Download

Original Article

Effect of egg type and storage conditions on the quality of crispy Thai pancake (Thong Phap)

Sunisa Siripongvutikorn1, Worapong Usawakesmanee1*, Ponruedee Sud-on2

1Centre of Excellence in Functional Foods and Gastronomy, Faculty of Agro-Industry Prince of Songkla University, Hat Yai, Songkhla, Thailand;

2Faculty of Agro-Industry Prince of Songkla University, Hat Yai, Songkhla, Thailand

Abstract

Eggs were stored within 24 h after laying at 4±2oC and 28±2oC for 25 days (d). Egg quality was monitored during cold and room temperature storage for producing Thong Phap. Longer storage time led to an increase in weight loss and pH, while the Haugh Unit (H.U.) and viscosity of the egg white decreased. Eggs stored at a higher temperature, particularly duck eggs, exhibited faster parameter changes. The main protein types in duck and chicken egg whites determined by SDS-PAGE were ovalbumin, ovotransferrin, and ovomucin. Microbial standards indicated that the shelf life of duck eggs was lower than chicken eggs. Na, P, and K contents of duck egg white were higher than a chicken egg, while storage temperature and time did not significantly affect mineral content.

Key words: egg white, quality, mineral, protein, cold storage, room temperature storage

*Corresponding Author: Worapong Usawakesmanee, Centre of Excellence in Functional Foods and Gastronomy, Faculty of Agro-Industry, Prince of Songkla University, Hat Yai, Songkhla, 90110, Thailand. Email: [email protected]

Received: 9 November 2023; Accepted: 1 December 2023; Published: 16 January 2024

DOI: 10.15586/ijfs.v36i1.2433

© 2024 Codon Publications
This is an Open Access article distributed under the terms of the Creative Commons Attribution-NonCommercial-ShareAlike 4.0 International (CC BY-NC-SA 4.0). License (http://creativecommons.org/licenses/by-nc-sa/4.0/)

Introduction

Bird eggs are a cheap protein source containing high essential amino acids. They are used in main courses, desserts, and drinks as well as ingredients for various types of prepared food (Kaewmanee et al., 2009). In Thailand, three types of bird eggs chicken, duck, and quail are widely consumed (Nys and Guyot, 2011). Eggs are classified as high-protein food like milk, fish, and meat. They have low-fat content and contain minerals and vitamins (Jirangrat et al., 2010; Kaewmanee et al., 2009; Lomakina and Mikova, 2006).

Generally, bird eggs without a cracked shell and laid in good condition can be kept for 2–3 weeks at room temperature and longer under refrigeration (Jirangrat et al., 2010). Egg freshness quality is determined by the Haugh Unit (H.U.). As freshness decreases the viscosity of the egg white reduces and becomes watery with weight loss, CO2 loss, and increased pH (Akyurek and Okur, 2009; Huang et al., 2012). Egg protein patterns from size, affect functional properties such as gelling and foaming ability during storage. Foaming of protein is related to its viscosity, leading to cooling ability (Özer and Cansu, 2020; Ramamurthy and Krishnan, 2022).

Thong Phap is a traditional crispy Thai snack, normally made from eggs mixed with flour, coconut milk, and Palmyra palm sugar. However, no scientific data are available on optimal egg type and freshness to produce this product. People with a high prevalence of chronic kidney disease (CKD) must control various nutritional components including minerals and fat. This experiment determined the quality changes in duck and chicken eggs during storage at 4±2oC and 28±2oC. Egg white from eggs stored under each condition was used to make Thong Phap and the product was evaluated for quality.

Materials and Methods

Materials

Newly laid duck and chicken eggs were sourced. Duck eggs were bought from a farmer in Singhanakorn district, Songkhla Province while chicken eggs were obtained from the Faculty of Natural Resources, Prince of Songkla University. The eggs were transported to the Food Technology Department within 24 h. Other ingredients consisted of tapioca flour (Fish, Kriangkrai Co., Ltd., Thailand), rice flour (Bangkok Interfood Co., Ltd.), coconut milk (Chaokoh, Theppadung Coconut Co., Ltd., Thailand), and Palmyra palm sugar (Taltai, Part., Ltd., Thailand). Chemicals to evaluate the microbiological properties including peptone water, tetrathionate (TTH) broth, Rappaport-Vassilliadis (RV) medium, brilliant green with novobiocin (BGN) agar, and xylose lysine Tergitol 4 (XLT4) agar were purchased from BD and Logo (Becton, Dickinson, France).

Methods

Whole egg preparation

The eggs were washed and dried on tissue paper for 10 min. Then, half of the eggs were stored in a plastic box without a cover at room temperature (28±2oC) and the other half were refrigerated (4±2oC). Eggs kept for 0, 5, 10, 15, 20, and 25 days (d) were used for the experiments.

Weight loss

Fifteen eggs of each type and storage condition were weighed on each testing day using an analytical balance to determine the weight loss (Akter et al., 2014).

