Download

ORIGINAL ARTICLE

Advancing meat safety diverse approaches for bovine tuberculosis detection and control in abattoirs

Nady Khairy Elbarbary1*, Ayman M. Al-Qaaneh2, Mounir M. Bekhit3*, Ahmed Fotouh4, Bahaa S. Madkour5, Nermeen M.L. Malak6, Ghada Hadad7, Zainab M. Maher8, Mohamed M. Salem9, Maha Abdelhaseib10

1Food Hygiene and Control Department, Faculty of Veterinary Medicine, Aswan University, Aswan, Egypt;

2Department of Allied Health Sciences, Al-Balqa Applied University (BAU), Al-Salt, Jordan;

3Pharmaceutics Department, College of Pharmacy, King Saud University, Riyadh, Saudi Arabia;

4Pathology and Clinical Pathology Department, Faculty of Veterinary Medicine, New Valley University, El-Kharga, Egypt;

5Animal Medicine Department, Faculty of Veterinary Medicine, Aswan University, Aswan, Egypt;

6Food Hygiene and Control Department, Faculty of Veterinary Medicine, Cairo University, Cairo, Giza, Egypt;

7Animal Hygiene and Zoonoses Department, Faculty of Veterinary Medicine, University of Sadat City, Egypt;

8Pathology and Clinical Pathology Department, Faculty of Veterinary Medicine, South Valley University, Qena, Egypt;

9College of Medicine, Huazhong University of Science and Technology, China;

10Food Hygiene, Safety and Technology Department, Faculty of Veterinary Medicine, Assiut University, Assiut, Egypt

Abstract

Bovine tuberculosis (BTB) still represents a significant public health concern and economic issue for livestock breeders in Egypt. This research investigates the incidence of bovine tuberculosis in cattle slaughtered at the central abattoir in Aswan, Egypt, in 2023. A total of 720 cattle were checked antemortem and postmortem at the abattoir. The suspected lesions were analyzed with acid-fast staining, microscopy, histology, ELISA, and RT-PCR. Based on gross tubercle lesions, the overall occurrence of bovine tuberculosis in cattle slaughtered at Aswan abattoirs was 3.2% (23/720), with thoracic lymph nodes and lungs exhibiting the highest frequency of tubercle lesions compared to other organs. According to employed diagnostic tests, the prevalence of tuberculosis was estimated as 68.6, 61, 56.5, and 78.3% for microscopy, histopathology, ELISA, and RT-PCR, respectively. These findings highlight the incidence of bovine tuberculosis and the dissemination of tuberculous lesions among cattle slaughtered at Aswan abattoirs. Furthermore, such prevalence emphasizes the urgent need for a practical disease control approach and an organized surveillance system in the cattle population. One Health strategy is strongly advised to mitigate the zoonotic transmission to people and economic losses in the cattle industry.

Key words: Egypt, livestock, Mycobacterium bovis, postmortem lesions, RT-PCR, tuberculosis

*Corresponding Authors: Nady Khairy Elbarbary, Food Hygiene and Control Department, Faculty of Veterinary Medicine, Aswan University, Aswan, Egypt. Email: [email protected]; Mounir M. Bekhit, Department of Pharmaceutics, College of Pharmacy, King Saud University, Riyadh, Saudi Arabia. Email: [email protected]

Received: 17 June 2024; Accepted: 20 September 2024; Published: 5 October 2024

DOI: 10.15586/ijfs.v36i4.2660

© 2024 Codon Publications
This is an Open Access article distributed under the terms of the Creative Commons Attribution-NonCommercial-ShareAlike 4.0 International (CC BY-NC-SA 4.0). License (http://creativecommons.org/licenses/by-nc-sa/4.0/)

Introduction

Bovine tuberculosis (BTB) is a chronic, debilitating infectious disease affecting mammals, including humans and domestic as well as wild animals, characterized by respiratory disorders, lymph node enlargement, emaciation, and eventual death. Cattles are the primary hosts for BTB, caused by Mycobacterium bovis, one of the Mycobacterium tuberculosis complex (MTBC), as reported by the OIE (2015). Tuberculosis, being globally prevalent, raises concerns about zoonotic transmission to humans; however, it is noteworthy that developing countries face a significantly higher load of the disease in comparison to developed nations (Kapalamula et al., 2023).

Food safety incidents within the red meat industry severely threaten public health, a worldwide concern (Shang and Tonsor, 2017). Ingesting contaminated raw or undercooked meat is the principal indirect route of M. bovis transmission to humans and other animals. Furthermore, interaction with sputum, saliva, urine, and dung and watering or feeding places have all been linked to the direct airborne spread of M. bovis (Dergal et al., 2023). The extent of tuberculosis spread from animals to humans in Egypt remains uncertain; however, specific cultural practices, such as raising and fattening cattle near farmers’ residences and processing them in nearby abattoirs with insufficient protection, could potentially facilitate the spread of the disease from cattle to humans (Damina et al., 2023).

Meat inspections at abattoirs involve the removal and condemnation of organs that exhibit lesions indicative of tuberculosis. The remaining carcass is approved for human ingestion and could potentially harbor zoonotic tuberculosis (Damina et al., 2023). Abattoir personnel, including butchers, are also exposed to carcasses without adequate protective gear while conducting meat inspections and preparation. This creates a pathway for diseases like BTB to spread readily from one location to another through trafficked cattle, livestock products, individuals, and even vehicles. Furthermore, poor biosecurity control, inadequate analysis, shadowing programs, and transboundary animal travel potentially contribute to disease transmission (Dergal et al., 2023). BTB causes substantial economic loss, reduced milk and meat production, impressive trade limitations, and increased treatment expenses due to higher morbidity and mortality rates (Woldemariyam et al., 2021).

Limited data exists on the prevalence of animal tuberculosis in Egypt, primarily sourced from slaughterhouse records (Amin et al., 2015; Elagdar et al., 2022; Hamed et al., 2021; Hasanen et al., 2017). Additionally, several cases of slaughtering outside of slaughterhouses are not recorded. The General Organization of Veterinary Services (GOVs, Egypt) has reported a rise in the annual occurrence of bovine tuberculosis, correlating with cattle imported from areas where the disease is endemic and prevalent (Hamed et al., 2021). Continuous epidemiological research on the prevalence of BTB in animal livestock is crucial for disease control and eradication. The current survey is the first report on the incidence of BTB in cattle at different central slaughterhouses in Aswan Province, Egypt, during 2023. Therefore, it was essential to direct the purpose of the current study to make the public aware of BTB comprehensively and to assess its incidence in cattle slaughtered in Aswan slaughterhouses.

Materials and Methods

Research location and layout

From January 2023 to December 2023, a cross-sectional study using a systematic random sampling approach was carried out in Aswan, Egypt, to determine the prevalence rate of BTB in cattle slaughtered in various central abattoirs (Edfu, Kom Ombo, Daraw, Aswan, and Abu Simbel) (Figure 1). Aswan, situated in southern Egypt, experiences the warmest, hottest summers with an area spanning 62,726 km2. All cattle offered for slaughter were of local and imported breeds. The imported male cattle from Sudanese origin in Africa were slaughtered in Abu Simbel abattoir under the guidance of Egyptian quarantine veterinarians (Hekal et al., 2019). The selected abattoirs were the largest slaughterhouses, chosen for their high annual cattle throughput and the diverse geographical origins of cattle. Given that they receive cattle from various regions, we hypothesized that samples from these slaughterhouses would offer a comprehensive awareness of the occurrence of BTB in the study area. Cattle (60 head monthly) were chosen for this study based on an average of 3 days of slaughtering per week, with five heads of cattle per day subject to a thorough antemortem complete clinical examination and postmortem inspection. The abattoir database was used to gather details about animals that had been slaughtered, such as the kind of animal, its age, gender, and place of origin, as well as the date of the slaughter. The body condition score (BCS) of each animal was calculated using a five-point hedonic scale and was classified into the following categories: healthy (4 and 5), poor (1), and medium (2 and 3) (Heidi, 2017). Cattle ages were assessed by dental eruptions and classified as young (=2 years), adult (2–5 years), and old (>5 years old).

