1Chitkara School of Pharmacy, Chitkara University, Solan, Himachal Pradesh, India;
2Department of Pharmaceutical Sciences and Drug Research, Punjabi University, Patiala, Punjab, India;
3Department of Pharmaceutical Sciences and Technology, Maharaja Ranjit Singh Punjab Technical University, Bathinda, Punjab, India;
4Department of Pharmacology and Toxicology, College of Pharmacy, King Saud University, Riyadh 11451, Saudi Arabia
Mulberry or Morus alba fruits, belonging to the Moraceae family, are well recognized for their distinct taste and high nutritional content. Nevertheless, studies revealing the toxic effects of fruits are scanty. This study aimed to examine the adverse effects of methanolic fruit extract (MFME) derived from M. alba on mice following OECD 425 guidelines. The female Swiss albino mice were divided into two distinct categories. One group was designated as the control group (administered vehicle), while the other was assigned as the test group (administered 2000 mg/kg MFME orally). Subsequently, behavioral changes were monitored daily, and body weights, relative organ weights, and biochemical and hematological parameters were measured. Additionally, liver, kidney, heart, brain, and ovary assessments were conducted on the 14th day to detect any signs of toxicity. A histopathological investigation was conducted on the anesthetized animals’ vital organs (heart, liver, kidney, brain, and ovary). The study’s findings indicate that the oral administration of MFME did not result in any mortality. Additionally, no significant changes were seen in behavior, food and water intake, biochemical parameters, hematological investigations, and organ weights. Furthermore, the histological analysis revealed no notable pathological alterations in the separated essential organs of mice treated with MFME. The results of this study indicate that the oral administration of MFME is deemed safe up to the maximum test dosage of 2000 mg/kg.
Key words: acute oral toxicity, biochemical parameters, histopathology, Morus alba, methanol extract
*Corresponding Authors: Varinder Singh, Assistant Professor, Department of Pharmaceutical Sciences and Technology, Maharaja Ranjit Singh Punjab Technical University, Bathinda, Punjab, India. Email: [email protected] and Richa Shri, Professor, Department of Pharmaceutical Sciences and Drug Research, Punjabi University, Patiala, Punjab, India. Email: [email protected]
Received: 2 April 2024; Accepted: 24 May 2024; Published: 1 July 2024
© 2024 Codon Publications
This is an Open Access article distributed under the terms of the Creative Commons Attribution-NonCommercial-ShareAlike 4.0 International (CC BY-NC-SA 4.0). License (http://creativecommons.org/licenses/by-nc-sa/4.0/)
Globally, there is a growing demand for herbal medicines to treat various health problems. This is because they are cost-efficient, readily available, effective, safe, and well-accepted for treating numerous health concerns (Ekor, 2014; Zhang et al., 2015). Although traditional plant-based drugs have been widely utilized since ancient times for the treatment of specific diseases, there have been reports of their toxic side effects such as cardiotoxicity (Gavanji, 2023), hepatotoxicity (Ma et al., 2023), nephrotoxicity (Kilí-Pstrusīska et al., 2021), and neurotoxicity (Mansouri et al., 2023). These adverse effects may be attributed to the toxic properties of the inherent phytochemicals or the presence of adulterants/contaminants (Tabasum et al., 2016). Thus, with the rising utilization of herbal medicines and herbal products, safety has become a critical component of public health care because consuming medicinal plants without evaluating their efficacy and safety profile may harm several organs.
Morus alba L. (also known as white mulberry) is a species of Moraceae family that has been used as a functional food and for medicinal purposes (Polumackanycz et al., 2019). It is native to Asia and widely cultivated in many subtropical regions of Asia such as China, Japan, India, and Korea, with some extending into tropical areas of Southern Africa, Europe, and North and South America (Sood et al., 2024). Due to their high nutritional value, the fruits of M. alba are extensively used in the production of juice, jam, wine, and canned food, as well as in the industrial-scale fabrication of natural colors, pharmaceuticals, and cosmetic items (Ercisli et al., 2007). Mulberry fruits have been historically used for their purgative, diuretic, laxative, anthelmintic, and brain tonic properties, aiming to enhance joint strength and improve visual acuity (Gong et al., 2008). Pharmacological research has shown that mulberry fruits possess several beneficial properties, including anti-diarrheal, anti-oxidant, anti-inflammatory, anxiolytic, immunomodulatory, anti-diabetic, anti-thrombotic, and neuroprotective benefits (Dhiman et al., 2020; Sood et al., 2023). Various phytocomponents, including polysaccharides, phenols, and flavonoids, have been identified as responsible for these effects (Zhang et al., 2018; Dhiman et al., 2020). Although mulberry fruits have been traditionally utilized for medicinal reasons, further scientific investigations are necessary to evaluate their potential toxicity. Existing acute toxicological information on freeze-dried mulberry fruit powder suggests that orally administered mulberry fruits did not exhibit any toxicity (Wattanathorn et al., 2012). Nonetheless, there is a gap in safety assessment data regarding the mulberry fruit’s methanol extract (MFME). Therefore, the current study examined the acute oral toxicity of ME derived from mulberry fruits in mice, following the test guidelines outlined by the Organization for Economic Co-operation and Development (OECD) 425.