Haugh Unit

The eggs were cracked open and a digital Haugh tester was used to measure the Haugh Unit (H.U.). The height of each egg was recorded and the H.U. was calculated using the following equation (Alshaikhi et al., 2020).

H.U. = 100 log 10 (H-1.7W0.37 + 7.6)

where, H = egg white height (mm) and W = egg weight (g)

Egg white preparation

Fifteen chicken and duck eggs from each storage condition were cracked and the egg yolk was separated using a spoon, with only the egg white used for analysis.

pH

The pH of the egg white was measured using a pH meter (Sartorius AG, Docu-pH+ Meter, Gottingen, Germany).

Viscosity

Egg white (300 mL) of each type was determined for viscosity on measurement days using a rheometer (Rheostress RS100, Haake, Karlsruhe, Germany) as a function of shear rate (Souza and Fernández, 2013; Spada et al., 2012).

Protein pattern

The protein patterns of duck and chicken egg whites from each storage day were determined following the method of Kaewmanee et al. (2009) using 4% stacking gel and 12% separating gel. The egg white was mixed with 10% SDS and heated at 85oC for 1 h before analysis of protein concentration by the Biuret method (Rojas et al., 2019), using bovine serum albumin (BSA) as the standard. A broad range molecular weight protein marker (10–250 kDa) and sample concentration at 15 µg/mL protein were loaded into the gel. The electrophoresis was conducted using a Bio-Rad Mini-Protean II system with a constant voltage of 200 V/plate. The gel was stained with Coomassie Blue R-125 in 25% methanol and 10% acetic acid for 1 h, and then subsequently destained with 40% methanol and 10% acetic acid.

Microbiological quality

Total viable counts for E. coli (Feng et al., 2020) and S. aureus (Tallent et al., 2016) were carried out, while Salmonella spp. was determined using the standard U.S. FDA (2008) method.

Mineral content

The egg white was dried in a hot air oven at 65°C for 24 h and kept in a closed plastic container in a desiccator until used. Dried egg white powder from each condition was determined for mineral content (Na, P, and K) using an Inductively Coupled Plasma Optical Emission Spectrometer (ICP-OES) with a Perkin Elmer Optima 4300DV (Lante et al., 2006).

Thong Phap preparation

Egg white containing a total viable count lower than 104 CFU/g sample with no E. coli, S. aureus, and Salmonella spp. detected in a sample of 25 g was selected to produce Thong Phap. The formulation of Thong Phap consisted of egg white, flour, Palmyra palm sugar, coconut milk, and water at 39.11%, 32.42%, 12.62%, 14.85%, and 1.00%, respectively. The egg white, flour, and Palmyra palm sugar were mixed before adding the coconut milk and water. The mixture was well-mixed into a slurry, and then 1 teaspoon (5 mL) was heated in a Thong Phap machine at 150oC for 50 to 65 s until the water was no longer vaporized. The product was folded in half, then folded again into quarters, and cooled at room temperature for one minute. Finished products were packed in a locked box and kept at ambient temperature before analysis. Texture analysis was conducted on the product without folding.

Texture profile analysis

Fifteen pieces of unfolded Thong Phap were subjected to texture profile analysis (TPA) using a texture analyzer (TA-XT2i, Stable Micro Systems, Surrey, England) with an HDP/90 perforated platform and a 50 kg load cell at a speed of 1 mm/s. The samples were placed on the base of the instrument and evaluated for fracturability, brittleness, and hardness.

Statistical analysis

All measurements were recorded 10 times, except for pH and mineral content which were repeated five times and reported as mean ± standard deviation. A factorial design (2x2x7) was applied to determine the physical and chemical properties, while the paired samples t-test was used to compare the results of the two storage temperatures. Samples of different egg types were analyzed using the independent t-test. All data were subjected to analysis of variance, with Duncan’s multiple range test used to determine significant differences among means. Analysis of variance was performed for regression using a mathematical model, with significant differences defined at p<0.05.

Result and Discussion

Weight loss of whole egg

Weight loss of duck and chicken eggs stored in a cold room and at room temperature related to increased storage temperature and time (p<0.05) is shown in Figure 1. Spada et al. (2012) reported that whole egg and egg white consisted of 75% and 83% moisture content, respectively. At higher storage temperatures, weight loss was more pronounced. Weight losses of chicken and duck eggs stored at room temperature (28±2oC) for 25 d were 4.04% and 4.34%, respectively. A significant difference in weight loss was noticed at room temperature after 1 d storage for duck eggs and 5 d storage for chicken eggs. Higher weight loss at higher temperatures indicated increased dehydration (Akter et al., 2014). During storage, moisture and CO2 evaporate through the eggshell (Akter et al., 2014; Grashorn, 2016). As more water and CO2 evaporated, weight loss and pH increment increased; therefore, egg quality was reduced. Results indicated that duck eggs lost more weight faster compared with chicken eggs due to the thickness of the shell membrane, thickness of the eggshell, and pore size. Generally, the eggshell is porous and can exchange gas, while the two shell membranes (inner and outer) connecting to the eggshell prevent bacterial contamination (Maysuoka et al., 2019). Hargitai et al. (2011) reported that shell thickness was affected by nutrition intake, especially calcium, with better nutrition producing a thicker shell. Akyurek and Okur (2009) reported that the thickness of the shell membrane, eggshell thickness, and pore size were affected by bird age. Young birds produced thicker shells with smaller pore sizes than older hens that lacked calcium carbonate.