Figure 1. Sampling sites (yellow star), Aswan map, Egypt.

Sample size

The size of the sample was calculated using a 95% confidence interval (CI) and 5% absolute precision, depending on the calculation provided by Thrusfield et al. (2017). Thus, the expected occurrence of BTB lesions was estimated to be 6.7% (Elagdar et al., 2022).

n=Z2×Pexp1Pexpd2

Where n = required sample size, Z = suitable rate for the standard average deviation for the desired confidence = 1.96, Pexp = expected incidence, and d = desired absolute accuracy (usually 0.05).

n=1.962×0.06710.0670.052=96Minimum sample size

Conversely, 720 samples (617 male and 103 female) from local (427) and imported breeds (293) were inspected for the occurrence of BTB lesions. Increasing the sample size enhanced the probability of identifying positive cases.

Antemortem and postmortem inspections

Following the antemortem examination procedures, each animal underwent a physical clinical inspection before being slaughtered (Chauhan and Agarwal, 2008). In particular, superficial lymph nodes, visible mucus membranes, and body conditions were examined. Postmortem inspection for BTB was performed under the Egyptian Guidelines for Cattle Inspection under Law 517 (GOVS, 1986) and the Meat Inspection Manual for Developing Countries (Herenda et al., 1994). The meat examination technique was conducted on the complete visceral organs of all the chosen carcasses, explicitly focusing on the lymph nodes, lungs, liver, and gastrointestinal tract through visual inspection, palpation, and incision under bright light. Extensive BTB-suggestive lesions were detected macroscopically in each organ. Upon meat examination, carcasses exhibiting tubercle formation in any of the studied tissues or organs, for instance, an abscess with a necrotic center and caseation or occasionally calcification encased in a fibrous capsule, were classified as probable cases of BTB (Corner et al., 1994).

Sample collection

Blood sera were collected during the antemortem examination of animals under study. The serum was centrifuged at 3000 rpm for 10 min (Fisherbrand™ Centrifuge, Catalog No.12-006-900), and carefully pipetted into dry, sterile, labeled tubes and stored at −20°C until use. Suspicious macroscopic tuberculous lesions from slaughtered cattle were gathered in a screw-capped universal container holding 5 mL sterile saline water 0.85% and stored at −20°C for further analysis following stringent hygiene protocols.

Microscopy identification of acid-fast bacilli (AFB)

Tissues from organs and lymph nodes containing gross lesions were cut into small portions under aseptic procedures using a sterile scalpel blade and manually mixed in 10 mL of normal saline for 10 min. The homogenates were decontaminated for 15 min using 2 mL of 4% NaOH, neutralized using 1% HCl (0.1 N) 1% for 15 min, and phenol red as a marker intense for 15 min by centrifuging at 3000 rpm. An aliquot of the pellet from each processed sample was utilized to create a smear for Ziehl–Neelsen (ZN), and the supernatant was disposed of. The pellet was carefully applied on a clean glass microscopy slide, allowed to air dry, and then heat-fixed. The presence and morphology of AFB were then assessed on the dyed slides using a light microscope (B-190, OPTIKA, Italy) with a 100X objective (WHO, 1998). Positive and negative control smears were employed simultaneously to evaluate the superiority of the staining procedures.

Enzyme-linked immunosorbent assay (ELISA)

According to the procedure outlined by Isihak et al. (2020), ELISA was performed on the sera of animals obtained during the antemortem examination and had suspected macroscopic tuberculous lesions after slaughter using bovine purified protein derivatives (B-PPD) as coating antigen from the Tuberculosis unit in Animal Health Research Institute, Dokki, Egypt. At 405 nm, the optical density (OD) was determined using a Tecan Spectra III ELISA reader (TE-RD-SpectraIII, Mannedorf, Switzerland).

Histopathology

Collected samples were fixed with neutral buffered 10% formalin dehydrated in different alcohol concentrations (70, 80, 90, and 100%). Samples having fat and heavy calcification were cut and decalcified before paraffin implanting and then embedded in paraffin wax; then 5µ, thickness transverse sections were cut using a microtome and set on glass slides, stained with Hematoxylin and Eosin (H&E), and inspected with a light microscope at higher magnifications. Positive results were obtained when lesions exhibited granulomatous inflammation accompanied by central caseous necrosis or calcifications (Elbarbary et al., 2024).

Real-time (RT) PCR diagnosis of Mycobacterium bovis

Following Wards et al. (1995), BTB-suspect lesions obtained from suspicious tissue were mixed with phosphate buffered saline (PBS) (0.14 M NaCl, 4 mM KCl, 8 mM Na2HPO4, 2 mM KH2PO4, pH 6.5 buffering). Following the manufacturer’s instructions, DNA was extracted using the GF-1 Tissue DNA Extraction Kit (Vivantis, Catalog No.: GF-TD-050) and submitted to RT-PCR using the MTplex dtec-RT-qPCR Test (Edifici-Quórum3, Elche, Spain). Specific primers were utilized to amplify M. bovis IS6110, INS1 (5’CGTGAGGGCATCGAGGTGGC3’) and INS2 (5’GCGTAGGCGTCGGTGACAAA3’) (Van Soolingen et al., 1991) which targeted fragment size 254 bp. In an Applied Biosystem StepOne RT-PCR System (Thermo Fisher Scientific, USA, Catalog No.4376357), the PCR reactions were approved in 20 µL final volume containing 10 µL Hot Start-Mix qPCR 2x, 1 µL MTplex dtec-qPCR-mix, 4 µL DNase/RNase free water, and 5 µL DNA sample, the reaction conditions involved of one cycle of 95°C for 5 min followed by 45 cycles of 95°C for 30 s and 60°C for 60 s for hybridization, extension, and data collection. FAM fluorogenic signal was collected, and the cycle threshold of the reactions was identified by StepOne™ software version 2.2.2 (Life Technology, Warrington, UK). Three distinct phases (geometric, linear, and plateau) were obligatory to be observed in the matching amplification curve, which delineated the development of the PCR reaction for the sample to be deemed positive. A reference of M. bovis was provided by the Microbiology unit, Animals Health Researches Institute, Dokki, Egypt. It was used as a positive control, and a PCR reaction deprived of any DNA was used as a negative sample (Elsohaby et al., 2021).

Data analysis

The calculations were done using Microsoft Excel and further subjected to Chi-square test to establish statistical significance using GraphPad InStat 3.3. Branger (2013) described the analytic and prognostic value of microscopic testing.

Results

The overall prevalence of BTB

The data presented in Table 1 details the features of the animals with distrustful BTB lesions during the postmortem examination; among the total 720 inspected slaughtered heads of cattle, 23 (3.2%) were revealed with BTB-suspect tuberculous lesions. A high incidence of tuberculous lesions was detected in the male (2.4%), the age category (<5 years old; 2.1%), and poor body–conditioned slaughtered cattle (1.67%). Most BTB-positive cattle carcasses were found at the Abu Simbel slaughterhouse (1.94%). The age, sex, and body condition of slaughtered cattle and slaughterhouses were observed to be substantially related to BTB tuberculous lesions (P ≤ 0.05). However, no significant variation was observed in the breed category.