For the present study, carboxymethyl cellulose (CMC) was purchased from Sisco Research Laboratories Pvt. Ltd., Mumbai, India, and various solvents, such as chloroform, petroleum ether, and methanol (S.D. Fine, Mumbai, India), were used.
The M. alba fruits used in our current investigation were manually harvested from a robust plant cultivated in a park located in Sector 42-B, Chandigarh, India, in May 2015. The taxonomist Dr. S.K. Srivastava, Scientist E, Botanical Survey of India, Dehradun, authenticated the species of M. alba (voucher number BSI/NRC/Tech/2015-16/115691 dated 23/06/2015). The gathered fruits were dehydrated in a shaded area and then pulverized into a coarse powder.
The coarse powder (250 g) of M. alba fruits was defatted using petroleum ether (40-60ºC), using a Soxhlet apparatus. The defatted material acquired was then further extracted by Soxhlet extraction (at a temperature of 45°C for 6 h), employing methanol as the solvent. The resulting extract was concentrated using a rotary evaporator to get a methanol extract of M. alba fruit (MFME). Subsequently, the MFME was freeze-dried.
Qualitative preliminary phytochemical screening was performed for prepared crude MFME to detect the presence of various phytoconstituents using the standard procedure described earlier (Evans, 2009; Kaur et al., 2019; Singh et al., 2020).
Swiss albino female mice were procured from the animal house of Lala Lajpat Rai University of Veterinary and Animal Science, Hisar, Haryana. Under standard laboratory conditions, animals were housed in the Central Animal House of Punjabi University, Patiala, Punjab, India. Animals were given food and water ad libitum. The present study used healthy, nulliparous, and non-pregnant female mice weighing 20–30 g and 10–12 weeks old. The research study protocol was reviewed and approved by the Institutional Animal Ethical Committee (Approval No. 107/GO/ReBi/S/99/CPCSEA/2019-27). The animal care was carried out per guidelines of the Committee for Control and Supervision of Experiments on Animals (CPCSEA), Ministry of Environment and Forests, Government of India.
The toxicological effect of MFME was determined following the Organization for Economic Co-operation and Development (OECD) 425 test guidelines (Saleem et al., 2017; Singh et al., 2018; Zarei et al., 2023). Before the administration of MFME, the animals were deprived of food for 3-4 h while unrestricted water access was provided. They were then weighed and randomly assigned to two groups. The first group was a control group administered vehicle (0.5% w/v carboxymethyl cellulose in distilled water) and the second group was assigned as a test group. The test group was administered a single-limit test dosage (2000 mg/kg, p.o.) of MFME (in a vehicle) by oral gavage. Both experimental groups were rigorously monitored for potential harmful effects during the first 6-hour period after treatment and subsequently at regular intervals for 14 days. The body weight of the animals was checked and reported on the 0th, 7th, and 14th day of the trials.
At the end of the experiment, the animals were anesthetized by using anesthetic ether after an overnight fasting period (8 h). Then, blood samples were obtained from the retro-orbital region of each mouse using a capillary tube. These samples were then placed in two separate sterile plastic tubes. One tube was filled with EDTA for hematological evaluations, while the other tube was devoid of EDTA for biochemical measurements.
The blood samples were forwarded to a commercial pathological lab (Apollo Pathological Lab, Patiala, Punjab) for hematological analysis. Several hematological parameters were assessed, including hemoglobin (Hb), total red blood cells (RBCs), packed cell volume (PVC), mean corpuscular volume (MCV), mean corpuscular hemoglobin (MCH), mean corpuscular hemoglobin concentration (MCHC), platelet count, white blood cell count, neutrophils, lymphocytes, monocytes, and eosinophils.
