reduced inflammation and the lowest cellular proliferation, compared to the treated groups. (E) Rats received TAA+500 mg/kg MEAR and revealed similar hepatic structural arrangement, compared to that of silymarin-treated rats, which were shown with fewer surface lower inflammatory infiltrations, and lower tissue layer disorganization, compared to the TAA control rats. Nikon microscope (Y-THS, Japan), 20× magnification. Central vein (green arrow); hepatic round cells with cytoplasm (blue arrow); and Kupffer cells (yellow arrow).

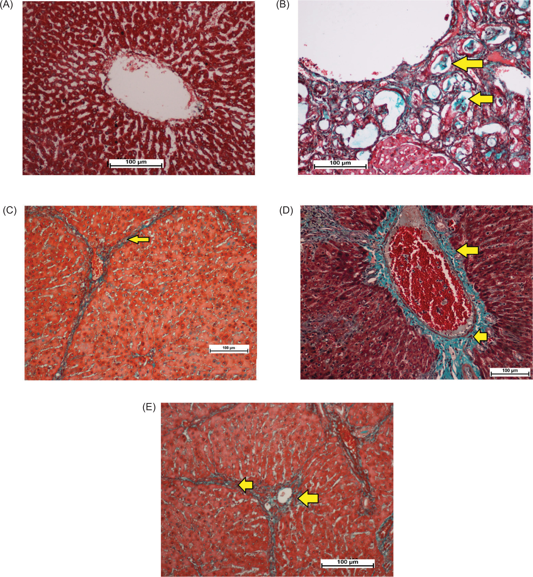
The histological evaluation of liver tissues by Masson’s trichrome stain showed different collagen deposition in different treated rat groups (Figure 5). The liver tissue sections of normal control rat (A) had no obvious signs of collagen depositions. The TAA control rats (B) exhibited increased collagen deposition around the central vein, indicating severe structural liver damage. Silymarin-treated rats (C) had very reduced collagen deposition, denoting the lowest hepatic cirrhosis. Rat that ingested 250 mg/kg of MEAR (D) showed moderate collagen deposition and moderate congestion of the central vein. Rats that ingested 500 mg/kg of MEAR (E) had mild collagen deposition and mild congestion around hepatic central vein. MEAR or silymarin suppressed inflammation, mononuclear cell aggregation, necrotizing hepatocytes, and fibrous proliferation induced by TAA in connective tissues. Accordingly, liver tissue structure maintained their normal lobular arrangement. The results validated the protective effect of MEAR or silymarin in negating the effect of TAA-induced hepatotoxicity. The histological evaluation of liver tissues of rats that ingested MEAR showed lowered grades of cirrhosis, less necrotized tissue area, less vacuoles in cytoplasm, and less nucleic alterations.

Figure 5. Histological view of liver tissues stained with Masson’s trichrome. (A) Normal control rats. (B) Fibrotic rats showed increased elongated bile duct, large size fibrous septum, and increased collagen deposition about the central vein (yellow arrow). (C) Rats that received TAA+50 mg/kg silymarin had reduced hepatic injury shown by small fibrous septa and very decreased collagen deposition. (D) Rats that had TAA+250 mg/kg MEAR showed moderate hepatic damage represented by less tissue disruption, reduced inflammation, and lower collagen deposition, compared to group (B) rats. (E) Rats received TAA+500 mg/kg MEAR revealed similar hepatic structural arrangement, compared to that of silymarin-treated rats.

Immunohistochemical protein expression

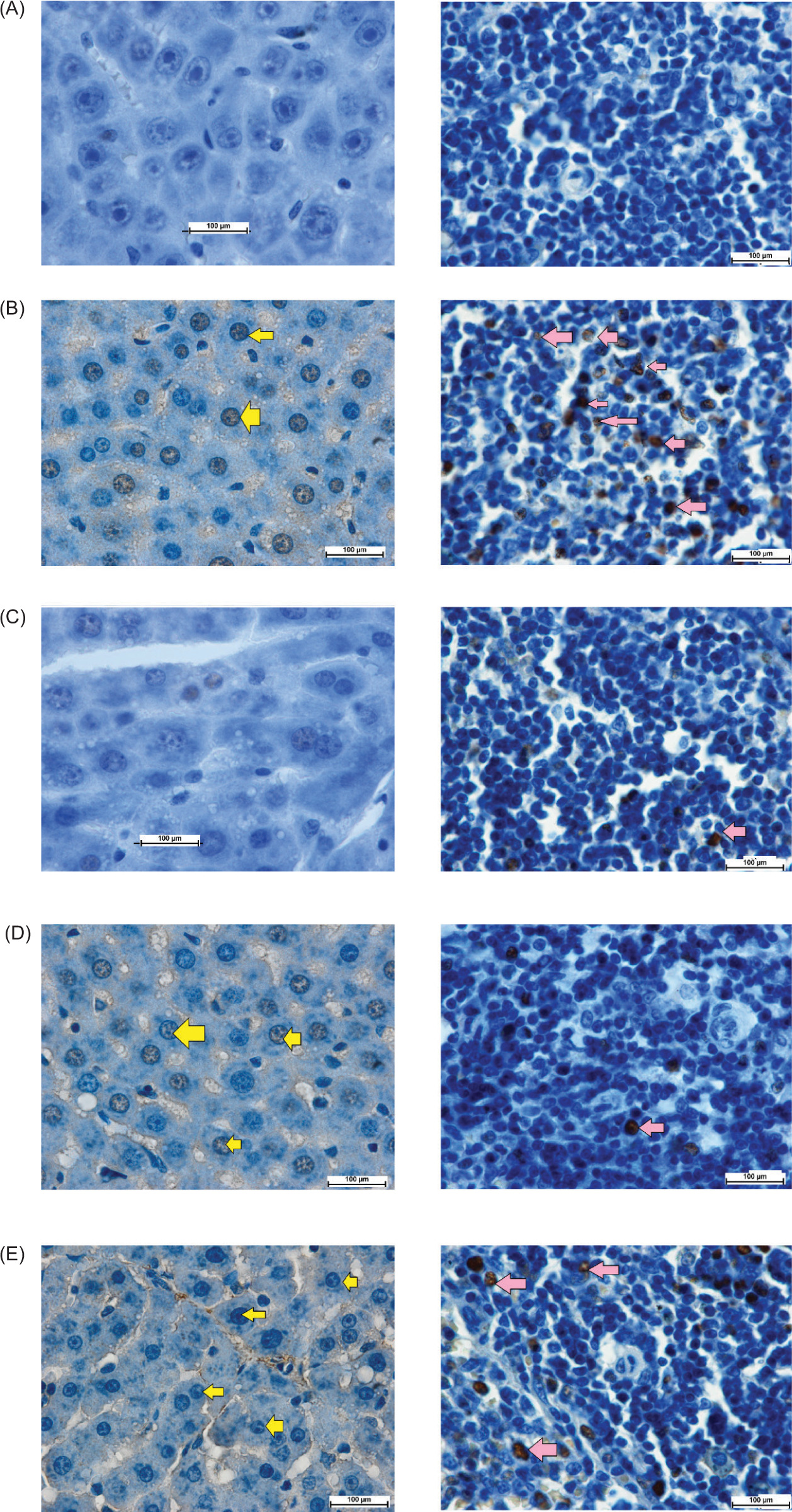
The impact of MEAR on cellular proliferation in TAA-induced hepatotoxicity in rats was evaluated by using immunostaining of PCNA in hepatic and spleen tissues utilizing anti-PCNA antibody. Normal control rats revealed absence of any cell renewal in their liver or spleen tissues, represented by the absence of any PCNA expression. The TAA control rats showed increased cellular proliferation, mitotic action (cells with continuous cell cycle), and numerous necrotic cells, indicating dissemination to the restoration of extensive liver and spleen tissue damage-induced by TAA intoxication. MEAR or silymarin supplementation caused negative modulation of mitotic action, decreased necrotized hepatocytes and spleen cells, and significantly lowered cell proliferation, shown by decreased intensity of PCNA staining (Figure 6). These outcomes suggest that the hepatoprotective actions of MEAR could be through down-regulation of apoptotic action (cells undergo programmed cell death because of cleaving of special nucleic or cytoplasmic proteins called caspases) in hepatic cells and attenuation of TAA-mediated cellular proliferations.