Table 1. Characteristics of the animals with BTB suggestive lesions.

Characteristics Examined cattle Positive for TB lesion
No. % No. %
Total No. 720 100 23 3.2
Age
young 68 9.4 0 0
adult 411 57.1 8 1.11*
old 241 33.2 15 2.1*
Sex
Male 617 85.7 17 2.4*
Female 103 14.3 6 0.83*
Breed
Local 427 59.3 9 1.3
Imported 293 40.7 14 1.94
BCS
Good 198 27.5 4 0.65
Medium 234 32.5 7 0.97*
Poor 288 40 12 1.67*
Slaughterhouse
Edfu 79 10.9 1 0.14
Kom Ombo 87 12.1 2 0.28*
Daraw 56 7.8 0 0
Aswan 205 28.5 6 0.83*
Abu Simbel 293 40.7 14 1.94*

TB, tuberculosis; *significantly different by Chi-square statistics at (P ≤ 0.05).

Distribution of tuberculous lesions from tissues and organs

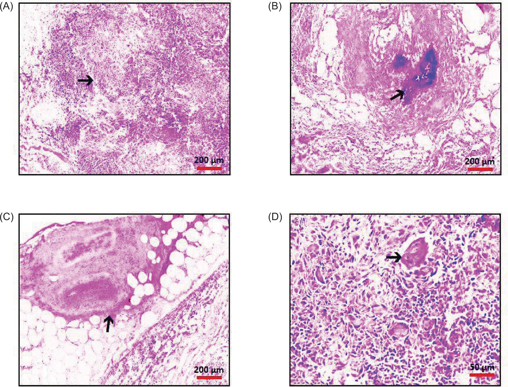
The postmortem examination revealed 23 suspicious BTB lesions. However, only 21.7% (5/23) of the carcasses had generalized lesions, or miliary TB, characterized by the spreading of lesions throughout the body. Most positive carcasses exhibited localized lesions (74%), primarily confined to one or a few organs. A higher percentage was detected in the lymph nodes (LN) of the lungs, notably the mediastinal (91.3%) and bronchial LN (83%), followed by the mesenteric lymph nodes (83%) and lymph nodes of the head (61%) for both mandibular and retropharyngeal LN. Furthermore, the lung (74%) and intestine (61%) tissues showed the highest occurrence of BTB-suggestive tuberculous lesions (Table 2). The identified BTB tubercle or granulomatous lesions had the typical appearance of dry and gritty with coalescing caseous and calcified necrosis areas. Additional lesions appeared whitish and yellowish of different sizes, either congregating together or dispersed and encircled in light congested grey fibrous tissue (Figures 2 and 3).

Table 2. Distribution of BTB suspected tuberculous lesions in slaughtered cattle (n = 23).

Site of suspected lesions Total Incidence of BTB lesions
Local breed Imported breed
No. % No. % No. %
Generalized TB 6 26 1 4.3 5 21.7
Local TB 17 74 8 34.8 9 39.1
Mandibular LN 14 61 6 26 8 34.8
Retropharyngeal LN 14 61 5 21.7 9 39.1
Bronchial LN 19 83 7 30.4 12 52.2
Mediastinal LN 21 91.3 9 39.1 12 52.2
Mesenteric LN 19 83 7 30.4 12 52.2
Lung 17 74 7 30.4 10 43.5
Liver 11 48 5 21.7 6 26
Udder 4 17.4 4 17.4 0 0
Intestine 14 61 6 26 8 34.8
Heart 7 30.4 0 0 7 30.4
Peritoneum 9 39.1 3 13 6 26
Diaphragm 9 39.1 2 8.6 7 30.4

BTB, bovine tuberculosis; LN, lymph node; TB, tuberculosis.

Figure 2. Gross lesions of BTB in different organs of the examined carcass. (A, B) lung has calcified and granulated tubercles in an advanced stage of tuberculosis, (C, D) lung has tubercles with yellowish caseation, (E–G) liver has calcified and granulated tubercles in an advanced stage of tuberculosis, (H) tubercles in spleen, (I) The tubercles lesion appear between ribs and intercostal muscle that indicate the severity and advancement of the infection stage, (J) liver, diaphragm, ribs and intercostal muscle with large numerous tubercles, (K) tubercles in rumen, (L) The tubercles lesion in momentum and intestine.

Figure 3. Gross lesions of BTB in different LNs of the examined carcass. (A, B) declared calcified and granulated tubercles in the bronchial LNs, (C) calcified and granulated tubercles in the mediastinal LN, (D, E) Mesenteric LN show calcified and granulated tubercles in the advanced stage of TB, (F) caseated and calcified tubercles in the retropharyngeal LN.

Laboratory diagnosis of bovine tuberculosis

Only 16 (68.6%) of the 23 BTB-suspected lesions identified during the postmortem examination in this investigation (Table 3) were confirmed to be AFB through morphological characteristics and smear microscopy (ZN). The samples were subjected to histopathological investigation, and the results revealed that 61% (14/17) of the samples exhibited granulomatous changes characterized by tissue cells, central and focal caseous necrosis, dystrophic calcification, and foreign body-type giant cells (Figures 46). Of the 23 BTB-suspected lesions, 13 (56.5%) samples were confirmed BTB by IELISA analysis, while 18 (78.3%) were confirmed as BTB by the RT-PCR approach (Figures 7).

Table 3. Incidence of BTB in slaughtered animals based on laboratory diagnosis (n = 23).

Species Suspicious carcass during postmortem Laboratory diagnosis tests
Microscopy Histopathology IELISA RT-PCR
No. % No. % No. % No. %
Local breed 9 6 26 5 21.7 4 17.4 7 30.4
Imported breed 14 10 43.5 9 39.1 9 39.1 11 47.8
Total 23 16 68.6 14 61 13 56.5 18 78.3

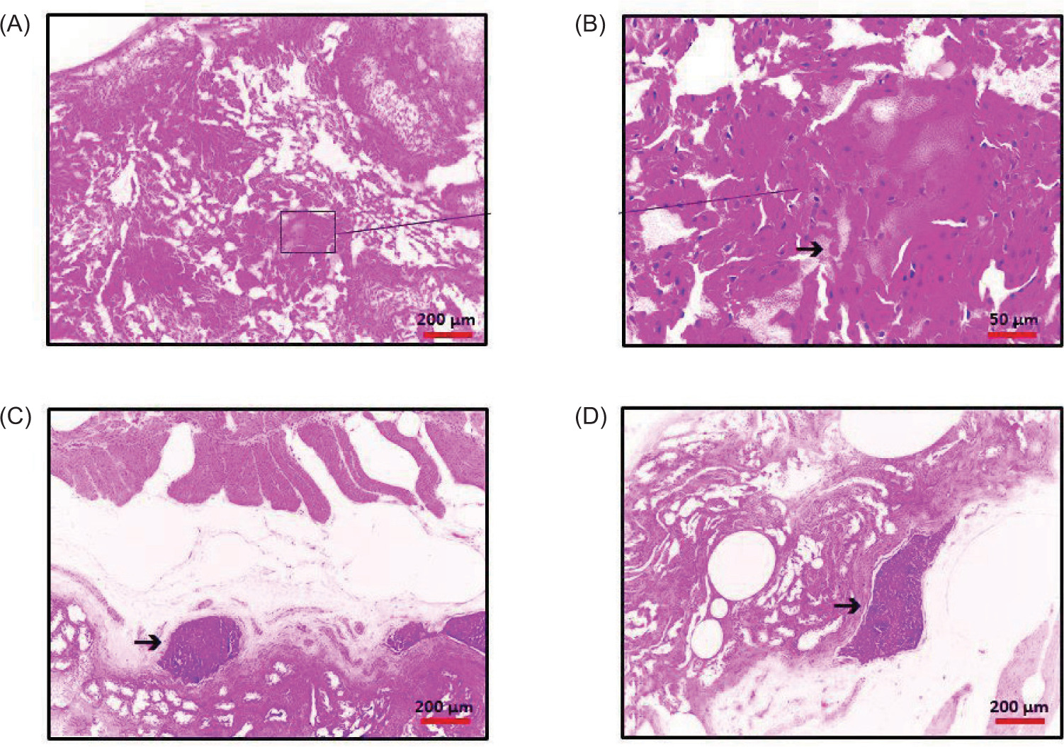
Figure 4. Histopathology sections of infected lungs with M. tuberculosis. (A, B) show a large confluent granuloma with central necrosis and a calcified area surrounded by lymphocytes, macrophage epithelioid cells, and fibrous tissue capsule (arrow). (C) A typical tubercle nodule is noticed in the pleura (arrow). (D) High magnification shows Langhans giant cells (arrow).