The blood serum was obtained by centrifuging sterile tubes containing blood without EDTA. This serum was transferred to a commercial pathological lab, the Apolo Pathological Lab in Patiala, Punjab, India, to determine biochemical parameters. Renal function parameters (creatinine and urea) and liver function parameters (aspartate aminotransferase (AST), alanine aminotransferase (ALT), alkaline phosphate, bilirubin, albumin, and globulins) were determined in serum. Additionally, lipid profiles such as cholesterol, triglyceride, high-density lipoprotein (HDL), very low-density lipoprotein (VLDL), low-density lipoprotein (LDL), and cholesterol/HDL ratio were observed.
Upon obtaining blood samples, the animals were promptly euthanized by cervical dislocation, and the essential organs were meticulously removed and examined for any noticeable pathological alterations. Subsequently, every removed vital organ was thoroughly cleansed with standard saline solution and subsequently weighed to ascertain the absolute and relative weight of the organ, as shown below:
The isolated organs were histopathologically studied following the methodology reported by Bancroft et al. (1996) with minor modifications described by Puri et al. (2022). Briefly, the separated organs were preserved in a 10% neutral buffered formalin solution with a pH of 7.4. They were then dried using a sequence of ethanol solutions ranging from 70% to 99.9%. Finally, the organs were enclosed in paraffin wax. Using the forward mode wax ribbon cutting technique, the rotary microtome was used to cut sections with a 3-4 μm thickness. These sections were then stained with hematoxylin-eosin (H&E) stains. Subsequently, the slides were examined using a light microscope, and a magnified image of the tissue was obtained for further investigations.
The findings are reported as mean ± standard error mean (SEM). The data was statistically analyzed by one-way ANOVA followed by post hoc Tukey’s test. A significance level of p< 0.05 was deemed statistically significant.
The preliminary analysis of phytochemicals indicated the existence of various classes of compounds, including flavonoids, phenols, and alkaloids, in MFME.
The animals were monitored throughout the first 30-minute period, followed by 4 hours of the treatment. No mortality was observed among animals on administration of 2000 mg/kg of MFME. During the whole 14-day research period, all observations were documented at consistent intervals, and the findings are shown below.
Test animals treated with the extract exhibited a minor increase in respiratory and somatomotor activity during the first 30-minute period. However, this rise was seen to be eliminated within 4 hours of the study. During the 14-day study period, no changes were found in other behavioral characteristics such as convulsion, lethargy, salivation, eyes, skin and hair, fecal consistency, and sleep in the treatment group compared to the control group, as shown in Table 1.
Table 1. Effect of behavioral parameters in vehicle and MFME-treated mice in acute toxicity study.
| Parameters | Observation for vehicle and MFME-treated mice | |||||||||||
|---|---|---|---|---|---|---|---|---|---|---|---|---|
| ½ hour | 1 hr | 4 hr | 24 hr | 7 days | 14 days | |||||||
| VC | MFME | VC | MFME | VC | MFME | VC | MFME | VC | MFME | VC | MFME | |
| Convulsions | No | No | No | No | No | No | No | No | No | No | No | No |
| Eyes | Normal | Normal | Normal | Normal | Normal | Normal | Normal | Normal | Normal | Normal | Normal | Normal |
| Diarrhea | Absent | Absent | Absent | Absent | Absent | Absent | Absent | Absent | Absent | Absent | Absent | Absent |
| Fur and skin | Normal | Normal | Normal | Normal | Normal | Normal | Normal | Normal | Normal | Normal | Normal | Normal |
| Faeces consistency | Normal | Normal | Normal | Normal | Normal | Normal | Normal | Normal | Normal | Normal | Normal | Normal |
| Hyperactivity | Absent | Absent | Absent | Absent | Absent | Absent | Absent | Absent | Absent | Absent | Absent | Absent |
| Itching | No | Yes | No | No | No | No | No | No | No | No | No | No |
| Mucous membrane | Normal | Normal | Normal | Normal | Normal | Normal | Normal | Normal | Normal | Normal | Normal | Normal |
| Respiration | Normal | Increased | Normal | Increased | Normal | Normal | Normal | Normal | Normal | Normal | Normal | Normal |
| Salivation | Normal | Normal | Normal | Normal | Normal | Normal | Normal | Normal | Normal | Normal | Normal | Normal |
| Sleep | Normal | Normal | Normal | Normal | Normal | Normal | Normal | Normal | Normal | Normal | Normal | Normal |
| Tremors | No | No | No | No | No | No | No | No | No | No | No | No |
| Vomiting | Absent | Absent | Absent | Absent | Absent | Absent | Absent | Absent | Absent | Absent | Absent | Absent |
| Mortality | No | No | No | No | No | No | No | No | No | No | No | No |
MFME-M. albafruit methanol extract; VC-vehicle control group
Table 2 displays the body weights of all evaluated animals, including control animals and those treated with MFME extract. The current investigation observed a progressive rise in body weight among both the vehicle and MFME-treated animal cohorts, with no statistically significant differences seen in the extent of body weight gain.