Figure 1. Weight loss of duck eggs and chicken eggs at different storage days and temperatures; different uppercase letters indicate significant differences between treatments (p<0.05); different lowercase letters indicate significant differences between treatments (p<0.05); * mean significant differences of duck egg at cold room temperature (DC), chicken egg at cold room temperature (CC), duck egg at room temperature (DR), and chicken egg at room temperature (CR) at day 0 (Fa, Ea, Fa, and Fa) and day 1 (EFb, Eb, Ea, and Fb), respectively.

Haugh Unit of whole egg

Newly laid eggs had thick and thin zones of egg white after cracking. The Haugh Unit (H.U.) is used to measure the freshness of a bird egg (Akter et al., 2014). The higher the H.U., the fresher the egg. At longer storage time the egg white became flatter and thinner. Statistical analysis indicated that the H.U. value mainly depended on storage temperature and time. Results revealed that duck eggs lost their freshness faster than chicken eggs, in line with higher weight loss due to higher eggshell porosity. The H.U. value decreased as storage time increased, as shown in Figure 2, with carbonic acid converting to form CO2. Higher CO2 loss gave reduced egg white height, with decreased viscosity and thickness (Kocetkovs et al., 2022). Lysozyme is an antibacterial enzyme that functions with ovomucin to make the egg white viscous (Mine and Zhang, 2013; Wang et al., 2019). The lysozyme enzyme is activated at a pH value of around 8 and proteolysis occurs which also facilitates CO2 loss (The Poultry Site, 2014), while increased water in the system leads to reduced viscosity. The egg yolk absorbs water from the egg white and its size increases. Enlargement and weakness of the vitelline membrane occur, giving a flat yolk (The Poultry Site, 2014). The Thai Agricultural Commodity and Food Standards (2010a;b) grades eggs following the USDA into three groups based on freshness. H.U. ≥ 72 is AA, 60–71 is A, and < 60 is B. Results showed that duck eggs were AA during the first 10 d and 5 d when kept in the cold room (4±2oC) and at room temperature (28±2oC), respectively while chicken eggs were AA during the first 15 d and 5 d stored in the cold room (4±2oC) and at room temperature (28±2oC), respectively.

Figure 2. Haugh Unit values of duck eggs and chicken eggs at different storage days and temperatures; different uppercase letters indicate significant differences between treatments (p<0.05); different lowercase letters indicate significant differences between treatments (p<0.05); * mean significant differences of duck egg at cold room temperature (DC), chicken egg at cold room temperature (CC), duck egg at room temperature (DR), and chicken egg at room temperature (CR) at day 0 (Aa, Aa, Aa, and Aa), day 1 (Bb, Bb, Bc, and Ba), and day 5 (Cb, Ca, Cd, and Cc), respectively.

Egg white

pH

The pH of the egg white increased as storage time and temperature increased, as shown in Figure 3 (p<0.05). The pH of both chicken and duck eggs kept at room temperature significantly increased as storage time increased. Interestingly, the initial pH of duck eggs was higher than chicken eggs, possibly related to blood characteristics. Fresh eggs contain CO2 which dissolves and forms carbonate, bicarbonate, carbonic acid, and gas inside the eggshell, giving a neutral pH of egg white (Banerjee et al., 2011). Gas is transmitted into the air through pore canals along with water, with a pH shift to the alkaline range. Banerjee et al. (2011) reported the pH of fresh chicken eggs as 7.6 to 8.5, while Chaiyasit et al. (2019) reported the initial pH of duck eggs at 9.0. During storage, proteolysis of egg white occurs, leading to quality deterioration, with the pH of albumen increasing and becoming more alkaline (Akter et al., 2014). Egg quality, as determined by the H.U. value, decreases along with functional properties including viscosity, gelling, and foaming ability (Akter et al., 2014).

Figure 3. pH of egg white from duck eggs and chicken eggs at different storage days and temperatures; different uppercase letters indicate significant differences between treatments (p<0.05); different lowercase letters indicate significant differences between treatments (p<0.05); * mean significant differences of duck egg at cold room temperature (DC), chicken egg at cold room temperature (CC), duck egg at room temperature (DR), and chicken egg at room temperature (CR) at day 0 (Ca, Fb, Da, and Db) and day 1 (Cb, Ec, Cab, and Ca), respectively.