Figure 5. Histopathology sections of infected liver with M. tuberculosis. (A, B) showing TB follicle with central caseous necrosis surrounded by lymphocytes, epithelioid macrophages, and giant cells (arrow). (C, D) sections of the intestine showing enlarged lymphatics with lymphoid reaction (arrow).

Figure 6. Histopathological sections of lymph node with tuberculosis showing TB characteristic typical granuloma with central amorphous granular material (red arrow) surrounded by lymphocytes and Langhans giant cells (black arrow).

Figure 7. The amplification blot of RT-PCR of tuberculosis samples. Analysis for the amplification blot in its linear form declared that the photo consisted of 8 positive at cycle 12 and two negative examined tubercles samples in addition to one positive and other negative control samples for 45 cycles run using the FAM as a reference dye.

Discussion

The meat inspection protocol assesses split carcasses, organs, and associated lymph nodes to ensure suitability for human consumption and gather epidemiological data on zoonotic and animal diseases, such as tuberculosis, globally (Lawan et al., 2020). The Egyptian General Organization of Veterinary Services conducts slaughterhouse surveillance using visual inspection to detect BTB infection in slaughtered animals (Elsohaby et al., 2021). The characteristics identified in our multivariate model may be necessary for developing BTB screening and prevention measures. The characteristics identified in the multivariate model (Table 1) may hold significant importance for developing BTB screening and prevention measures. Through a comprehensive postmortem examination, we determined an overall frequency of 3.2% BTB among slaughtered cattle in this study. However, the incidence of tuberculosis varies among slaughterhouses in Aswan, with the Abu Simbel slaughterhouse exhibiting a statistically significant higher prevalence compared to others in the investigated area.

The findings align with other research on BTB incidence in Egypt via abattoir-based investigations in various localities (Elagdar et al., 2022; El-Gedawy et al., 2022; Hamed et al., 2021). In contrast, the overall occurrence of BTB in this investigation was comparatively lower than the incidence rates confirmed by Belete et al. (2021), Elagdar et al. (2022), and El-Gedawy et al. (2022), who found BTB with incidences of 14.45, 10, and 5.4%, respectively. However, it was higher than the incidence rates reported by other investigators in Egypt; Algammal et al. (2019), Hamed et al. (2021), and Nasr et al. (2016) recorded incidences of 1.8, 1.2, and 1.6%, respectively. In contrast, the overall incidence of tuberculosis in the present inspection was comparatively lower than the incidence rates recorded by Belete et al. (2021), Elagdar et al. (2022), and El-Gedawy et al. (2022), who reported BTB with incidence rates of 14.45, 10, and 5.4% respectively. However, it was higher than the incidence rates reported by other investigators in Egypt. Algammal et al. (2019), Hamed et al. (2021), and Nasr et al. (2016) recorded 1.8, 1.2, and 1.6%, respectively. Additionally, Habitu et al. (2019) and Kapalamula et al. (2023) revealed that 11.3 and 9.95% of slaughtered cattle had gross pathological lesions suggestive of BTB.

This discrepancy may arise from including imported cattle alongside the local breed in our study because imported cattle in Egypt are derived from highly enzootic African countries with horrible hygienic measures and a lack of disease surveillance systems in these exporting countries. Furthermore, variations in reported prevalence rates could be ascribed to differences in sample sizes, disparities in the supervision and manufacturing practices of slaughtered cattle, and different methods employed for diagnosis in other studies. Although imported cattle in the Abu Simbel region revealed potentially higher BTB prevalence, this warrants further investigation. The observed trend may be attributed to several factors, including gathering animals from diverse locations, prevailing climatic conditions, the stress induced by overcrowded and poorly managed environments during quarantine, and the potential for cattle-to-cattle transmission during transportation, especially from watering point sources. These conditions can collectively enhance the spreading of infections among the cattle population.

Previous research has determined the risk factors for BTB epidemics at the animal level, including age, sex, breed, and physical condition (Singhla and Boonyayatra, 2022). Animal age is a significant individual risk factor observed in developed and developing nations (Cleaveland et al., 2007). Therefore, a hypothesis has been proposed, suggesting that the duration of exposure to the pathogen in the environment is positively correlated with age; older animals would be more susceptible to the risk as a result of protracted contact with the pathogen, which could lead to the recrudescence of dormant infections and a physiological deterioration of immunity as explained by Kapalamula et al. (2023). These findings concurred with those of Kemal et al. (2019), Mekonnen et al. (2019), and Hamed et al. (2021). The data collected revealed that male cattle comprised most of all animals slaughtered (85.7%); cattle imported through Abu Simbel quarantine are only males. The rate of 2.4%, indicative of BTB, matches the conclusions of Belete et al. (2021). This is attributed to males being predisposed to undergo fattening and meat production, whereas females are primarily utilized for bovine reproduction and milk production.

Furthermore, it is imperative to note that the slaughter of female cattle under the age of seven is rigorously prohibited by the legislation of the Egyptian Ministry of Agriculture (laws 53/1966 and 207/1980), except in circumstances such as trauma and infertility that warrant a license issued by the principal veterinary officer (FAOLEX, 2012). The results of this study supported the hypothesis that an animal’s body condition positively correlates with the risk of BTB. They also demonstrated that cattle in poorer body conditions had a higher incidence of tuberculosis than cattle in medium and good body conditions, with a rate of 1.67%. These outcomes are consistent with Kapalamula et al. (2023) and Lawan et al. (2020). This provides additional evidence that tuberculosis is a persistent and incapacitating ailment that causes infected cattle to gradually lose their body mass (Lawan et al., 2020).

Postmortem investigations of suspected lesions at slaughterhouses are recognized as authorized analytical methods for BTB in numerous nations, including Egypt (Sallam et al., 2020). Slaughterhouse shadowing is widely acknowledged as a simple, economical, and reasonably dependable approach to identifying tuberculous animals, exhibiting a notable sensitivity (Willeberg et al., 2018). Hence, slaughterhouses may be a significant epidemiological reference point in investigating zoonotic tuberculosis (Woldemariyam et al., 2021). BTB substantially contributes to the rejection of carcasses due to TB and TB-like lesions (WHO, 2017). The current study confirms this issue by employing meticulous meat inspection techniques involving regular organ and lymph node dissection. The infection predominantly affects lymph nodes, although it can also spread to other organs, including the lungs, liver, intestines, and kidneys, which can cause the progressive development of distinct granulomatous lesions (Belakehal et al., 2021). BTB is distinguished by the occurrence of tubercles, representing the characteristic lesions of M. bovis infection in various tissues, including the lungs, lymph nodes, and intestines (Dergal et al., 2023). In this investigation, the lesions’ size, color, and consistency varied greatly depending on the stage of infection. Lesion dimensions range from microscopic to substantial, encompassing the entirety of the organ or tissue. Although they may also be caseopurulent, fibrocaseous, fibro-calcified, or calcified, the consistency can also consist of thin-walled purulent cavities.