Figure 6. Effect of MEAR on the proliferating cell nuclear antigen (PCNA) expression of liver and spleen tissues. (A) Rats received 10% tween 20+distilled water and had no signs of PCNA staining. (B) TAA control rats treated with distal 10% tween 20+TAA showed severe liver cirrhosis with increased intensity of PCNA staining (yellow arrow) and increased PCNA in spleen cells (pink arrow). (C) Rats that received 50 mg/kg silymarin+TAA revealed less PCNA-stained liver cells, indicating hepatic cellular proliferation. (D) Rats treated with 250 mg/kg MEAR+TAA had moderate cellular propagation shown by moderate PCNA expression in their liver and spleen cells. (E) Rats that ingested 500 mg/kg of MEAR+TAA injection showed minor regeneration of liver and spleen cells shown by reduced PCNA expression. Nikon microscope (Y-THS, Japan), 20× magnification.

Bax expressions of liver tissues obtained from experimental rats are shown in Figures 7A–E. Hepatocytes from TAA-control rats had increased Bax protein appearance, indicating increased apoptosis and further enhancement of cellular proliferation in injured liver tissue (Figure 7B). Silymarin-treated rats showed reduced expression of Bax protein, indicating less apoptotic rate in liver tissue (Figure 7C). MEAR-treated rats (250 and 500 mg/kg) (Figures 7D and E) revealed decreased Bax protein appearance in their liver tissues than in the TAA control rats. The outcomes provided scientific evidence on hepatoprotective effects of MEAR against TAA-mediated liver injury by lowering apoptosis and slowing cell proliferation.

Figure 7. Bax protein expressions in different treated rats. (A) Normal control rat revealed less apoptosis indicated by reduced Bax positive (yellow arrow) hepatocytes. (B) TAA control rats revealed increased Bax proteins, denoting increased apoptotic action. (C) Silymarine-treated rats showed moderate expression of moderate Bax staining, indicating moderate apoptosis. (D) and (E) MEAR-treated rats had significantly decreased expression of Bax proteins in their liver tissues, indicating reduced apoptotic actions that eliminate TAA-injured hepatocytes.

The present study revealed different levels of hepatic cell proliferation based on the TGF-β expression in liver tissues. The normal control rats showed absence of TGF-β intensity in their liver tissues, while the TAA control rats presented intensive expression of TGF-β cytokines, indicating increased inflammatory and immune response, cellular differentiation, proliferation, and apoptotic actions mediated by cytotoxic TAA. Rats treated with silymarin or MEAR (250 and 500 mg/kg) showed significantly less cellular revitalization and mitotic index, compared to TAA control rats, denoted by reduced TGF-β expression in their hepatic tissues. Rats that ingested 500 mg/kg MEAR showed significant down-regulation of TGF-β1, representing lower fibrotic action and reduced cellular propagation (Figure 8).

Figure 8. Effect of MEAR supplementation on the expression of TGF-β1 in TAA-induced hepatotoxicity. (A) Rats that received 10% tween 20+distilled water had no signs of TGF-β1 expression. (B) TAA control rats treated with distal 10% tween 20+TAA showed severe liver cirrhosis with increased cell proliferation (yellow asterisk). (C) Rats that received 50 mg/kg silymarin+TAA down-regulated TGF-β1 expression. (D) Rats treated with 250 mg/kg MEAR+TAA had moderate cellular propagation shown by moderate TGF-β1 expression. (E) Rats that ingested 500 mg/kg of MEAR+TAA injection showed minor regeneration of liver cells shown by reduced TGF-β1 expression. Nikon microscope (Y-THS, Japan), 20× magnification.

Effect of MEAR on liver antioxidants

The present data analysis showed significant difference in tissue antioxidants as a result of TAA injection and different treatment strategies. Normal rat group showed normal intensity of antioxidant enzymes and non-enzymatic (MDA) content in their liver tissue homogenates represented by SOD (12.93 U/mg), CAT (40.79 nmol/min/mL), GPx (10.01 CAT nmol/min/mL), and lower MDA content (1.26 U/mg), compared to other experimental rats. The TAA control rats showed the lowest antioxidant enzymes (SOD, 9.19 U/mg; GPx, 7.36 CAT nmol/min/mL; CAT, 21.30 nmol/min/mL), and the highest MDA (6.97 U/mg) levels in their hepatic tissue homogenates. The MEAR (250 and 500 mg/kg) treatment caused significant positive modulation of tissue antioxidants and negative regulation of lipid peroxide indicator (MDA) in hepatic tissues shown by higher SOD (13.85 and 14.10 U/mg), GPx (18.5 and 26.81 nmol/min/mL), and CAT (33.49 and 35.63 nmol/min/mL), and lower MDA values (3.22 and 3.06 U/mg), but not as significant as silymarin-treated rats (SOD, 17.21 U/mg; GPx, 37.08; CAT, 29.16 nmol/min/mL; MDA, 2.12 U/mg, respectively) (Figure 9).

Figure 9. Effect of MEAR on hepatic antioxidant enzymes and non-enzymatic content in TAA-mediated cirrhosis in rats. (A) Rats received 10% tween 20+distilled water; (B) Fibrotic rats treated with 10% tween 20+TAA. (C) Rats received 50 mg/kg silymarin+TAA. (D) Rats treated with 250 mg/kg MEAR+TAA. (E) Rats ingested 500 mg/kg of MEAR+TAA injection.