Weight loss, H.U., and pH values showed that chicken eggs were of higher quality and had longer shelf life than duck eggs due to three factors: (1) cuticle maturity, (2) eggshell thickness, and (3) eggshell membrane. The cuticle is a thin organic layer coating the eggshell that reduces porosity and inhibits microbial invasion (Liu et al., 2016; Munoz et al., 2015). Munoz et al. (2015) reported that the cuticle was not constant, based on chicken maturity. Young hens (<25 w) and old hens (>40 w) have less amounts of cuticle than hens aged 35 w. Similar, to this experiment, eggs were obtained from ducks aged 40 w and hens aged 35 w; therefore, duck eggs might have reduced cuticle, shell, or shell membrane thickness. The eggshell membrane is a layer covering the inside of the egg which is related to lysozyme function. The initial pH of duck eggs was around 9, while the initial pH of chicken eggs was around 8, thus lysozyme activation to hydrolyse the eggshell membrane in duck eggs was faster than in chicken eggs (Liu et al., 2016).

Viscosity

Viscosity decreased during storage with increasing time and temperature (p<0.05) (Figure 4). Chaijan (2011) reported that during storage egg white became thinner, with proteolytic enzyme activity leading to reduced viscosity. During storage, the function of ovomucin-lysozyme which determines the viscosity in albumen also destabilized. When pH increased, because of CO2 escaping into the air, the viscosity of the egg white declined (Kocetkovs et al., 2022). Lower H.U. values indicate reduced viscosity. The initial viscosity of duck eggs was higher than chicken eggs (p<0.05) because of less water content (Chaiyasit et al., 2019; Mine and Zhang 2013) and high albumen content, as explained later. The viscosity of duck eggs significantly declined to lower than chicken eggs after storage for 5 d because the proteolytic enzyme activity of duck eggs was higher compared with chicken eggs, as mentioned earlier.

Figure 4. The viscosity of egg white from duck eggs and chicken eggs at different storage days and temperatures; different uppercase letters indicate significant differences between treatments (p<0.05); different lowercase letters indicate significant differences between treatments (p<0.05); * mean significant differences of duck egg at cold room temperature (DC), chicken egg at cold room temperature (CC), duck egg at room temperature (DR), and chicken egg at room temperature (CR) at day 0 (Aa, Ab, Aa, and Ab), day 1 (Aa, Bb, Aa, and Bb), and day 5 (Ba, BCa, Ba, and Ca), respectively.

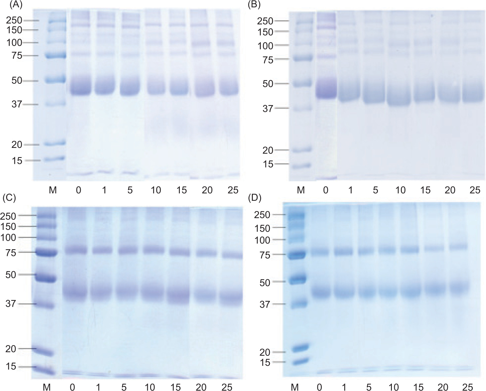
Protein pattern

Figure 5 shows the protein patterns from SDS-PAGE analysis of duck and chicken egg whites stored at 4oC and room temperature at 0, 1, 5, 10, 15, 20, and 25 d. Both egg white types contained proteins with molecular weights (MWs) of 47, 77, and 220 kDa; however, MWs of 80 and 110 kDa were only found in duck egg white. Ovalbumin (MW 47 kDa) was a major component (54%), concurring with Kaewmanee et al. (2009) and Mine and Zhang (2013). Ovotransferrin or conalbumin with MW 76–80 kDa normally bind with metal ions and form protein-metal complexes resistant to denaturation (Baharuddin et al., 2020; Alleoni, 2006), while the protein with MW 110 kDa was ovomucin (Mine and Zhang, 2013). Protein with MW of 220 kDa found in egg white as ovomucin was related to thickness and viscous properties (Mine and Zhang, 2013; Wang et al., 2019). The SDS-PAGE analysis showed that larger molecules became smaller, indicating proteolytic characteristics during storage (Barać et al., 2013).

Figure 5. SDS-PAGE pattern of egg white protein from duck eggs and chicken eggs at different storage days and temperatures. Duck egg white stored at cold room temperature (4±2oC) (A) and room temperature (28±2oC) (B), and chicken egg white stored at cold room temperature (4±2oC) (C) and room temperature (28±2oC) (D) on 4–12% Bis-Tris gel stained with Coomassie brilliant blue. Lane 1–7: egg white protein at 0, 1, 5, 10, 15, 20, and 25 d; M: molecular weight standard.

Generally, H.U., viscosity, and SDS-PAGE results agreed and supported each other. Higher H.U., values indicated lower viscosity and lower molecular weight.