The anatomical localization of BTB lesions varies according to the severity of the infection; lesions can be restricted to one or a few organs, such as the lungs, liver, and lymph nodes. However, in extreme cases, the BTB lesions can spread, characterizing a form of the illness called miliary BTB. Generalized BTB lesions are caused by the extent of M. bovis via the bloodstream of infected animals (Kanyala et al., 2022). The majority of the affected cattle in this study had localized BTB lesions, suggesting that the severity of BTB is lower in cattle slaughtered in Aswan slaughterhouses. Moreover, BTB-like lesions were localized in the thoracic region, specifically in lung tissue, bronchial lymph nodes, and mediastinal lymph nodes. This outcome aligns with the results published by Hamed et al. (2021) and Elagdar et al. (2022). This indicates that, as expected for an airborne pathogen, inhalation is the most probable mode of infection. Head-to-head contact raises the risk of inhalation in communal and feedlot grazing situations. Numerous studies reported that the BTB lesions in animals slaughtered significantly impacted lung condemnation rates (Benhathat and Aggad, 2017; Dergal et al., 2023). The postmortem examination showed substantial losses of meat and offal, consistent with numerous research studies (Belakehal et al., 2021; Damene et al., 2020; Dergal et al., 2023). The overall BTB incidence revealed by this investigation is lower than that reported in African nations, such as Malawi at 5.62% (Kapalamula et al., 2023), Zambia at 14.1% (Munyeme et al., 2009), Mozambique at 39.6% (Moiane et al., 2014), and Tanzania at 13.2% (Kazwala et al., 2001). The studies mentioned above and those presented in the current study provide further evidence that tuberculosis is prevalent among livestock in most African nations (Dibaba et al., 2019). Appropriate BTB surveillance in slaughtered cattle should be prioritized for the achievement of the TB regulator program in livestock and, consequently, the general public.

However, meat inspection, which includes visual inspection, palpation, and incision of visceral organs, could achieve food safety for customers; it is yet to be developed explicitly for BTB diagnosis (Singhla and Boonyayatra, 2022), and other investigations showed the limited sensitivity of routine abattoir inspections (Belete et al., 2021). Because routine abattoir inspections are routinely performed, many lesions may be overlooked because the animals are still in the early stages of infection or are minor or undetectable, leading to exposure of humans to dangerous meat (Belete et al., 2021). As a result, routine meat inspections need to be improved to support an effective BTB surveillance program. Therefore, the precision of various diagnostic methods, such as PCR, serology, and histopathology, to diagnose BTB were evaluated (Elsohaby et al., 2021). According to our current findings, smear microscopy revealed that only 16 out of 23 (68.6%) BTB lesions were detected as AFB positive, confirming that several AFB-positive samples can be identified by ZN staining as tuberculous bacilli, which may be current in lesions acquired from slaughtered cattle (Belete et al., 2021) consistent with the results of Belete et al. (2021), Elagdar et al. (2022), Hamed et al. (2021), and Sabry and Elkerdasy (2014). The disparity in the prevalence rate of BTB between ZN microscopy and gross lesions could be attributed to several factors, including killing of M. bovis by macrophages (Cousins et al., 2004), infections by other pathogens such as Corynebacterium spp., Norcadia spp., Rhodococcus spp., Streptococcus spp., and fungi (Lawan et al., 2020), or ineffective abattoir sampling (Araujo et al., 2005).

Using histopathological methods, our findings revealed lesions in different organs consisting of lymphocytic inflammation and necrotic debris with a rate of 61% of BTB gross lesions. Histopathological structures of a granuloma revealed a central area of caseous necrosis with or without calcification, encircled by lymphocytes, macrophages, neutrophils, plasma cells, epithelioid cells, and Langhans giant cells, while surrounded wholly or partially by a fibrous capsule and also confirmed the acid-fast organisms by ZN stain (Kuria, 2019) and similar outcomes were confirmed by Belete et al. (2021). However, the absence of pathology in some reactor cattle could reflect the short duration between the infection and postmortem proceedings (Mekonnen et al., 2020).

The diagnosis of tuberculosis can be broadly classified into two categories: direct assays, which involve the detection of the organism through necropsy samples (conventional test and PCR), and indirect assays, which involve the discovery of cellular or humoral immune response (Wadhwa et al., 2012). The current investigation employed ELISA tests for serological analysis, and the outcomes indicated that 56.5% (13/23 cases) were positive. These results are consistent with those reported by Agbalaya et al. (2020), Hamed et al. (2021), and Nasr et al. (2016). ELISA yielded a lower result in this study than the ZN microscopy examination, which could be attributed to a more pronounced humoral immune response in the later stages of infection. However, cell-mediated immune response, as seen in ZN microscopy, can manifest as early as 3 weeks after infection (Pollock et al., 2001). As a result, BTB diagnosis is mainly predicated on the identification of cell-mediated immune responses in live animals (De la Rua-Domenech et al., 2006), with antibody responses found only in advanced stages of infection or anergic states (Da Silva et al., 2011). ELISA, therefore, functions as a supplement to ZN microscopy but not as a stand-alone BTB diagnostic test. Furthermore, this study confirmed that employing ELISA assays as an auxiliary diagnostic technique in conjunction with postmortem meat assessment or ZN staining in cattle could greatly enhance BTB diagnosis. This is especially important in cases where thorough meat inspection is often complex to achieve in some slaughterhouses due to factors such as butchers’ uncooperative attitudes, sharp practices by butchers that lead to the concealment of infected organs, and insufficient meat inspectors in comparison to the daily slaughter capacity (Agbalaya et al., 2020). Furthermore, implementing the ELISA technique facilitates regular screening of cattle herds for tuberculosis devoid of slaughter. This permits the culling of positive reactors, thereby restricting the spread and progression of the disease (Agbalaya et al., 2020).

Additional tests, such as PCR, can be utilized to approve suspicious lesions from a meat examination procedure, improving the effectiveness of a BTB investigation program at slaughterhouses (Courcoul et al., 2014), which has been applied across numerous countries (Saidu et al., 2015). Using RT-PCR in this research demonstrated that among the 23 samples analyzed, 18 (78.3%) expressed confirmed BTB lesions. This finding was crucial for molecular epidemiological investigations of BTB and the precise differentiation of suspected BTB lesions (Michel et al., 2010). RT-PCR is significantly faster than culture, thereby decreasing the time required for diagnosis and enabling the discovery of M. bovis in samples, even in cases where the organisms are no longer viable for culture (Reddington et al., 2011) or when the sample contains an overgrowth of mycobacteria or a low quantity of mycobacteria (Boko et al., 2022). Furthermore, RT-PCR is more dependable, sensitive, cost-effective, and time-efficient than biochemical tests, which may exhibit variations in their capabilities (Elsohaby et al., 2020). This confirms the results of earlier research in Egypt by Hamed et al. (2021), Elsohaby et al. (2021), Elagdar et al. (2022), and El-Gedawy et al. (2022). The outcome of our investigation indicated that the performance of meat inspection, direct stain, and ELISA in detecting BTB differed from the outcomes achieved through RT-PCR. A prior investigation similarly revealed a limited degree of concurrence between livestock inspection and alternative diagnostic methods for tuberculosis (Aylate et al., 2013; Singhla and Boonyayatra, 2022).