Inflammatory cytokines

The serum inflammatory cytokines were significantly altered as a result of TAA injection and different treatments. As expected, normal control rats showed significantly reduced serum anti-inflammatory chemicals and higher anti-inflammatory mediators compared to other experimental rats. The TAA control rats exhibited severe inflammatory conditions, indicated by increased TNF-α (645 pg/mL) and IL-6 (435 pg/mL) and the highest IL-10 cytokine levels (94.6 pg/mL) than in other treated groups. The levels of TNF-α, IL-6, and IL-10 were improved in silymarin- (TNF-α, 146.90; IL-6, 157.5; and IL-10, 216.5 pg/mL) and MEAR 250 mg/kg- (TNF-α, 214.5; IL-6, 189.8; and IL-10, 182.4 pg/mL) and 500 mg/kg-treated (TNF-α, 187.1; IL-6, 184.2; and IL-10, 192.7 pg/mL) rats, which were statistically far away from that of TAA control rats. The present supplementation of MEAR caused significant improvement in the serum inflammatory profiles of TAA-mediated hepatotoxic rats (Figures 10A–E).

Figure 10. Effect of MEAR on serum inflammatory markers in rats exposed to hepatotoxicity. (A) Rats had 10% tween 20+distilled water. (B) TAA control rats treated with 10% tween 20+TAA. (C) Rats received 50 mg/kg silymarin+TAA. (D) Rats treated with 250 mg/kg MEAR+TAA. (E) Rats ingested 500 mg/kg of MEAR+TAA injection. Induction of TAA significantly up-regulated serum inflammatory mediators, while silymarin or MEAR treatment resisted TAA-mediated alterations in inflammatory mediators, subsequently resulting in less liver tissue damages compared to TAA control rats.

Effects of MEAR on liver biochemistry

The serum profile of liver parameters revealed significant variation as a result of TAA injection and various treatments in experimental rats. Normal control rats had usual liver synthetic and enzymatic production. The TAA control rats showed significant enzyme leakage and reduced protein production (albumin) as a result of heavy hepatic injury mediated by TAA. The liver synthetic and excretory functions were restored following silymarin or MEAR treatments, denoted by higher liver protein content (albumin) and lower AST, ALT, bilirubin, and ALP levels in their serum samples, compared to that of TAA control rats (Table 4). MEAR supplementation showed significant resistant against TAA-induced hepatotoxicity to the point of almost normalized estimated liver parameters (Table 4).

Table 4. Effects of MEAR supplementation on liver biochemical parameters in rats.

Groups ALP (IU/L) ALT (IU/L) AST (IU/L) Total bilirubin uM Protein (g/L) Albumin (g/L)
A 95.32±3.3a 66.8±3.4a 166.2±4.6a 2.4±0.4a 65.2±2.8a 12.3±1.2a
B 236.4±3.5c 203.5±4.8c 310.8±3.5c 7.9±1.2c 53.2±2.4c 7.7±0.9c
C 125.4±3.4b 74.4±3.7b 182.3±4.2b 5.6±0.6b 64.7±3.5b 12.4±1.5b
D 181.1±3.2b 84.1±3.4b 210.4±3.8b 7.4±0.7b 60.3±2.4b 10.2±1.6b
E 148.1±3.8b 75.6±3.1b 199±3.5b 5.6±0.9b 61.4±2.2b 11.7±1.7b

Data are presented as Mean ± SEM. A: rats received 10% tween 200+distilled water; B: rats treated with 10% tween 20+TAA; C: rats received 50 mg/kg silymarin+TAA; D: rats treated with 250 mg/kg MEAR+TAA; and E: rats ingested 500 mg/kg of MEAR+TAA injection. Values with the same superscripted letters in columns were nonsignificant at p<0.05.

Discussion

The toxicity evaluation of herbal medicine is an indispensable procedure to ensure the safety utilization of any plant with therapeutic interests. Laboratory animals (rats) are sensitive to toxic materials present in plants and their extracts; therefore, oral ingestion of increased dosage of these extracts provides a scientific evaluation of its toxicity limits. The toxicity procedure usually includes two doses, irrespective of gender, considering various factors, such as age, weight, diet, species, and environmental conditions (Ahmed et al., 2024b). Previous ethnobotanical studies on Arum rupicola confirmed that touching and consumption of raw parts of this plant can lead to toxicity and irritation to skin, mouth, and stomach, resulting in breathing problems, burning sensation, and stomach ache. However, after some detoxification and cooking with sumac and pomegranate sauce, the plant is safe to use (Kılıç et al., 2020; Yeşil et al., 2019). The present study revealed absence of any toxic damage or physiological alterations in rats that ingested 2,000 mg/kg and 5,000 mg/kg of MEAR. Previous data confirmed that the Arum species could have raphides (needle-shaped crystals) of insoluble calcium oxalate and other toxic chemicals; therefore, its use as a medicinal and biological ingredient must be done with caution (Kozuharova et al., 2023). Accordingly, a 2-week acute toxicity trial reported nontoxic effects of Arum Cyrenaicum, which were given orally as a 2,000 mg/kg dosage to laboratory animal models (both males and females) (Ramadan et al., 2012). In contrast, a 4-week toxicity trial reported significant toxic damage (histological and biochemical alterations) in albino rats ingested with ethanolic leave extract (250 and 500 mg/kg) of Arum palaestinum (Al-Qudah, 2016). However, oral ingestion of aqueous and hydro-alcoholic extracts (200 and 400 mg/kg) of Arum conophalloides did not cause any significant alterations in biochemical, histological, or expression of miR-122 in liver and kidney tissues of animal models (Derakhshanfar et al., 2019).

As in the case of most plants, studies recommend use of Arum plant only under guidance of health professionals and must be avoided in pregnancy, and stomach and intestinal disorders (Azab, 2017). Review of available literature established lack of sufficient evidence linked to serious adverse effects following ingestion of Arum rupicola in humans. However, future animal and human investigations are required to determine its potential downsides.

In order to delineate pathway and discover potential treatment, we used animal models of liver injury. Intraperitoneal injection of TAA is considered as the most widely used drug for evaluating hepatoprotective potentials of natural extracts (Zhang et al., 2019). Even TAA-mediated liver injury is rare, other pathogenic injurious agents such as bacteria, virus, and drugs can initiate numerous liver diseases. TAA is a well-documented hepatotoxic agent capable of inducing liver damage and cirrhosis in animal models, comparable to that of humans (Salama et al., 2022). Potential of TAA in the stimulation of liver cirrhosis has been correlated with its negative modulatory actions on hepatic antioxidant enzymes and non-enzymatic content, enhancing oxidative stress, lipid peroxidation, and initiation of hepatic necrosis (Ra et al., 2019). However, scientists declared a significant protective role of endogenous antioxidants against TAA-mediated liver injury (Keshk et al., 2019).

The present hepatotoxic trial showed significant potential of TAA in inducing hepatotoxicity after two intraperitoneal injections weekly for two-months to adult rats. The TAA control rats showed significantly lower body weight and higher liver index values, compared to other treated rats. Moreover, TAA control rats showed an increased hepatomegaly condition, which could be linked to increased fat aggregation because of deterioration of hepatocytes. This TAA cytotoxicity was similar to the previous findings regarding the negative modulation of TAA on liver–body weight ratio in hepatotoxic rats (Ghanim et al., 2021). In contrast, rats that ingested silymarin or MEAR (250 and 500 mg/kg) had body weight and liver weight almost near to normal values; this resistant effect of MEAR against TAA could be correlated with its reported phytochemical profile (isoflavonoids and flavonons) (Tofighi et al., 2021). The present liver protective action of Arum rupicola leaves was similar to those reported in previous studies, proving significant hepatoprotective effect of methanolic Arum dioscoridis (2 mL/kg/day) in TAA-induced hepatotoxic animal models; this was mainly linked to its isoflavonoid and phenolic (vitexin, eriodictyol, ferulic acid, and naringin) potentials in the modulation of antioxidant and anti-inflammatory mechanisms (Sökmen et al., 2023).