Mineral content

Mineral contents including sodium, phosphorus, and potassium of egg white are shown in Table 1. Storage at two different temperatures did not result in any change in mineral content because the elements in the minerals were not sensitive to time and temperature. Egg white was not a good source of compounds compared with egg yolk, while duck egg white was higher in sodium and potassium compared with chicken egg white. The important nutrition in egg whites is protein (Mine and Zhang, 2013). Therefore, CKD patients should eat egg whites from chicken eggs to prevent ingestion of excess minerals that could harm the kidneys.

Table 1. Mineral content (mg/100 g DW) of egg white from duck eggs and chicken eggs at different storage days and temperatures.

Storage condition Day Duck eggs Chicken eggs
Na P K Na P K
Cold room 1 179.00±1.00AaX 12.23±0.02AaX 155.00±2.65BaX 147.67±2.08BaX 8.99±0.56BaX 169.00±2.65AaX
End* 179.00±1.00AaX 12.20±0.04AaX 153.00±2.00BaX 147.33±1.53BaX 8.75±0.73BaX 168.67±2.08AaX
Room temperature 1 181.33±1.15AaX 12.213±0.02AaX 155.33±1.53BaX 149.00±2.65BaX 8.98±0.61BaX 163.00±2.65AaX
End* 179.33±1.53AaX 12.213±0.01AaX 154.33±1.53BaX 149.00±3.6BaX 8.84±0.51BaX 165.33±2.08AaX

*The end-of-day storage of duck eggs at cold room temperature, duck eggs at room temperature, chicken eggs at cold room temperature, and chicken eggs at room temperature were 15 d, 10 d, 20 d, and 15 d, respectively. Different uppercase case superscripts in the same mineral type indicate significant differences in egg types (p<0.05). Different lowercase superscripts in the same mineral type indicate significant differences in temperature (p<0.05). Different superscripts(X-Y)in the same mineral type indicate significant differences in storage days (p<0.05).

Microbial growth

Microbial growth in egg white types tended to increase as storage time and temperature increased. At the higher temperature, the increase in microbial content was more pronounced. According to the Department of Agriculture (2005), the level of total viable count (TVC) must not be over 106 CFU/g sample with no Salmonella sp. In this study, E. coli and S. aureus were also measured for contamination control. Results showed that no Salmonella sp., E. coli, or S. aureus were detected even when TVC increased from 103 to 104 CFU/g (Table 2), indicating that the practical technique used during storage was good enough to not break the eggshell, and sanitation before and after harvesting the eggs was fair. Chicken eggs had a longer shelf life compared with duck eggs. The shells of duck eggs are thicker and should have a longer shelf life. However, the sanitation of small duck farmers cannot be comparable to professional chicken farms. Duck farms in Thailand are mainly small-scale enterprises, while chicken farming is a large commercial business controlled by the Veterinary Department. As previously mentioned, duck eggs were obtained from ducks aged 40 w with thinner eggshells and shell membranes than eggs from chicken. However, both chicken and duck eggs kept at room temperature (28±2oC) for 14 d were classified as fair B grade quality.

Table 2. Microbial counts (CFU/g) of egg white from duck eggs and chicken eggs at different storage days and temperatures.

Storage condition Day Duck eggs Chicken eggs
TVC Salmonella sp. E. coli S. aureus TVC Salmonellasp. E. coli S. aureus
Cold room 0 <10 ND ND ND <10 ND ND ND
1 <10 ND ND ND <10 ND ND ND
5 <250 ND ND ND <10 ND ND ND
10 4.3x102 ND ND ND <30 ND ND ND
15 9.3x103 ND ND ND 9.6×102 ND ND ND
20 >104 ND ND ND 1.75×103 ND ND ND
25 >104 ND ND ND >104 ND ND ND
Room temperature 0 <10 ND ND ND <10 ND ND ND
1 <10 ND ND ND <10 ND ND ND
5 4.7x102 ND ND ND <250 ND ND ND
10 1.03x103 ND ND ND 1.47×102 ND ND ND
15 >104 ND ND ND 9.7×103 ND ND ND
20 >104 ND ND ND >104 ND ND ND
25 >104 ND ND ND >104 ND ND ND

ND means not detected.

Thong Phap production

Slurry viscosity

The slurry viscosity of each egg type and storage condition is shown in Figure 6, with a decrease as storage time increases (p<0.05). This result is related to the viscosity of egg whites. At day 0, the slurry from duck egg whites had a higher viscosity than chicken egg whites because duck egg whites contained ovomucin with two molecular weight ranges (110 and 220 kDa), while chicken egg whites contained only 110 kDa (Alleoni, 2006; Mine and Zhang, 2013). Slurry viscosity in both duck and chicken egg whites decreased along with aging.

Figure 6. Viscosity of Thong Phap slurry made from duck egg white and chicken egg white at different storage days and temperatures; different uppercase letters indicate significant differences between treatments (p<0.05); different lowercase letters indicate significant differences between treatments (p<0.05); * mean significant differences of duck egg at cold room temperature (DC), chicken egg at cold room temperature (CC), duck egg at room temperature (DR), and chicken egg at room temperature (CR) at day 0 (Aa, Ab, Aa, and Ab), day 1 (Ba, ABa, Ba, and Aa), and day 5 (Ba, ABa, Cab, and Bc), respectively.