Furthermore, in the examined animals, the provisional dependence of the final model between RT-PCR and other tests was minimal, suggesting that the test outcomes were distinct. The absence of a correlation between the tests and the results indicates that utilizing them as parallel tests could enhance the efficacy of the shadowing strategy in ongoing BTB eradication programs. The present investigation confirmed that the estimated yield of RT-PCR was greater than that of alternative techniques, a finding that is consistent with prior research in Egypt (El-Gedawy et al., 2022; Elsohaby et al., 2021), Thailand (Singhla and Boonyayatra, 2022), and Burkina Faso (Kanyala et al., 2022). This is because PCR is unaffected by the existence or lack of lesions on the carcass and may identify the mycobacteria at any stage of infection, live or dead (Courcoul et al., 2014); in addition, this test is considered a direct mean of diagnosis because it is directed to detect the DNA of the pathogen. As a result, RT-PCR can be combined with meat evaluation and other tests to develop the effectiveness of BTB recognition in slaughterhouses.

This investigation confirmed the endemicity and significance of BTB in Aswan, Egypt, notably at the slaughterhouses investigated, even with a low prevalence rate due to its public health. As a result of demonstrating that the molecular test utilized in this investigation was more specific for tuberculosis, it can be used to enhance current initiatives aimed at preventing and controlling the disease to protect the health of animals and humans. This will facilitate the acquisition of dependable data and improve the monitoring of the disease through epidemiological means. Further investigation into the species implicated in the BTB-suggestive lesions in Aswan, Egypt, is also of utmost importance. Some limitations of the study include its focus solely on cattle and its exclusion of other species; only apparent lesions were evaluated; thus, infections with macroscopically invisible lesions are likely to have been overlooked, leading to an understatement of mycobacteria contacts that are immunologically significant.

Conclusions

The current study is the first report highlighting the epidemiological incidence of BTB among cattle slaughtered in Aswan slaughterhouses. The investigation revealed the incidence of BTB among slaughtered cattle, especially in imported cattle in Abu-Simbel abattoir. The research demonstrated that integrating postmortem and laboratory diagnostic techniques facilitated the detection of BTB. Also, the molecular technique employed in this investigation demonstrated enhanced specificity for BTB, which can be utilized to fortify current initiatives aimed at disease prevention and control, facilitate the acquisition of dependable data, and improve epidemiological surveillance of the disease diminishing its detrimental effects on animals and humans. Raising public health awareness among meat processing workers is crucial, and adherence to hygienic protocols and rigorous handling, processing, and production standards, particularly concerning imported animals, is necessary to mitigate the potential for meat-borne illnesses caused by pathogen transmission to humans.

Authors Contribution

Nady Elbarbary, Zainab Maher, and Bahaa Madkour were involved in conceiving the research idea, methodology design, and the original draft preparation. Ayman Al-Qaaneh and Mounir Bekhit contributed to the investigation, supervision, and interpretation of the study. Ahmed Fotouh, Ghada Hadad, and Maha Abdelhaseib participated in methodology, sampling, and data analysis and contributed their scientific advice. Mohamed Salem and Nermeen Malak were involved in data analysis draft preparation and the manuscript for publication and revision. All authors have read and agreed to the published version of the manuscript.

Ethics Statement

The study protocol was approved by the Ethics Committee of the Faculty of Veterinary Medicine, New Valley University No. 02/3/3-2024/13. No AI was used in the preparation of the manuscript.

Acknowledgment

The authors would like to express their sincere appreciation to the Researchers Supporting Project Number (RSPD2024R986) at King Saud University in Riyadh, Saudi Arabia.

Declaration of Competing Interests

No conflicts of interest.

Data Availability Statement

The article contains all data.

REFERENCES

Agbalaya, M.A., Ishola, O.O., Adesokan, H.K., and Fawole, O.I., 2020. Prevalence of bovine tuberculosis in slaughtered cattle and factors associated with risk of disease transmission among cattle handlers at Oko-Oba Abattoir, Lagos, Nigeria. Veterinary World. 13: 1725–1731. 10.14202/vetworld.2020.1725-1731

Algammal, A.M., Wahdan, A., and Elhaig, M.M., 2019. Potential efficiency of conventional and advanced approaches used to detect Mycobacterium bovis in cattle. Microbial Pathogenesis. 134: 103574. 10.1016/j.micpath.2019.103574

Amin, R.A, Nasr, E.A., El-Gaml, A.M., and Saafan, E.M., 2015. Detection of tuberculosis in slaughtered food animals by using recent technique. Benha Veterinary Medical Journal. 2: 129–134. 10.21608/bvmj.2015.32488

Araujo, C.P., Leite, C.Q., Prince, K.A., Jorge, K.S., and Osorio, A.L., 2005. Mycobacterium bovis identification by a molecular method from postmortem inspected cattle obtained in abattoirs of Mato Grosso do Sul, Brazil. Memorias do Instituto Oswaldo Cruz. 100: 749–752. 10.1590/s0074-02762005000700013

Aylate, A., Shah, S.N., Aleme, H., and Gizaw, T.T., 2013. Bovine tuberculosis: Prevalence and diagnostic efficacy of routine meat inspection procedure in Woldiya municipality abattoir north Wollo zone, Ethiopia. Tropical Animal Health and Production. 45: 855–64. 10.1007/s11250-012-0298-7

Belakehal, F., Moser, I., Naim, M., Zenia, S., and Hamdi, T.M., 2021. Tuberculosis lesions of bovine carcasses in Algerian municipal abattoirs and associated risk factors. Journal of Animal Health and Production. 9: 479–486. 10.17582/journal.jahp/2021/9.4.479.486

Belete, A., Tilahun, S., Hail, A.B., Demessie, Y., Nigatu, S., and Getachew, A., 2021. Prevalence of bovine tuberculosis and distribution of tuberculous lesions in cattle slaughtered at Gondar, Northwest Ethiopia. Infection Ecology & Epidemiology. 11: 1986919. 10.1080/20008686.2021.1986919

Benhathat, Y., and Aggad, H., 2017. Occurrence and severity of major gross pulmonary lesions in cattle slaughtered at Tiaret (Western Algeria). Journal of Applied Environmental and Biological Sciences. 7: 48–53. https://api.semanticscholar.org/CorpusID:212480912

Boko, C.K., Zoclanclounon, A.R., Adoligbe, C.M., Dedehouanou, H., M’Po, M., Mantip, S., et al., 2022. Molecular diagnosis of bovine tuberculosis on postmortem carcasses during routine meat inspection in Benin: GeneXpert® testing to improve diagnostic scheme. Veterinary World. 15: 2506–2510. 10.14202/vetworld.2022.2506-2510

Branger, B., 2013. Valeur diagnostique et prédictive d’un test de diagnostic ou de dépistage. 11. In: Test Diagnostique. Réseau de Périnatalité des Pays de la Loire. Nantes, France. Available from: https://www.reseau-naissance.fr/data/mediashare/zy/5lort-2g2ifme9q429gvnfgmoh0xctd-org.pdf.

Chauhan, R.S., and Agarwal, D.K., 2008. Textbook of veterinary, clinical and laboratory diagnosis. 2nd ed. New Delhi, India: Jaypee Brothers Medical Publishers. pp. 1–364.