Table 2. Effect of MFME on mice body weight in acute toxicity study.
| Group | Body weight (g)n | ||
|---|---|---|---|
| 0th Day | 7th Day | 14th Day | |
| VC | 24.33±3.06 | 25.01±4.04 | 26.28±4.50 |
| MFME (2000 mg/kg) | 22.67±2.08 | 23.25±2.30 | 24.82±2.52 |
*n=3, data is expressed as mean ± SEM. No statistical difference between control MFME treated mice (p>0.05); VC-Vehicle control; MFME-M. albafruit methanol extract.
Table 3 displays all experimental animals’ feed and water consumption, including the vehicle-treated control and MFME-treated groups. The current investigation found no statistically significant disparity in feed and water consumption between the group treated with MFME and the vehicle.
Table 3. Feed intake by mice treated with vehicle and MFME during acute toxicity study.
| Group | Feed intake (g/animal/day)n | ||
|---|---|---|---|
| 0th Day | 7th Day | 14th Day | |
| VC | 1.18±0.36 | 1.12±0.40 | 1.16±0.30 |
| MFME treated (2000 mg/kg) |
1.24±0.08 | 1.23±0.11 | 1.29±0.12 |
*n=3, data is expressed as mean ± S.D. No statistical difference between the vehicle and MFME treated group (p>0.05), VC-Vehicle control; MFME-M. albafruit methanol extract.
Based on gross morphological assessment, no lesions were seen on isolated essential organs, including the liver, kidney, heart, brain, stomach, spleen, and intestine, of mice treated with MFME. All mice’s absolute and relative organ weights were computed and shown in Table 4. The results indicate no statistically significant difference in the mean absolute and relative organ weight between the control and MFME-treated groups.
Table 4. Absolute and relative organ weight of vehicle and MFME-treated mice during acute toxicity study.
| Organ | Absolute organ weight (g)n | Relative organ weight (%)n | ||
|---|---|---|---|---|
| VC | MFME (2000 mg/kg) | VC | MFME (2000 mg/kg) | |
| Brain | 0.47±0.14 | 0.58±0.19 | 1.79±0.26 | 1.97±0.11 |
| Heart | 0.16±0.05 | 0.15±0.06 | 0.60±0.02 | 0.61±0.04 |
| Liver | 1.87±0.65 | 1.78±0.52 | 3.31±0.13 | 3.14±0.52 |
| Kidney | 0.38±0.07 | 0.35±0.09 | 1.46±0.04 | 1.41±0.09 |
| Lung | 0.26±0.18 | 0.23±0.04 | 0.98±0.18 | 1.16±0.04 |
| Stomach | 0.44±0.05 | 0.41±0.02 | 1.67±0.05 | 1.65±0.02 |
| Spleen | 0.22±0.08 | 0.24±0.07 | 0.83±0.08 | 0.97 ±0.07 |
| Intestine | 0.68±0.41 | 0.71±0.38 | 2.59±0.05 | 2.86±0.38 |
*n=3, data is expressed as mean ± SEM. There was no statistical difference between the VC and MFME treated group (p>0.05), VC-Vehicle control group, and MFME-M. alba fruit methanol extract.
Table 5 presents the hematological analysis findings obtained from the acute MFME testing. No significant changes were seen in the red blood cell (RBC), hemoglobin (Hb) count, mean corpuscular hemoglobin (MCH), neutrophils, monocytes, and eosinophils in the treated group when compared to the control group. Furthermore, the mice treated with MFME did not exhibit any statistically significant alterations in white blood cell count, differential white blood cell count, mean corpuscular volume (MCV), mean corpuscular hemoglobin (MCHC), platelet count, and lymphocytes when compared to the control mice.