The TVC of egg white must not exceed 104 CFU/gram with no Salmonella sp., E. coli, and S. aureus detected. Results showed that duck eggs could be kept at cold room temperature and room temperature longer than 15 and 10 d, while chicken eggs kept at the same conditions longer than 20 and 15 d, respectively were not safe to eat. Hence, eggs of these ages were selected for the next study.

Texture of Thong Phap

The texture of Thong Phap presented a fracturability and hardness as shown in Table 3. As mentioned earlier, the fracturability indicated is measured as the first bite force to rupture the sample (Duizer, 2001) and reflects crispness, while hardness is the force required for breaking (Bruwer et al., 2007; Duizer, 2001), indicating strength or stickiness. An increase in product fracturability was noticed with longer storage time due to decreased functional properties of protein as viscosity and protein pattern which is related to H.U. By contrast, reduced fracturability in duck eggs was due to the higher protein content, especially ovomucin.

Table 3. Fracturability and hardness (N) of Thong Phap made from duck egg white and chicken egg whites at different storage days and temperatures.

Egg condition Cold room Room temperature
Fracturability Hardness Fracturability Hardness
Duck egg at day 1 16.86±1.13AaX 19.89±1.02AaX 16.64±1.11AaX 19.69±0.94AaX
Duck egg at the end of storage 17.73±0.94AaY 19.07±0.91AaX 17.80±0.90AaY 19.26±1.16AaX
Chicken egg at day 1 17.78±1.15BaX 19.14±1.22AaX 17.79±0.96BaX 19.39±0.93AaX
Chicken egg at the end of storage 18.75±0.94BaY 18.94±0.87AaX 18.62±0.75BaY 18.82±0.78AaX

*The end-of-day storage of duck eggs at cold room temperature, duck eggs at room temperature, chicken eggs at cold room temperature, and chicken eggs at room temperature were 15 d, 10 d, 20 d, and 15 d, respectively. Different superscripts (A-B) in the same texture indicate significant differences in egg types (p<0.05). The same superscript (a) in the same texture indicates the non-significant differences in temperatures (p>0.05). Different superscripts(X-Y) in the same texture indicate significant differences in storage days (p<0.05).

Thong Phap selection

The Thong Phap product was aimed at CKD patients in stages 1–3 who required 0.6–0.8 g/kg body weight of essential amino acids (The Nephrology Society of Thailand, 2012; The Nephrology Society of Thailand, 2015). Thong Phap produced from duck egg whites contained protein at 4.74 g/serving size, while the product prepared from chicken egg whites contained protein at 4.64 g/serving size (4 pieces, 52 g) (Table 4). When compared with RDI, one serving of Thong Phap from duck and chicken egg whites contained protein of 13.17% and 12.89% of RDI and was classified as a source of protein (at least 12% of the energy value of the food is provided by protein) (European Commission, 2012). Costing of the product (Table 5) indicated that duck eggs were more expensive compared with the product produced from chicken eggs. Hence, chicken eggs were chosen to produce Thong Phap. To guarantee product quality, 20 d of storage of chicken eggs was selected for further study.

Table 4. Protein quantity of egg white for producing Thong Phap per 52 g serving size.

Egg type Protein content
(g)
Protein content compared with RDI (%)
Duck eggs 4.74 13.17
Chicken eggs 4.64 12.89

Table 5. Quantity and cost of egg white to produce Thong Phap per 52 g serving size.

Characteristic Duck eggs Chicken eggs
Weight Whole egg content (g) 65 70
Egg white content (g) 35 (53.85%) 45 (64.29%)
Egg white content
(egg/kg slurry)
425 425
Egg white
(egg/kg slurry)
12 9
Whole egg
(Baht/egg)
5 3.90
Cost Egg white
(Baht/kg slurry)
60 35.10
Times X 0.6X

Conclusions

Storage time affected egg quality with increased weight loss, pH, and microbiological load but lower H.U. and viscosity. The shelf life of duck eggs based on microbial quality under cold storage and room temperature storage was 15 and 10 d, respectively while the shelf life of chicken eggs was 20 and 15 d, respectively. Different egg types and storage conditions affected Thong Phap quality. Chicken eggs stored for 20 d at 4oC were suitable for producing Thong Phap. However, a sensory evaluation must be conducted before launching the product.

Acknowledgments

This research was financially supported by the Prince of Songkla University (AGR600585S). We would like to thank the Prince of Songkla University and its Faculty of Agro-Industry for equipment and laboratory support.

REFERENCES

Akter, Y., Kasim, A., Omar, H. and Sazili, A.Q. 2014. Effect of storage time and temperature on the quality characteristics of chicken eggs. Journal of Food, Agriculture & Environment 12(3&4):87–92.