Cleaveland, S., Shaw, D.J., Mfinanga, S.G., Shirima, G., Kazwala, R.R., Eblate, E., et al., 2007. Mycobacterium bovis in rural Tanzania: Risk factors for infection in human and cattle populations. Tuberculosis. 87: 30–43. 10.1016/j.tube.2006.03.001

Corner, L.A., 1994. Postmortem diagnosis of Mycobacterium bovis infection in cattle. Veterinary Microbiology. 40: 53–63. 10.1016/0378-1135(94)90046-9

Courcoul, A., Moyen, J.L., Brugère, L., Faye, S., Hénault, S., and Gares, H., 2014. Estimation of sensitivity and specificity of bacteriology, histopathology and PCR for the confirmatory diagnosis of bovine tuberculosis using latent class analysis. PLoS One. 9: e90334. 10.1371/journal.pone.0090334

Cousins, D.V., Huchzermeyer, H.F.K., Griffin, J.F.T., Bruckner, G.K., Van Ransburg, I.B.J., and Kriek, N.P.J., 2004. Tuberculosis. In: Coetzer, A.W., and Tustin, R.C., editors. Infectious diseases of livestock. Cape Town: Oxford University Press. 2: 1973–1993.

Da Silva, E.B., De Souza, B.D., Leon, J.R., Kipnis, A., De Miranda, I.K., and Junqueira-Kipnis, A.P., 2011. Using BCG, MPT-51 and Ag85 as antigens in an indirect ELISA for the diagnosis of bovine tuberculosis. The Veterinary Journal. 187: 276–278. 10.1016/j.tvjl.2009.11.017

Damene, H., Tahir, D., Diels, M., Berber, A., Sahraoui, N., and Rigouts, L., 2020. Broad diversity of Mycobacterium tuberculosis complex strains isolated from humans and cattle in Northern Algeria suggests a zoonotic transmission cycle. PLoS Neglected Tropical Diseases. 14: e0008894. 10.1371/journal.pntd.0008894

Damina, M.S., Barnes, D.A., Inuwa, B., Ularamu, H.G., Bello, M., and Okaiyeto, S.O., 2023. Molecular characterisation of Mycobacterium bovis isolates from cattle slaughtered in Adamawa and Gombe states, North-Eastern Nigeria. Current Issues in Molecular Biology. 45: 6055–6066. 10.3390/cimb45070382

De la Rua-Domenech, R., Goodchild, A.T., Vordermeier, H.M., Hewinson, R.G., Christiansen, K.H., and Clifton-Hadley, R.S., 2006. Ante mortem diagnosis of tuberculosis in cattle: A review of tuberculin tests g-interferon assay and other ancillary diagnostic techniques. Research in Veterinary Science. 83: 190–210. 10.1016/j.rvsc.2005.11.005

Dergal, N.B., Ghermi, M., Imre, K., Morar, A., Acaroz, U., and Arslan-Acaroz, D., 2021. Estimated prevalence of tuberculosis in ruminants from slaughterhouses in Constantine Province (Northeastern Algeria): A 10-year retrospective survey (2011–2020). Life. 13: 817. 10.3390/life13030817

Dibaba, A.B., Daborn, C.J., Cadmus, S., and Michel, A., 2019. The current status of bovine tuberculosis in Africa. In: Tuberculosis in animals: An African perspective. Cham: Springer. pp. 15–30. 10.1007/978-3-030-18690-6_2

Elagdar, A., Edris, A., Moustafa, S., and Heikal, G., 2022. Prevalence of tuberculosis in bovine slaughtered animals and suspected patients in Gharbia governorate. Benha Veterinary Medical Journal. 43: 95–99. 10.21608/bvmj.2022.160378.1586

Elbarbary, N.K., Darwish, W.S., Fotouh, A., and Mohamed K.D., 2024. Unveiling the mix-up: investigating species and unauthorized tissues in beef-based meat products. BMC Veterinary Research. 20: 380. 10.1186/s12917-024-04223-4

El-Gedawy, A., El Shazly, Y., and El sheikh, H., 2022. A comparative study between some diagnostic techniques in diagnosis of bovine tuberculosis. New Valley Veterinary Journal. 2: 1–8. 10.21608/nvvj.2022.224022

Elsohaby, I., Alahadeb, J.I., Mahmmod, Y.S., Mweu, M.M., Ahmed, H.A., and El-Diasty, M.M., 2021. Bayesian estimation of diagnostic accuracy of three diagnostic tests for bovine tuberculosis in Egyptian dairy cattle using latent class models. Veterinary Science. 8: 246. 10.3390/vetsci8110246

FAOLEX, 2012. Food and Agriculture Organisation of the United Nations. Female Cattle (Prohibition of Slaughter and Spaying) Regulations (Cap. 103), Rome. Available from: https://faolex.fao.org/docs/pdf/van51577.pdf

GOVS, 1986. General Organization for Veterinary Services, Law (517).

Habitu, T., Demelash, A., Adrian, M., Girum, T., Eystein, S., and Tadesse, G., 2019. Prevalence and risk factors analysis of bovine tuberculosis in cattle raised in mixed crop-livestock farming system in Tigray region, Ethiopia. Transboundary and Emerging Diseases. 66: 488–496. 10.1111/tbed.13050

Hamed, Y., Nasr, E., Azooz, M., and Youssef, H., 2021. Prevalence and risk factors of bovine tuberculosis in dairy cattle farms in Egypt. Iraqi Journal of Veterinary Sciences. 35: 351–359. 10.33899/ijvs.2020.126850.1399

Hasanen, F.S., Hassan, M.A., and Moawad, E., 2017. Studies on Tuberculosis in Slaughtered Animals at Menufia Governorate. Benha Journal of Applied Sciences. 2: 99–102. 10.21608/bjas.2017.165726

Heidi, B., 2017. Body Condition Scoring Resource Center. [cited 2020 Sep 09]. Available from: https://nagonline.net/3877/bodycondition-scoring/

Hekal, S.H.A., Al-Gaabary, M.H., El-Sayed, M.M., Sobhy, H.M., and Fayed, A.A., 2019. Seroprevalence of some Infectious transboundary diseases in cattle imported from Sudan to Egypt. Journal of Advanced Veterinary and Animal Research. 6: 92–99. 10.5455/javar.2019.f318

Herenda, D.C., Chambers, P.G., and Ettriqui, A., 1994. Manual on meat inspection for developing countries. Rome, Italy: Food & Agriculture Org., FAO. pp. 1–357.

Isihak, F.A., Hassan, S.M., Shaker, B.Z., and Salih, Y.A., 2020. Follow up the antibodies titer against Newcastle disease virus in broiler breeders using ELISA test. Iraqi Journal of Veterinary Sciences. 34: 295–299. 10.33899/ijvs.2019.125931.1189

Kanyala, E., Shuaib, Y.A., Schwarz, N.G., Andres, S., Richter, E., and Sawadogo, B., 2022. Prevalence and molecular characterization of Mycobacterium bovis in slaughtered cattle carcasses in Burkina Faso; West Africa. Microorganisms. 10: 1378. 10.3390/microorganisms10071378

Kapalamula, T.F., Kawonga, F., Shawa, M., Chizimu, J., Thapa, J., and Nyenje, M., 2023. Prevalence and risk factors of bovine tuberculosis in slaughtered cattle, Malawi. Heliyon. 9: e13647. 10.1016/j.heliyon.2023.e13647

Kazwala, R.R., D.M. Kambarage, C.J, Daborn, J, Nyange, S.F.H., and Jiwa, J.M., 2001. Sharp, Risk factors associated with the occurrence of bovine tuberculosis in cattle in the Southern Highlands of Tanzania. Veterinary Research Communications. 25: 609–614. 10.1023/A:1012757011524

Kemal, J., Sibhat, B., Abraham, A., Terefe, Y., Tulu, K.T., Welay, K., et al., 2019. Bovine tuberculosis in eastern Ethiopia: Prevalence, risk factors and its public health importance. BMC Infectious Diseases. 19: 1–9. 10.1186/s12879-018-3628-1

Kuria, J.K., 2019. Diseases caused by bacteria in cattle: Tuberculosis. In: El-Sayed Kaoud, H.A., editor. Bacterial cattle diseases; London, UK: IntechOpen.