Table 5. Effect of MFME on hematological and biochemical parameters on mice in acute toxicity study.
| Parameters | VC | MFME (2000 mg/kg) |
|---|---|---|
| Hematological Tests | ||
| Haemoglobin (g/dL) | 12.5±0.21 | 13.4±0.15 |
| RBC (x 1012/L) | 7.1±0.43 | 6.9±0.34 |
| WBC (x 1012/L) | 2.1±0.22 | 2.0±1.23 |
| Differential Leucocyte Count | ||
| Neutrophils (%) | 68±1.45 | 70±1.57 |
| Lymphocytes (%) | 27±0.19 | 22±0.05 |
| Eosinophils (%) | 03±0.01 | 03±0.01 |
| Monocytes (%) | 05±0.2 | 05±0.2 |
| Basophils (%) | 00±0 | 00±0 |
| Total Platelet Count x 109/L) | 3.62±1.28 | 3.88±1.53 |
| PCV (%) | 37.5±1.63 | 36.8±1.44 |
| MCV (fl) | 78.83±0.7 | 79.53±0.6 |
| MCH (pg) | 26.28±0.40 | 26.51±0.47 |
| MCHC (g/dL) | 33.3±0.16 | 33.3±0.11 |
| Biochemical Tests | ||
| Liver Function Tests | ||
| Total Protein (g/L) | 6.31±0.05 | 6.45±0.09 |
| Total Bilirubin (mg/dL) | 0.67±0.05 | 0.68±0.02 |
| Total Albumin (g/L) | 2.69±0.07 | 2.85±0.04 |
| ALT (IU/L) | 52.49±0.15 | 55.26±0.11 |
| AST (IU/L) | 142.46±0.43 | 143.22±0.26 |
| Kidney Function Tests | ||
| Blood Urea (mg/dL) | 23.87±0.62 | 24.1±0.52 |
| Serum Uric acid (mg/dL) | 4.6±0.21 | 4.5±0.21 |
| Heart Function Tests | ||
| Total Cholesterol (mg/dL) | 143±1.46 | 141±1.66 |
| Triglycerides (mg/dL) | 145±0.78 | 148±0.59 |
| HDL (mg/dL) | 41±1.77 | 45±1.95 |
| LDL (mg/dL) | 73.1±1.87 | 68.7±1.56 |
| VLDL (mg/dL) | 10.6±0.53 | 11.3±0.86 |
| Glucose (mg/dL) | 122.58±1.82 | 121.87±1.09 |
*n=3, data is expressed as mean ± SEM. No statistical difference between vehicle control and MFME treated group (p>0.05); VC-Vehicle control group; MFME-M. albafruit methanol extract.
The present investigation revealed no evidence of hepatotoxicity in mice given MFME, as evidenced by the absence of significant alterations in SGPT, SGOT, albumin, globulin, and total protein levels of the MFME-administered group as compared to the control group. Furthermore, the mice treated with MFME did not exhibit any indications of renal impairment, as shown by the absence of notable alterations in blood creatinine, urea, and uric acid concentrations. Moreover, the findings of our investigation revealed no statistically significant modification in the lipid profile, encompassing HDL, VLDL, cholesterol, triglycerides, LDL, and cholesterol to HDL ratio, of the treated group in comparison to the control group (Table 6).
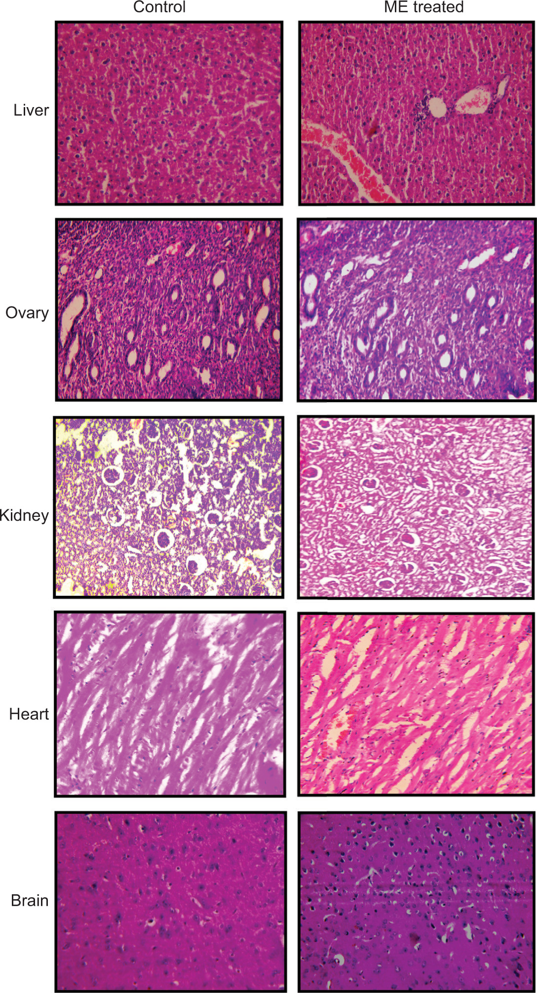
The histological examination of the liver in the control group mice revealed the presence of normal hepatocytes, as well as conventional portal triads, sinusoidal gaps, and a central venous system (Figure 1). Likewise, no pathological alterations were detected in the renal medulla and cortical area of the group treated with MFME compared to the vehicle control group. The histopathological examination of all mice groups’ ovaries (Figure 1) revealed no detectable abnormalities. The hippocampal region of all mice was examined histopathologically, showing a consistent histological structure characterized by a well-defined arrangement of normal pyramidal neurons.