The histological evaluation (H&E) of hepatic sections dissected from TAA control rats revealed extensive damage, recognized by fatty degeneration, severe necrosis, sinusoidal dilatation and congestion, proliferation of bile duct, centrilobular necrosis, and collagen bundles around lobules, subsequently thickened fibrotic septae causing further disruption of cellular architecture. Moreover, the TAA control group exhibited increased collagen deposition around central veins (using Masson’s trichrome stain), denoting significant modulation of membrane permeability of liver cells. Rats ingested silymarin or MEAR (250 and 500 mg/kg) had significant liver recovery from TAA hepatotoxicity and the hepatic architecture was noticeably improved with fewer hepatocyte injuries shown by narrow fibrotic septae, fewer necrosis, elevated bile ducts, and increased amount of Kupffer cells (KCs) and fat-storing cells.

Moreover, collagen deposition (Masson’s trichrome stain) was significantly lower in silymarin- or MEAR-treated rats, compared to TAA control rats. Similarly, studies showed significant preventive chemically induced hepatotoxicity after orally ingestion of 100 and 200 mg/kg of methanolic extract of Arum rupicola, represented by normal architecture of liver tissues and cells with obvious cytoplasm and normal large nuclei, compared to TAA control rats (Akther et al., 2014). Similarly, oral and intraperitoneal intake of 2 mL/kg of Arum dioscoridis restored liver histological alterations (cellular necrosis, red blood cell congestion, vacuole degeneration, and fat droplets deposition and pyknosis) in methotrexate-mediated hepatotoxic rat (Sökmen et al., 2023).

PCNA immunoreactivity has been abundantly used for estimating cellular proliferations in normal, proliferative and cancerous livers in rat models (Cardano et al., 2020). Cell proliferation is an important step in any cellular regeneration response toward injurious agent and is considered as a pivotal factor for cancer initiation (Akcakavak et al., 2024; Ozdemir et al., 2022). The present study evaluated hepatic tissues based on their expression of different immunohistochemical proteins (PCNA and Bax), which were noticeably found varied between different treated rats. PCNA proteins in hepatic tissues obtained from TAA controls showed an increased rate of cirrhosis, cellular proliferation, and reduced tissue regeneration. Rats who received silymarin or MEAR (250 and 500 mg/kg) showed significantly reduced appearance of these two proteins in their liver tissues, indicating less fibroblast formation and cellular proliferation. Accordingly, researchers have shown the modulatory effects of Arum maculatum on various tissue proteins and cellular processes (Sakul et al., 2023). Researchers have shown significant anti-apoptotic effects of Arum palaestinum Boiss (methanol and aqueous extracts), showing its delaying effect on cell cycle (especially in S phase) via decreased cell proliferation rates; the effect of aqueous fraction was most noticeable in a delay in S phase. The methanolic flower extract provokes cells in G2-M phase, denoting anticancer potentials of this plant. Such biological potentials are linked with its phytochemical constituents, namely phenolic compounds, alkaloids, glycosides, flavonoids, tannins, and terpenoids (Dwikat et al., 2023).

Bax protein is a pro-apoptotic protein that acts as a core modulator of the intrinsic mechanism of apoptosis. Bax proteins are activated during apoptotic initiation and become oligomerized at the outer membrane of the mitochondria facilitatating its Cytochrome C release, an important step in apoptosis. Immunohistochemical techniques for evaluating Bax expression are considered to be an effective way to estimate the rate of apoptotic actions (Kazak et al., 2024).

In the present study, TAA control rats revealed increased Bax expression, indicating elevated apoptosis and enhanced cellular proliferation in injured liver tissues. MEAR treatment caused significant down-regulation of Bax protein in their hepatic tissues, suppressing apoptotic actions in the hepatocytes (Ahmed et al., 2024b). Such immunomodulatory actions of MEAR could be attributed to its phytochemical profiles (polyphenols and flavonoids). Accordingly, numerous researchers declared the modulatory potential of Arum species regarding their anti-apoptotic and cytotoxic effects in different in vitro and in vivo trials (Cole et al., 2015). Moreover, distilled water extract of Arum rupicola leaves showed increased potential, consistent anti-apoptotic, and anti-motility actions on SK-HEP-1 endothelial cells (Kunter et al., 2019).

The pathogenesis of fibrosis includes different signaling pathways mediated by inflammatory mediators, growth factors, and immunomodulators, such as TGF-β1. TGF-β1 is considered as the most important pro-fibrogenic cytokine in initiation of fibrosis and numerous physiological pathways; therefore, understanding molecular pathways associated with TGF-β1 is an essential step toward therapeutic inventions. The TGF-β1 signaling pathway has been investigated concerning the suppression of liver disease progression. Although, alteration of TGF-β signaling in various short-term rat models has shown promising outcomes, incidence and progression of liver diseases in humans occur in multiple steps and for longer periods in which TGF-β-linked mechanisms can have positive or negative outcomes (Lv et al., 2024). TGF-β1 modulates aggregation of extra-cellular matrix by different mechanisms based on the severity of liver injuries (mainly hepatic stellate cells). After acute liver damage mediated by chemicals (TAA), TGF-β1 stimulates collagen synthesis by provoking hepatic stellate cells by Smad pathways, as shown in TAA rat model. The present histological examination revealed that TAA increased TGF-β1 expression; previous reports showed TAA efficacy in the positive modulation of TGF-β1 in liver tissues in different rat trials (El-Baz et al., 2019; Ramos-Tovar et al., 2018). Such elevated TGF-β1 suppression restored to normal levels and less histological alteration was found following oral ingestion of MEAR (250 and 500 mg/kg). Inhibitory effects of MEAR on TGF-β1 could be attributed to its chemical profiles (isoflavonoids and flavonons), which were repeatedly proven to be effective suppressors of this pro-fibrogenic cytokine (Li et al., 2022; Shu et al., 2022).