Lawan, F.A., Ejeh, E.F., Waziri, A., Kwanashie, C.N., Kadima, K.B., and Kazeem, H.M., 2020. Prevalence of tuberculosis in cattle slaughtered at Maiduguri Central aAbattoir, Nigeria. Sahel Journal of Veterinary Sciences. 17: 14–21. 10.54058/saheljvs.v17i3.167

Mekonnen, G.A., Conlan, A.J., Berg, S., Ayele, B.T., Alemu, A., and Guta, S., 2019. Prevalence of bovine tuberculosis and its associated risk factors in the emerging dairy belts of regional cities in Ethiopia. Preventive Veterinary Medicine. 168: 81–89. 10.1016/j.prevetmed.2019.04.010

Mekonnen, G.A., Mihret, A., Tamiru, M., Hailu, E., Olani, A., and Aliy, A., 2020. Genotype diversity of Mycobacterium bovis and pathology of bovine tuberculosis in selected emerging dairy regions of Ethiopia. Frontiers in Veterinary Science. 7: 553940. 10.3389/fvets.2020.553940

Michel, A.L., Müller, B., and van Helden, P.D., 2010. Mycobacterium bovis at the animal-human interface: A problem, or not? Journal of Veterinary Microbiology. 140: 371–381. 10.1016/j.vetmic.2009.08.029

Ministry of Egyptian Agriculture: Law 53 for 1966 and 207 for 1980. https://api.worldanimalprotection.org/country/egypt

Moiane, I.A., Machado, N., Santos, A., Nhambir, O., Inlamea, J., and Hattendorf, G., 2014. Prevalence of bovine tuberculosis and risk factor assessment in cattle in rural livestock areas of Govuro District in the southeast of Mozambique, PLoS One. 9: e91527. 10.1371/journal.pone.0091527

Munyeme, M.L., Rigouts, I.C., Shamputa, J.B., Muma, M., Tryland, E., and Skjerve, B., 2009. Isolation and characterization of Mycobacterium bovis strains from indigenous Zambian cattle using spacer oligonucleotide typing technique. BMC Microbiology. 9: 1–8. 10.1186/1471-2180-9-144.

Nasr, E.A., Marwah, M., Abdel Rahman, M., and Shafeek, H., 2016. Comparison of modified decontamination methods with culture systems for primary isolation of Mycobacterium bovis from bovine tissues. Benha Veterinary Medical Journal. 30: 59–67. 10.21608/bvmj.2016.31346

OIE, 2015. Office International des Epizooties (OIE) Terrestrial manual: Bovine tuberculosis, World Health Organization for Animal Health URL, https://www.oie.int/en/animal-health-in-the-world/animal-diseases/Bovine-tuberculosis/.

Pollock, J.M., McNair, J., Welsh, M.D., Girvin, R.M., Kennedy, H.E., Mackie, D.P., and Neill, S.D., 2001. Immune responses in bovine tuberculosis. Tuberculosis. 81: 103–107. 10.1054/tube.2000.0258

Reddington, J., Siobhan, S., Dick, V., and Thomas, B., 2011. A novel multiplex real-time PCR for the identification of mycobacteria associated with zoonotic tuberculosis. PLoS One. 6: 23481. 10.1371/journal.pone.0023481

Sabry, M., and Elkerdasy, A., 2014. polymerase chain reaction and enzyme linked immunosorbent assay-based approach for diagnosis and differentiation between vaccinated and infected cattle with Mycobacterium bovis. Journal of Pharmacy and Bioallied Sciences. 6: 115–121. 10.4103/0975-7406.126584

Saidu, A.S., Okolocha, E.C., Gamawa, A.A., Babashani, M., and Bakari, N.A., 2015. Occurrence and distribution of bovine tuberculosis (Mycobacterium bovis) in slaughtered cattle in the abattoirs of Bauchi State, Nigeria. Veterinary World. 8: 432–437. 10.14202/vetworld.2015.432-437

Sallam, K.I., Abd-Elghany, S.M., Hussein, M.A., Imre, K., Morar, A., Morshdy, A.E., et al., 2020. Microbial decontamination of beef carcass surfaces by lactic acid, acetic acid, and trisodium phosphate sprays. BioMed Research International. 2020: 2324358. 10.1155/2020/2324358

Shang, X., and Tonsor, G.T., 2017. Food safety recall effects across meat products and regions. Food Policy. 69: 145–153. 10.1016/j.foodpol.2017.04.002

Singhla, T., and Boonyayatra, S., 2022. Prevalence, risk factors, and diagnostic efficacy of bovine tuberculosis in slaughtered animals at the Chiang Mai Municipal abattoir, Thailand. Frontiers in Veterinary Science. 9: 846423. 10.3389/fvets.2022.846423

Thrusfield, M., Christley, R., and Brown, H., 2017. Veterinary epidemiology. 4th ed. Edinburgh, UK: Wiley-Blackwell; pp. 1–861.

Van Soolingen, D., Hermans, P.W.M., De Haas, P.E., Soll, D.R., and Van Embden, J.D.A., 1991. Occurrence and stability of insertion sequences in Mycobacterium tuberculosis complex strains: Evaluation of an insertion sequence-dependent DNA polymorphism as a tool in the epidemiology of tuberculosis. Journal of Clinical Microbiology. 29: 2578–2586. 10.1128/jcm.29.11.2578-2586.1991

Wadhwa, A., Hickling, G.J., and Eda, S., 2012. Opportunities for improved serodiagnosis of human tuberculosis, bovine tuberculosis, and paratuberculosis. Veterinary Medicine International. 2012: 674238. 10.1155/2012/674238

Wards, B.J., Collins, D.M., and De Lisle, G.W., 1995. Detection of Mycobacterium bovis in tissues by polymerase chain reaction. Veterinary Microbiology. 43: 227–240. 10.1016/0378-1135(94)00096-f

WHO, 1998. World Health Organization. Laboratory services in tuberculosis control. Geneva Switzerland: Part II: Microscopy. World Health Organization; pp. 1–63.

WHO, 2017. Roadmap for zoonotic tuberculosis. © World Heal Organ (WHO), Food Agric Organ United Nations & World Organ Anim Heal; 2017. Geneva, 1–20. https://apps.who.int/iris/handle/10665/259229

Willeberg, P.W., McAloon, C.G., Houtsma, E., Higgins, I., Clegg, T.A., and More, S.J., 2018. The herd-level sensitivity of abattoir surveillance for bovine tuberculosis: Simulating the effects of current and potentially modified meat inspection procedures in Irish cattle. Frontiers in Veterinary Science. 5: 82. 10.3389/fvets.2018.00082

Woldemariyam, F.T., Markos, T., Shegu, D., Abdi, K.D., and Paeshuyse, J., 2021. Evaluation of postmortem inspection procedures to diagnose bovine tuberculosis at Debre Birhan Municipal abattoir. Animals. 11: 2620. 10.3390/ani11092620