Figure 1. Histopathological effect of MFME on mice liver, ovary, kidney, heart, and brain.
The use of medicinal plants for millennia in treating several maladies has garnered fresh interest due to the growing popularity of phytotherapy (Nasim et al., 2022; Singh et al., 2023). The World Health Organization (WHO) encourages the ethnomedicinal use of herbal remedies while stressing the importance of safety evaluations (Daswani et al., 2006). There is a shared emphasis by both the FDA and WHO on the need to conduct scientifically grounded research to substantiate the effectiveness and safety of herbal medicines (Moreira et al., 2014). Acknowledging the importance of performing preliminary toxicological evaluations to verify the safety of herbal treatments, the present work aimed to evaluate the acute toxicity of the methanol extract derived from M. alba fruits. The study adhered to the guidelines outlined in OECD 425 TG for conducting an acute oral toxicity investigation (OECD, 2008).
In the phytochemical analysis of MFME, alkaloids, flavonoids, and phenolic compounds were observed. Clinical signs and symptoms are crucial in evaluating the harmful impact of medications on vital organs, serving as main indications of toxicity (Olson et al., 2000). During the first 30 minutes of the study period, behavioral alterations, including heightened breathing and somatomotor activity, were seen in mice. However, these symptoms were eliminated over 4 hours (Table 1), and no deceased animals were observed. The evaluation of the safety profile of possible therapeutic agents necessitates the consideration of several criteria, such as food intake. This factor is of utmost importance as it plays a critical role in maintaining normal physiological conditions and mitigating the risk of obtaining inaccurate findings resulting from nutritional deficiencies. During a 14-day assessment, the study found usual patterns of food and water consumption and non-significant fluctuations in the body weight of animals. This implies that the efficient metabolism of vital nutrients, such as carbohydrates, proteins, and lipids, plays a role in maintaining optimal physiological processes inside the body.
Quantifying absolute organ weight is a crucial measure of standard and abnormal conditions in animals. Assessing relative organ weight is vital in determining the extent of organ harm (Guergour et al., 2017). In the present study, no marked change in organ weight was observed in animals treated with MFME, highlighting the minimal toxicity associated with MFME.
The hematopoietic system is a crucial indicator for assessing humans’ and animals’ physiological and pathological conditions and identifying vulnerable areas for toxic substances (Muthuraman et al., 2012). Thus, examining blood parameters is crucial in toxicity assessment (Hazarika et al., 2019). No notable alterations were seen in the red blood cell (RBC) count, indicating that MFME does not impact the processes of erythropoiesis, morphology, or osmotic fragility of the RBCs. Consequently, no harmful effect was observed on the blood system. Furthermore, statistically, there is no notable change in the white and differential white blood cell counts, indicating the absence of any cellular inflammatory activity.
Drug metabolism and excretion mainly occur in the liver and kidney. Therefore, analyzing liver and kidney functions is crucial to determining the toxic profile of extracts/drugs (Dybing et al., 2020). The present investigation revealed no evidence of hepatotoxicity in mice given a dose of 2000 mg/kg of MFME extract, as supported by the absence of significant alterations in the SGPT, SGOT, albumin, globulin, or total protein level. Further, mice treated with MFME did not exhibit any indications of renal impairment, as shown by the absence of notable alterations in blood creatinine and urea concentrations. In addition, our research findings indicated no remarkable changes in the lipid profile, including HDL, VLDL, cholesterol, triglycerides, LDL, and cholesterol to HDL ratio (Table 5). This suggests that the extract did not have any impact on lipid levels.