Endogenous antioxidants (SOD, CAT, and GPx) in liver homogenates are well-known indicators to determine the rate of oxidative stress related to the increased incidence of liver damage (Lee et al., 2024). The present results revealed elevated rates of oxidative damage in TAA control rats shown by the decreased levels of antioxidants (SOD, CAT, and GPx) and increased amount of endogenous MDA contents in hepatic tissues, which stimulate inflammation cascade and further liver tissue damage, as shown by Hamidpour et al. (2017) and Zafar et al. (2023). Accordingly, studies discovered significant stimulatory potentials of TAA in the initiation of reactive oxygen species (ROS) in hepatocytes, which could be one of the mechanisms by which TAA leads to tissue necrosis and liver cirrhosis (Ejiofor et al., 2022). Silymarin or MEAR treatment was very effective in the positive modulation of tissue antioxidants and negative regulation of MAD levels, denoting lower oxidative tissue damage, which could be correlated with lower TAA-mediated hepatotoxicity in those groups, compared to TAA control rats. Similarly, in vivo trials showed increased potentials of Arum rupicola extract (100, 200 and 400 mg/kg), indicated by up-regulation of antioxidant markers (SOD, CAT, and GPx) and decreased MDA levels in streptozotocin-mediated diabetic rats (Özok and Güneş, 2019). Moreover, methanol extracts of Arum rupicola leaves exhibited increased antioxidant power (163.62 mmol FeSO4/100-g extract), which was linked with its phenol (135 µmol Gallic acid/g extract) and isoflavonoid (genistein, orobol, and genistein 8-c-glucoside) (Tofighi et al., 2021).

Chronic Inflammation and increased cytokine secretion trigger the gradual scaring damage of the liver, subsequently causing liver cirrhosis. TNF-α, IL-1β, and IL-6 are pro-inflammatory cytokines that are well known for their enhancing role in the progression of cirrhosis through modulation of various cellular processes, including lipid metabolism, biliary system obstruction, positive and negative acute phase proteins, and progression of cirrhosis (Zhang et al., 2024).

The inflammatory cytokine production is thought to be regulated by the transcription of nuclear factor-kappa B (NF-kB). Moreover, NF-κB serves as a central factor that can modulate inflammation, cell differentiation or proliferation, and oxidative stress-related disorders. It can be stimulated by diverse factors and a complex network of cellular mechanisms, including inflammation cascade, thus forming a cycle of auto-regulation that can amplify inflammatory response for a prolonged time (Laila et al., 2019). Therefore, the estimation of inflammatory cytokines can be a valuable tool for better monitoring inflammatory-related disorders, including liver cirrhosis.

The immune system can be seriously altered following delivery of TAA by either intraperitoneal or intravenous injections (Akhtar and Sheikh, 2013). Immune defence factor is another physiological regulator that is modulated by chemical administration, alcohol, diet, stress, etc. TNF-α and IL-6, as pro-inflammatory cytokines, are usually increased and IL-10 as anti-inflammatory cytokines is significantly down-regulated during TAA administration, subsequently leading to free radical aggregation and oxidative tissue damage (Aslam et al., 2022).

In the present study, TAA control rats had significantly elevated serum inflammatory cytokines and reduced anti-inflammatory cytokines compared to all experimental rats, which consequently facilitate further liver injury and delayed healing process. Silymarin or MEAR supplementation encompassed significant immunomodulated potentials shown by increased capacity to interfere with proinflammatory markers, which decreased TNF-α and IL-6 and increased IL-10 cytokines, compared to TAA control rats. Accordingly, supplementation with Arum dioscoridis extract caused significant improvement in the inflammatory status of acetic acid-induced ulcerative colitis in Wistar Albino female rats, denoted by lower pro-inflammatory cytokines and higher anti-inflammatory chemicals (IL-10), compared to positive ulcerative controls (Ağaoğlu et al., 2022). Similarly, the immunomodulatory activities of Arum species and their phytochemicals (isoflavonoids and phenolics) are demonstrated by numerous studies (Khalaf et al., 2015; Pisoschi et al., 2024).

The serum biochemical parameters, including liver enzymes (ALP, ALT, AST, and GGT), waste product (bilirubin), and liver proteins (total proteins and albumin), are considered valuable indicators to be estimated during liver toxicity (Sheng et al., 2020). Leakage of liver enzymes into circulated blood provides clear indications of the severity level of liver injury. Moreover, a significant drop in liver proteins (albumin or hypoalbuminemia and total proteins) may result from malnutrition or liver tissue injury. The present data showed significant modulation of liver biomarkers following TAA administration. TAA control rats had significantly increased liver enzymes and reduced liver proteins in their serum, denoting increased liver dysfunctionality due to TAA intoxication-related liver injury. Accordingly, scientists correlated the TAA stimulatory effects of liver enzymes with its interaction with genetic materials (DNA and RNA), which further injured hepatic tissues and up-regulated enzyme synthesis and leakage into the blood (Miao et al., 2020). TAA administration also down-regulated total protein and albumin levels, which were mostly linked with its inhibitory action of transcriptional pathways (mRNA) and enhancement of nuclei acid leakage from the nucleus to the cytoplasm, developing severe cellular injury and enzyme leakages. Accordingly, researchers declared TAA potential in inducing liver tissue disruption, and the sustained liver enzyme leakage subsequently caused diminished essential proteins in intracellular and extracellular fluids (Ghanim et al., 2022). MEAR treatment showed significant hepatoprotective actions that restored modulated serum liver biomarkers parallel to that of silymarin. Accordingly, oral supplementation with extracts of Arum leaves (200 and 400 mg/kg) did not cause any biochemical (liver enzymatic) alterations in Sprague Dawley rats (Derakhshanfar et al., 2019). Accordingly, Arum dioscoridis extract (2 mL/kg/day) showed significant prophylactic and therapeutic actions and retained liver functionality in TAA-induced liver toxicity in rats (Sökmen et al., 2023).

The present study faced many challenges and limitations (small sample size, poor facility, short budget, and lack of laboratory equipment); therefore, future investigations must identify plant molecules with emphasis on their pharmacological actions.

Conclusions

The present toxicity trial revealed the safety of the oral supplementation of MEAR (up to 5,000 mg/kg) in experimental animal models based on biochemical and histopathological evaluations. Our findings suggested that abnormal modulation of ROS/Bax/PCNA/TGF-β1, resulting from TAA ingestion, caused liver cirrhosis and abnormal liver functions. Considering the downsides of chemical synthetics and the safety of medicinal plants (natural products), our study revealed that a therapeutic medicinal herb (Kardeh) was capable of controlling contributing factors associated with liver cirrhosis. Supported by its phytochemical (flavones and isoflavonoids) contents, Kardeh leaves exhibited significant regulatory potential on antioxidant enzymes (SOD, CAT, and GPx), oxidative stress indicator (MDA), inflammatory mediators (TNF-α, IL-6, and IL-10), and apoptotic proteins (Bax). The leave extracts suppressed hepatocyte proliferation (mitotic action) represented by reduced TGF-β1 expression and less collagen protein deposition in liver tissues.

Funding

The Research was funded by the Researchers Supporting Project (RSPD2024R884), King Saud University, Riyadh, Saudi Arabia.

Author Contribution

A.A.J. and M.A.A.: conceptualization; M.A.A. and A.A.J.: investigation; M.H.U., P.A.I., A.M.A., and T.S.A., formal analysis and software; M.I.S., R.A.M., R.R.H., M.F.H., and S.H.: resources, funding, and validation; and A.A.J.: writing of the manuscript. All authors contributed equally in reviewing and editing.

Data Availability

Details regarding the current research are available on request.

Acknowledgment

The authors extend their appreciation to Researchers Supporting Project number (RSPD2024R884), King Saud University, Riyadh, Saudi Arabia for funding this work.