Akyurek, H. and Okur, A.A. 2009. Effect of storage time temp and hen age. Journal of Animal and Veterinary Advances 8: 1953–1958.

Alleoni A.C.C. 2006. Albumen protein and functional properties of gelation and foaming. Journal of Scientia Agricola 63: 291–298. 10.1590/S0103-90162006000300013

Alshaikhi, A.M., Abdullatif, A.A., Badwi, M.A. and Alsobayel, A.A. 2020. Effects of storage period, marketing channels and season on internal and external quality of commercial table eggs marketed in Riyadh city (Saudi Arabia). Brazilian Journal of Poultry Science 23(1):1–10. 10.1590/1806-9061-2020-1334

Baharuddin, M., Khaerunnisa, M. and Sappewali. 2020. Characterization of the allergen from egg white with SDS-PAGE. Science & Technology 6(21):28–32.

Banerjee, P., Keener, K.M. and Lukito, V.D. 2011. Influence of carbon dioxide on the activity of chicken egg white lysozyme. Poultry Science 90(4): 889–895. 10.3382/ps.2010-00854

Barać, M.B., Smiljanić, M., Pešić, M.B., Stanojević, S.P., Jovanović, S.T. and Maćej, O.D. 2013. Primary proteolysis of white brined goat cheese monitored by high molarity Tris buffer SDS-PAGE system. Mljekarstvo 63(3):122–131.

Bruwer, M.J., MacGregor, J.F. and Wilfred, M.B. 2007. Fusion of sensory and mechanical testing data to define measures of snack food texture. Journal of Food Quality and Preference 18: 890–900. 10.1016/j.foodqual.2007.03.001

Chaijan, M. 2011. Physicochemical changes of tilapia (Oreochromis niloticus) muscle during salting. Journal of Food Chemistry 129: 1201–1210. 10.1016/j.foodchem.2011.05.110

Chaiyasit, W., Branan, R.G., Chareonsuk, D. and Chanasattru, W. 2019. Comparison of physicochemical and functional properties of chicken and duck eggs albumens. Brazilian Journal of Poultry Science 21(1):1–10. 10.1590/1806-9061-2017-0705

Cláudia, A. and Carraro, A. 2006. Albumen protein and functional properties of gelation and foaming. Journal of Scientia Agricola 63: 291–298. 10.1590/S0103-90162006000300013

Department of Agriculture 2005. Microbial in food and quality certification. The Agricultural Cooperative Federation of Thailand printing house/press. Bangkok. http://lib.doa.go.th/multim/e-book/EB00047.pdf (In thai)

Duizer, L. 2001. A review of acoustic research for studying the sensory perception of crisp, crunchy and crackly textures. Journal of Trends in Food Science and Technology 12: 17–24. 10.1016/S0924-2244(01)00050-4

European Commission. 2012. Nutrition claims (Online). Available: https://ec.europa.eu/food/safety/labelling_nutrition/claims/nutrition_claims_en (13 June 2018).

Feng, P., Weagant, S.D., Grant, M.A. and Burkhardt, W. 2020. BAM chapter 4: Enumeration of Escherichia coli and the coliform bacteria. In The United States Food and Drug Administration (Org.), Bacteriological analytical manual (Online). Silver Spring: The United States Food and Drug Administration. Retrieved from https://www.fda.gov/food/laboratory-methods-food/bam-chapter4-enumeration-escherichia-coli-and-coliform-bacteria

Grashorn, M. 2016. Effect of storage conditions on egg quality. Journal of Lohmann Information 50: 22–27.

Hargitai, R., Mateo, R. and Török, J. 2011. Shell thickness and pore density in relation to shell colouration, female characteristics and environmental factors in the collared flycatcher Ficedula albicollis. Journal of Ornithology 152: 589–595. 10.1007/s10336-011-0665-6

Huang, Q., Qiu, N., Ma, M.H., Jin, Y.G., Yang, H., Geng, F. and Sun, S.H. 2012. Rapid communication estimation of egg freshness using S-ovalbumin as an indicator. Journal of Poultry Science 91: 739–743. 10.3382/ps.2011-01639

Jirangrat, W., Damir, D.T., June, N., Hong, K.N. and Witoon, P. 2010. Effects of mineral oil coating on internal quality of chicken eggs under refrigerated storage. International Journal of Food Science and Technology 45: 490–495. 10.1111/j.1365-2621.2009.02150.x

Kaewmanee, T., Benjakul, S. and Visessanguan, W. 2009. Changes in chemical composition, physical properties and microstructure of duck egg as influenced by salting. Journal of Food Chemistry 112: 560–569. 10.1016/j.foodchem.2008.06.011

Kocetkovs, V., Radenkovs, V., Juhnevica-Radenkova, K. and Muizniece-Brasava, S. 2022. Variation in the fatty acid and amino acid profiles of pasteurized liquid whole hen egg products stored in four types of packaging. Animals 12(21):2990. 10.3390/ani12212990