Morphological and histopathological examinations substantiated the hematological and biochemical evaluations. Metabolic responses induced by toxicants mainly impact essential organs such as the heart, liver, kidney, brain, and ovary (Zainal et al., 2020; Bassan et al., 2021). In the current investigation, it was observed that mice subjected to MFME treatment did not display any abnormalities or modifications in the color, size, and morphology of isolated organs as compared to the control group. Significantly, the histological exams conducted on the mice treated with the extract showed no noteworthy organ alterations in the organs, demonstrating no hazardous consequences. These findings indicate that the mice did not experience any adverse effects when MFME was administered orally at 2000 mg/kg.
Based on the results obtained from the acute toxicity research conducted following OECD 425 guidelines, it can be inferred that mice exhibited a favorable tolerance towards oral administrations of MFME at a dose of 2000 mg/kg. MFME showed no observable detrimental effects on mice during this investigation. Additionally, MFME had negligible impacts on mice’s physiological, hematological, and biochemical parameters mice, as shown by gross and histological examinations of critical organs. Hence, it is probable that administration of MFME is safe in mice up to the dose of 2000 mg/kg. Therefore, this fruit extract may be used for several pharmacological investigations and to develop standardized/nutraceutical formulations. However, further studies, such as the evaluation of chronic toxicity of MFME involving repeated administration over an extended period at several doses and the effect of MFME on genotoxicity, neurotoxicity, reproductive toxicity, and potential carcinogenic effects, are certainly required for its potential use in long-term therapeutics or nutraceutical applications.
This research was funded by King Saud University, Riyadh, Saudi Arabia, Project Number (RSPD2024R709).
The authors acknowledge and extend their appreciation to the Researchers Supporting Project Number (RSPD2024R709), King Saud University, Riyadh, Saudi Arabia, for funding this study.
The authors declare no conflict of interest.
Parul Sood conducted the experimental work, analyzed and interpreted the data; Richa Shri conceptualized and designed the study and did the final review and editing of the manuscript; Varinder Singh conceived the idea, drafted and revised the manuscript; Sheikh F. Ahmad and Sabry M. Attia provided funding support.
Banchroft, A.S., Turner, D.R. (1996) Theory and practice of histological techniques. 4th edn. Churchil livingstone, New York, London, San Francisco, Tokyo.
Bassan, A., Alves, V.M., Amberg, A., Anger, L.T., Beilke, L., Bender, A., et al. (2021) In silico approaches in organ toxicity hazard assessment: Current status and future needs for predicting heart, kidney and lung toxicities. Computational Toxicology, 20:100188. 10.1016/j.comtox.2021.100187
Bose, S., Datta, R., and Kirlin, W.G. (2021) Toxicity studies related to medicinal plants; in Mandal, S.C., Chakraborty, R., Sen, S. (eds.), Evidence based validation of traditional medicines, Singapore: Springer, pp. 621–647. 10.1007/978-981-15-8127-4_30
Daswani, G.P., Brijesh, S., Birdi, J.T. (2006) Preclinical testing of medicinal plants: advantages and approaches; in Workshop proceedings on approaches towards evaluation of medicinal plants prior to clinical trial. pp. 60–77.
Dhiman, S., Kumar, V., Mehta, C.M., Gat, Y., Kaur, S. (2020) Bioactive compounds, health benefits and utilisation of Morus spp.–a comprehensive review. The Journal of Horticultural Science and Biotechnology, 95(1):8–18. 10.1080/14620316.2019.1644969
Dybing, E., Doe, J., Groten, J., Kleiner, J., O’brien, J., Renwick, A.G., et al. (2020) Hazard characterisation of chemicals in food and diet: dose response, mechanisms and extrapolation issues. Food and Chemical Toxicology, 40(2–3):237–282. 10.1016/S0278-6915(01)00115-6
Ekor, M. (2014) The growing use of herbal medicines: issues relating to adverse reactions and challenges in monitoring safety. Frontiers in Pharmacology, 4:177. 10.3389/fphar.2013.00177
Ercisli, S., Orhan, E. (2007) Chemical composition of white (Morus alba) red (Morus rubra) and black (Morus nigra) mulberry fruits. Food Chemistry, 103:1380–1384. 10.1016/j.foodchem.2006.10.054
Evans, W.C. (2009) Trease and Evans Pharmacognosy, 16th edn. Saunders: Elsevier; pp. 135–415. 10.1016/B978-0-7020-2933-2.00017-4
Gavanji, S. (2023) Cardiotoxicity effects of herbal medicine, a review article. Biology Medicine and Natural Product Chemistry, 12(1):89–96. 10.14421/biomedich.2023.121.89-96
Gong, S.X., Zhu, J.P. (2008) Mulberry relieving nutritional anemi. Journal of Traditional and Complementary Medicine, 32:350–352.