REFERENCES

Ağaoğlu, A.B., Gişi, K., İspiroğlu, M., Bahar, A.Y., İnanç Tolun, F., and Kantarçeken, B. 2022. Intestinal anti-inflammatory and anti-oxidant activity of the aqueous extract from arum dioscoridis in acetic acid induced colitis in rats. Kahramanmaraş Sütçü İmam Üniversitesi Tıp Fakültesi Dergisi. 17: 172–181. 10.17517/ksutfd.1054545

Ahmed, K.A.-A., Jabbar, A.A.J., Galali, Y., M. Al-Qaaneh, A., Akçakavak, G., Salehen, N.A., et al. 2024a. Cumin (Cuminum cyminum L.) seeds accelerates wound healing in rats: possible molecular mechanisms. Skin Res Technol. 30: e13727. 10.1111/srt.13727

Ahmed, K.A.-A., Jabbar, A.A.J., M.Raouf, M.M.H., Al-Qaaneh, A.M., Mothana, R.A., Alanzi, A.R., et al. 2024b. Wood calamint ameliorates ethanol-induced stomach injury in rats by augmentation of hsp/bax and inflammatory mechanisms. J Mol Histol. 55: 567–579. 10.1007/s10735-024-10211-7

Akcakavak, G., Celik, Z., Karatas, O., Dogan, O., Ozdemir, O., and Tuzcu, M. 2024. Tarantula cubensis alcohol extract enhances the tumoricidal effect of capecitabine via multiple pathways in azoxymethane-induced colorectal cancer in rats. Trop J Pharm Res. 23: 291–297.

Akhtar, T., and Sheikh, N. 2013. An overview of thioacetamide-induced hepatotoxicity. Toxin Rev. 32: 43–46.

Akther, N., Andrabi, K., Nissar, A., Ganaie, S., Chandan, B.K., Gupta, A.P., Khuswant, M., Sultana, S., and Shawl, A.S. 2014. Hepatoprotective activity of LC–ESI-MS standardized Iris spuria rhizome extract on its main bioactive constituents. Phytomedicine. 21: 1202–1207. 10.1016/j.phymed.2014.04.007

Ali Abed Wahab, B., Ain Salehen, N., Abdulla, M.A., Aj Jabbar, A., Abdel Aziz Ibrahim, I., Almaimani, G., et al. 2023. Pinostrobin attenuates azoxymethane-induced colorectal cytotoxicity in rats through augmentation of apoptotic Bax/Bcl-2 proteins and antioxidants. SAGE Open Med. 11: 20503121231216584. 10.1177/20503121231216585.

Al-Qudah, M. 2016. Histological and biochemical studies on liver of female rats treated with different concentrations of ethanolic extract of Arum palaestinum. J Appl Environ Biol Sci. 6(7): 1.

Aslam, A., Sheikh, N., Shahzad, M., Saeed, G., Fatima, N., and Akhtar, T. 2022. Quercetin ameliorates thioacetamide-induced hepatic fibrosis and oxidative stress by antagonizing the Hedgehog signaling pathway. J Cell Biochem. 123: 1356–1365. 10.1002/jcb.30296

Atalay, T., and Yildiz, K. 2023. In vitro determination of the anthelmintic potential of Arum rupicola Boiss var. rupicola. Turk J Veterin Anim Sci. 47: 507–514. 10.55730/1300-0128.4319

Azab, A. 2017. Arum: a plant genus with great medicinal potential. Eur Chem Bull. 6: 59. 10.17628/ecb.2017.6.59-68

Cardano, M., Tribioli, C., and Prosperi, E. 2020. Targeting proliferating cell nuclear antigen (PCNA) as an effective strategy to inhibit tumor cell proliferation. Curr Cancer Drug Targets. 20: 240–252. 10.2174/1568009620666200115162814

Çeçen, C., Akan, H., and Balos, M.M. 2020. Investigated of anatomical and morphological aspects of two taxa belonging to Arum L. (Araceae Juss.) genus, which shows natural distribution in Şanlıurfa region.

Cole, C., Burgoyne, T., Lee, A., Stehno-Bittel, L., and Zaid, G. 2015. Erratum to: arum palaestinum with isovanillin, linolenic acid and β-sitosterol inhibits prostate cancer spheroids and reduces the growth rate of prostate tumors in rat. BMC Compl Altern Med.

Derakhshanfar, A., Moayedi, J., Vahedi, M., and Valizadeh, A. 2019. Arum conophalloides aqueous extract induced hepatotoxicity in rat; histopathological, biochemical, and mir-122 assessments. MicroRNA. 08. 10.2174/2211536608666191016142400

Devarbhavi, H., Asrani, S.K., Arab, J.P., Nartey, Y.A., Pose, E., and Kamath, P.S. 2023. Global burden of liver disease: 2023 update. J Hepatol. 79: 516–537. 10.1016/j.jhep.2023.03.017

Dwikat, M., Amer, J., Jaradat, N., Salhab, A., Rahim, A.A., Qadi, M., et al. 2023. Arum palaestinum delays hepatocellular carcinoma proliferation through the PI3K-AKT-mTOR signaling pathway and exhibits anticoagulant effects with antimicrobial properties. Front Pharmacol. 14: 1180262. 10.3389/fphar.2023.1180262

Ejiofor, E.U., Oyedemi, S.O., Onoja, S.O., and Omeh, N.Y. 2022. Amaranthus hybridus Linn leaf extract ameliorates oxidative stress and hepatic damage abnormalities induced by thioacetamide in rats. South Afr J Botany. 146: 213–221. 10.1016/j.sajb.2021.10.029

El-Baz, F.K., Salama, A., and Salama, R.A.A. 2019. Therapeutic effect of dunaliella salina microalgae on thioacetamide-(taa-) induced hepatic liver fibrosis in rats: role of tgf-β and mmp9. BioMed Res Int. 2019. 10.1155/2019/7028314

Ghanim, M., Amer, J., Salhab, A., and Jaradat, N. 2022. Ecballium elaterium improved stimulatory effects of tissue-resident NK cells and ameliorated liver fibrosis in a thioacetamide rat model. Biomed Pharmacother. 150: 112942. 10.1016/j.biopha.2022.112942

Ghanim, A.M.H., Younis, N.S., and Metwaly, H.A. 2021. Vanillin augments liver regeneration effectively in thioacetamide-induced liver fibrosis rat model. Life Sci. 286: 120036. 10.1016/j.lfs.2021.120036

Hamidpour, R., Hamidpour, S., Hamidpour, M., Shahlari, M., Sohraby, M., Shahlari, N., and Hamidpour, R. 2017. Russian olive (Elaeagnus angustifolia L.): from a variety of traditional medicinal applications to its novel roles as active antioxidant, anti-inflammatory, anti-mutagenic and analgesic agent. J Trad Comp Med. 7: 24–29. 10.1016/j.jtcme.2015.09.004

Huang, D.Q., Terrault, N.A., Tacke, F., Gluud, L.L., Arrese, M., Bugianesi, E., and Loomba, R. 2023. Global epidemiology of cirrhosis—aetiology, trends and predictions. Nature Rev Gastroenterol Hepatol. 20: 388–398.