Lante, A., Lomolino, G., Cagnin, M. and Spettoli, P. 2006. Content and characterisation of minerals in milk and in Crescenza and Squacquerone Italian fresh cheeses by ICP-OES. Journal of Food Control 17: 229–233. 10.1016/j.foodcont.2004.10.010

Liu, Y.C., Ter-Hsin, C., Ying-Chen, W., Yi-Chain, L. and Fa-ju, T. 2016. Effects of egg washing and storage temperature on the quality of eggshell cuticle and eggs. Journal of Food Chemistry 211: 687–693. 10.1016/j.foodchem.2016.05.056

Lomakina, K. and Mikova, K. 2006. A study of the factors affecting the foaming properties of egg white. Czech Journal of Food Sciences 24: 110–118. 10.17221/3305-CJFS

Maysuoka, R., Kurihara, H., Yukawa, H. and Sasahara, R. 2019. Eggshell membrane protein can be absorbed and utilised in the bodies of rat. BMC Research Notes 12(article number 258). 10.1186/s13104-019-4306-0

Mine, Y. and Zhang, H. 2013. Egg components in food systems. In Biochemistry of Foods, 3rd ed., N.A.M. Eskin (Ed.)., Elsevier. Ontario. P.215-241.

Munoz, A., Dominguez-Gasca, N., Jimenez-Lopez, C. and Rodriguez-Navarro, A.B. 2015. Importance of eggshell cuticle composition and maturity for avoiding trans-shell Salmonella contamination in chicken eggs. Journal of Food Control 55: 31–38. 10.1016/j.foodcont.2015.02.028

National Bureau of Thai Agricultural Commodity and Food Standards. 2010a. Hen egg (Online). Available: www.acfs.go.th/standard/download/hen_egg.pdf (21 August 2016).

National Bureau of Thai Agricultural Commodity and Food Standards. 2010b. Duck egg (Online). Available: www.acfs.go.th/standard/download/DUCK_EGG.pdf (21 August 2016).

Nys, Y. and Guyot, N. 2011. 6-Egg formation and chemistry. In Improving the Safety and Quality of Eggs and Egg Products, Y. Nys (Ed.)., Woodhead Publishing Limited, Cambridge. P.83-132.

Özer C. and Cansu, A. 2020. The influence of aging egg on foaming properties of different meringue types. Journal of Culinary Science & Technology 19(8):475–484. 10.1080/15428052.2020.1790073

Ramamurthy, T. and Krishnan, S. 2022. Influence of viscosity on the thermal behavior of fluids in a sealed can. Alexandria Engineering Journal 61(10): 7833–7842. 10.1016/j.aej.2022.01.038

Rojas, F.S., Ojeda, C.B. and Pavón, J.M.C. 2019. Spectrophotometry: Biochemical application. In Encyclopedia of Analytical Science, 3rd Ed, P. Worsfold, C. Poole, A. Townshend, M. Miró (Eds), Elsevier, B.V., Amsterdam, P. 205–213. https://www.sciencedirect.com/science/article/pii/B9780124095472005011

Souza, P.M. and Fernández, A. 2013. Rheological properties and protein quality of UV-C processed liquid egg products. Journal of Food Hydrocolloids 31: 127–134. 10.1016/j.foodhyd.2012.05.013

Spada, F.P., Gutierrez, É.M.R., Souza, M.C., Brazaca, S.G.C., Lemes, D.E.A., Fischer, F.S., et al. 2012. Viscosity of egg white from hens of different strains fed with commercial and natural additives. Journal of Food Science and Technology (Campinas) 32: 47–51. 10.1590/S0101-20612012005000017

Tallent, S., Hait, J., Bennett, R.W. and Lancette, G.A. 2016. BAM chapter 12: Staphylococcus aureus. In The United States Food and Drug Administration (Org.), Bacteriological analytical manual (Online). Silver Spring: The United States Food and Drug Administration. Retrieved from https://www.fda.gov/food/laboratory-methods-food/bam-chapter-12-staphylococcus-aureus

The Poultry Site. 2014. New Digital Haugh Unit Tester Launched (Online). Available: http://www.thepoultrysite.com/poultrynews/32367/new-digital-haugh-unit-tester-launched/ (21 April 2018).

The Nephrology Society of Thailand. 2012. Management of chronic kidney disease patient. Ultra Unionviolet, Bangkok.

The Nephrology Society of Thailand. 2015. Clinical Practice Recommendation for the Evaluation and Management of Chronic Kidney Disease in Adults, Vol. 59, Oxford Academic, Oxford.

Wang, Y., Wang, Z. and Shan, Y. 2019. Assessment of the relationship between ovomucin and albumen quality of shell eggs during storage. Poultry Science 98(1):473–479. 10.3382/ps/pey349

U.S. Food and Drug Administration.2008. Environmental Sampling and Detection of Salmonella in Poultry Houses (Online). Available: http://www.fda.gov/Food/FoodScienceResearch/LaboratoryMethods/ucm114716.htm (29 January 2016).