Ibrahim, J., Kabiru, A.Y., Abdulrasheed-Adeleke, T., Lawal, B., and Adewuyi, A.H. 2020. Antioxidant and hepatoprotective potentials of curcuminoid isolates from turmeric (Curcuma longa) rhizome on CCl4-induced hepatic damage in Wistar rats. J Taibah Univ Sci. 14: 908–915.

Jabbar, A.A., Abdullah, F.O., Abdoulrahman, K., Galali, Y., Ibrahim, I.A., Alzahrani, A.R., and Hassan, R.R. 2022. Gastroprotective, biochemical and acute toxicity effects of papaver & decaisnei against ethanol-induced gastric ulcers in rats. Processes.

Jabbar, A.A.J., Alamri, Z.Z., Abdulla, M.A., Al Rashdi, A.S., Najmaldin, S.K., and Zainel, M.A. 2023a. Sinapic acid attenuate liver injury by modulating antioxidant activity and inflammatory cytokines in thioacetamide-induced liver cirrhosis in rats. Biomedicines.

Jabbar, A.A.J., Mothana, R.A., Ameen Abdulla, M., Othman Abdullah, F., Abdul-Aziz Ahmed, K., Rizgar Hussen, R., Hawwal, M.F., Fantoukh, O.I., and Hasson, S. 2023b. Mechanisms of anti-ulcer actions of Prangos pabularia (L.) in ethanol-induced gastric ulcer in rats. Saudi Pharma J. 31: 101850. 10.1016/j.jsps.2023.101850

Kazak, F., Akcakavak, G., Alakus, I., Alakus, H., Kirgiz, O., Karatas, O., Deveci, M.Z.Y., and Coskun, P. 2024. Proanthocyanidin alleviates testicular torsion/detorsion-induced ischemia/reperfusion injury in rats. Tissue Cell. 89: 102459. 10.1016/j.tice.2024.102459

Keshk, W.A., Soliman, N.A., Ali, D.A., and Elseady, W.S. 2019. Mechanistic evaluation of AMPK/SIRT1/FXR signaling axis, inflammation, and redox status in thioacetamide-induced liver cirrhosis: the role of Cichorium intybus linn (chicory)-supplemented diet. J Food Biochem. 43: e12938. 10.1111/jfbc.12938

Khalaf, N.A., Naik, R.R., Shakya, A.K., Shalan, N., and Al-Othman, A. 2015. Antioxidant, anti-inflammatory and anti-diarrheal activity of ethanolic extract of medicinal plants grown in Jordan and Palestine. Orient J Chem. 31(4): 1923–1928. 10.13005/ojc/310408

Kılıç, M., Yıldız, K., and Kılıç, F.M. 2020. Traditional uses of medicinal plants in Artuklu, Turkey. Hum Ecol. 48: 619–632.

Kıvanç, M.R. 2022. Investigation of biological and chemical effects of extracts from Arum rupicola Boiss. var. rupicola TT—Arum rupicola’dan elde edilen özütlerin biyolojik ve kimyasal etkilerinin araştirilması. Bitlis Eren Üniversitesi Fen Bilimleri Dergisi. 11: 574–585. 10.17798/bitlisfen.1061984

Kıvanç, M.R., and Türkoglu, V. 2019. Investigation of the effects of natural compounds isolated from Arum rupicola var. rupicola on glutathione reductase enzyme purified from bovine liver. Biomed Chromatogr. 33: e4560. 10.1002/bmc.4560

Kozuharova, E., Pasdaran, A., Hamedi, A., Batovska, D., Georgiev, M., Marchev, A., Attard, E., and Gibernau, M. 2023. Bioactive compounds and biological activities of Arum L. In: Murthy, H.N., Paek, K.Y., and Park, S.-Y. (Eds.) Bioactive Compounds in the Storage Organs of Plants. Springer Nature, Cham, Switzerland, pp. 1–34.

Kunter, I., Ak, E., Atli, B., Oztinen, N., Babri, A., and Kosar, M. 2019. Anti-carcinogenic activities of different extracts of Arum rupicola Boiss. var. rupicola from Turkey. Proceedings.

Laila, U., Akram, M., Shariati, M.A., Hashmi, A.M., Akhtar, N., Tahir, I.M., Ghauri, A.O., Munir, N., Riaz, M., Akhter, N., Shaheen, G., Ullah, Q., Zahid, R., and Ahmad, S. 2019. Role of medicinal plants in HIV/AIDS therapy. Clin Exp Pharmacol Physiol. 46: 1063–1073. 10.1111/1440-1681.13151

Lee, J., Kim, H., Jeon, W.-J., Yeo, C., Kim, H., Hong, J.Y., Baek, S.H., Lee, Y.J., and Ha, I.-H. 2024. Neuroprotective effect of fructus ligustri lucidi in spinal cord neuron injury during H2O2-mediated oxidative stress. J Food Biochem. 2024: 6679695. 10.1155/2024/6679695

Li, X., Wang, X., Wang, Y., Liang, Q., Li, Y., Chen, Y., and Ming, H. 2022. Total flavonoids of oxytropis falcata Bunge have a positive effect on idiopathic pulmonary fibrosis by inhibiting the TGF-β1/Smad signaling pathway. J Ethnopharmacol. 285: 114858.

Lv, Z., Song, J., Xiang, Y., Chen, Z., Lu, Z., Zhou, Q., et al. 2024. Structural characterization and theraapeutic effect of Alhagi honey oligosa Accharide on liver fibrosis in rat. Fitoterapia, 175: 105974. 10.1016/j.fitote.2024.105974

Ma, J.-Q., Ding, J., Zhang, L., and Liu, C.-M. 2015. Protective effects of ursolic acid in an experimental model of liver fibrosis through Nrf2/ARE pathway. Clin Res Hepatol Gastroenterol. 39: 188–197. 10.1016/j.clinre.2014.09.007

Martino, V. Di, Questiaux, J., Lemagoarou, T., Weil, D., Vendeville, S., Engelmann, C., et al. 2023. Granulocyte colony stimulating factor in decompensated cirrhosis, acute alcoholic hepatitis, and acute-on-chronic liver failure: a comprehensive meta-analysis of randomized controlled trials. Clin Res Hepatol Gastroenterol. 47: 102207. 10.1016/j.clinre.2023.102207

Miao, Y., Wu, Y., Jin, Y., Lei, M., Nan, J., and Wu, X. 2020. Benzoquinone derivatives with antioxidant activity inhibit activated hepatic stellate cells and attenuate liver fibrosis in TAA-induced rat. Chem Biol Interact. 317: 108945.

Ommati, M.M., Farshad, O., Mousavi, K., Jamshidzadeh, A., Azmoon, M., Heidari, S., Azarpira, N., Niknahad, H., and Heidari, R. 2020. Betaine supplementation mitigates intestinal damage and decreases serum bacterial endotoxin in cirrhotic rats. Pharma Nutrit. 12: 100179. 10.1016/j.phanu.2020.100179

Ozdemir, O., Akcakavak, G., and Tuzcu, M. 2022. Effect of Tarantula cubensis alcoholic extract and Nerium oleander distillate on cell proliferation markers in colon carcinogenesis. Revista Cientifica Facultad Veterinaria. 32: 1–8. 10.52973/rcfcv-e32150

Özok, N., and Güneş, İ. 2019. Streptozotosin kaynaklı diyabetik sıçanlarda Arum rupicola’nın in vivo antioksidan potansiyeli. Bitlis Eren Üniversitesi Fen Bilimleri Dergisi. 8: 866–874. 10.17798/bitlisfen.547871

Percie du Sert, N., Hurst, V., Ahluwalia, A., Alam, S., Avey, M.T., Baker, M., et al. 2020. The ARRIVE guidelines 2.0: updated guidelines for reporting animal research. BMC Vet Res. 16: 242. 10.1186/s12917-020-02451-y

Pieroni, A., Ahmed, H.M., and Zahir, H. 2017. The spring has arrived: traditional wild vegetables gathered by Yarsanis (Ahl-e Haqq) and Sunni Muslims in western Hawraman, SE Kurdistan (Iraq). Acta Societatis Botanicorum Poloniae. 86(1): 1–17. 10.5586/asbp.3519

Pisoschi, A.M., Iordache, F., Stanca, L., Cimpeanu, C., Furnaris, F., Geicu, O.I., Bilteanu, L., and Serban, A.I. 2024. Comprehensive and critical view on the anti-inflammatory and immunomodulatory role of natural phenolic antioxidants. Eur J Med Chem. 265: 116075. 10.1016/j.ejmech.2023.116075

Ra, S.H., Shin, R.H., Ri, H.C., Ri, J.H., Ri, H.C., and Ri, A.J. 2019. Effect of lesimarin against thioacetamide-induced liver cirrhosis in rat. Braz J Pharm Sci. 55: e17821. 10.1590/s2175-97902019000217821

Ramadan, L. Ben, Zawai, A., Almaghour, H.G., Saad, M., Alfalah, A., Amer, B., and Auzi, A. 2012. Toxicity and antioxidant of Arum cyrenaicum hurby. Egypt J Forensic Sci App Toxicol. 12: 31–47. 10.12816/0005072

Ramos-Tovar, E., Flores-Beltrán, R.E., Galindo-Gómez, S., Vera-Aguilar, E., Diaz-Ruiz, A., Montes, S., Camacho, J., Tsutsumi, V., and Muriel, P. 2018. Stevia rebaudiana tea prevents experimental cirrhosis via regulation of NF-κB, Nrf2, transforming growth factor beta, Smad7, and hepatic stellate cell activation. Phytother Res. 32: 2568–2576.

Saeed, N.M., Mansour, A.M., and Allam, S. 2020. Lycopene induces insulin signaling and alleviates fibrosis in experimental model of non-alcoholic fatty liver disease in rats. Pharma Nutrit. 14: 100225. 10.1016/j.phanu.2020.100225

Sakul, A.A., Okur, M.E., Ayla, S., Daylan, B., Karadag, A.E., Batur, S., Ozdemir, E.M., Altinalan, E., and Gunal, M.Y. 2023. Wound healing activity of Arum maculatum. Medeniyet Med J. 38: 8–15. 10.4274/MMJ.galenos.2022.73368

Salama, S.M., Ibrahim, I.A.A., Shahzad, N., Al-Ghamdi, S., Ayoub, N., AlRashdi, A.S., Abdulla, M.A., Salehen, N., and Bilgen, M. 2018. Hepatoprotectivity of Panduratin A against liver damage: in vivo demonstration with a rat model of cirrhosis induced by thioacetamide. APMIS. 126: 710-721. 10.1111/apm.12878

Salama, S., Kue, C.S., Mohamad, H., Omer, F., Ibrahim, M.Y., Abdulla, M., Ali, H., Mariod, A., and Jayash, S.N. 2022. Hepatoprotective potential of a novel quinazoline derivative in thioacetamide-induced liver toxicity. Front Pharmacol. 13: 943340.

Sheng, J., Zhang, B., Chen, Y., and Yu, F. 2020. Capsaicin attenuates liver fibrosis by targeting Notch signaling to inhibit TNF-α secretion from M1 macrophages. Immunopharmacol Immunotoxicol. 42: 556–563. 10.1080/08923973.2020.1811308

Shu, J., Hu, L., Wu, Y., Chen, L., Huang, K., Wang, Z., and Liang, M. 2022. Daidzein suppresses TGF-β1-induced cardiac fibroblast activation via the TGF-β1/SMAD2/3 signaling pathway. Eur J Pharm. 919: 174805.

Sökmen, M.F., İspiroğlu, M., Gişi, K., Bahar, A.Y., Kurutaş, E.B., and Kantarçeken, B. 2023. Effects of Arum dioscoridis extract on hepatic toxicity caused by thioacetamide in rats. Turkish J Gastroenterol. 34: 254–261. 10.5152/tjg.2023.211051

Tofighi, Z., Shahpar, Y., Taheri, A.R., Tavakoli, S., Asatouri, R., Eftekhari, M., Vazirian, M., Shams Ardekani, M.R., and Sadati Lamardi, S.N. 2021. Identification of isoflavonoids in antioxidant effective fraction of Arum rupicola Boiss. leaves. J Med Plants. 20: 14–23.

Wong, P. Lou, Zolkeflee, N.K.Z., Ramli, N.S., Tan, C.P., Azlan, A., and Abas, F. 2024. Acute toxicity profiling of medicinal herb Ardisia elliptica leaf extract by conventional evaluations and proton nuclear magnetic resonance (NMR) metabolomics. J Trad Comp Med. 14: 456–466. 10.1016/j.jtcme.2024.02.001

Yeşil, Y., Çelik, M., and Yılmaz, B. 2019. Wild edible plants in Yeşilli (Mardin-Turkey), a multicultural area. J Ethnobiol Ethnomed. 15: 1–19.

Zafar, F., Asif, H.M., Shaheen, G., Ghauri, A.O., Rajpoot, S.R., Tasleem, M.W., et al. A comprehensive review on medicinal plants possessing antioxidant potential. Clin Exp Pharm Physiol. 50: 205–217. 10.1111/1440-1681.13743

Zhang, J., Saeed, A., Hussain, M., Siddique, R., Xu, H., Bazmi, R.R., Hussain, L., and Lv, G. 2024. Aqueous ethanolic extract of inonotus obliquus ameliorates polycystic ovarian syndrome by modulating oxidative stress and downregulating TNF-α and Interleukin-6. J Food Biochem. 2024: 1003797. 10.1155/2024/1003797

Zhang, F., Zhou, Y., Yang, X., Xiong, A.-Z., Wang, Z.-T., and Yang, L. 2019. Gynura rhizoma containing pyrrolizidine alkaloids induces the hepatic sinusoidal obstruction syndrome in rat via upregulating fibrosis-related factors. Acta Pharm Sinica. 40: 781–789. 10.1038/s41401-018-0155-y