Guergour, H., Allouni, R., Mahdeb, N., Bouzidi, A. (2017) Acute and subacute toxicity evaluation of alkaloids of Peganum harmala L. in experimental mice. International Journal of Pharmacognosy and Phytochemical Research, 9:1182–1189. 10.25258/phyto.v9i09.10304
Hazarika, I., Geetha, K.M., Sundari, P.S., Madhu, D. (2019) Acute oral toxicity evaluation of extracts of Hydrocotyle sibthorpioides in wister albino rats as per OECD 425 TG. Toxicology Reports, 6:321–328. 10.1016/j.toxrep.2019.04.001
Kaur, A., Randhawa, K., Singh, V., Shri, R. (2019) Bioactivity guided isolation of acetylcholinesterase inhibitor from Ganoderma mediosinense (Agaricomycetes). International Journal of Medicinal Mushroom, 21:755–763. 10.1615/IntJMedMushrooms.2019031508
Kiliś-Pstrusińska, K., Wiela-Hojeńska, A. (2021) Nephrotoxicity of herbal Ppoducts in Europe—A review of an underestimated problem of nephrotoxicity of herbal products. International Journal of Molecular Sciences, 22:4132. 10.3390/ijms22084132
Ma, Z.T., Shi, Z., Xiao, X.H., Wang, J.B. (2023) New Insights into Herb-Induced Liver Injury. Antioxidants and Redox Signaling, 38:16–18. 10.1089/ars.2022.0134
Mansouri, A., Huusom, A.J., Hjortshøj, C. (2023) Neurotoxicity in a child after ingestion of star anise. Ugeskrift for Laeger 185:V06220370.
Moreira, D.D., Teixeira, S.S., Monteiro, M.H., De-Oliveira, A.C., Paumgartten, F.J. (2014) Traditional use and safety of herbal medicines. Revista Brasileira de Farmacognosia. 24(2):248–257. 10.1016/j.bjp.2014.03.006
Muthuraman, A., Singh, N. (2012) Acute and sub-acute oral toxicity profile of Acorus calamus (Sweet flag) in rodents. Asian Pacific Journal of Tropical Biomedicine, 2:S1017–S1023. 10.1016/S2221-1691(12)60354-2
Nasim, N., Sandeep, I.S., Mohanty, S. (2022) Plant-derived natural products for drug discovery: current approaches and prospects. Nucleus (Calcutta), 65(3):399–411. 10.1007/s13237-022-00405-3
Olson, H., Betton, G., Robinson, D., Thomas, K., Monro, A., Kolaja, G., et al. (2000) Concordance of the toxicity of pharmaceuticals in humans and in animals. Regulatory Toxicology and Pharmacology, 32:56–67. 10.1006/rtph.2000.1399
Organisation for Economic Co-operation and Development (OECD). (2008) Test No. 425: acute oral toxicity: up-and-down procedure. OECD publishing.
Polumackanycz, M., Sledzinski, T., Goyke, E., Wesolowski, M., Viapiana, A. (2019) A comparative study on the phenolic composition and biological activities of Morus alba L. commercial samples. Molecules, 24:3082. 10.3390/molecules24173082
Puri, V., Sharma, A., Kumar, P., Dua, K., Huanbutta, K., Singh, I., et al. (2022) Assessment of acute oral toxicity of thiolated gum ghatti in rats. Polymers, 14(18):3836. 10.3390/polym14183836
Saleem, U., Amin, S., Ahmad, B., Azeem, H., Anwar, F., Mary, S. (2017) Acute oral toxicity evaluation of aqueous ethanolic extract of Saccharum munja Roxb. roots in albino mice as per OECD 425 TG. Toxicology Reports, 4:580–585. 10.1016/j.toxrep.2017.10.005
Singh, V., Mujwar, S., Singh, M., Singh, T., Ahmad, S.F. (2023) Computational Studies to understand the neuroprotective mechanism of action basil compounds. Molecules, 28:7005. 10.3390/molecules28207005
Singh, V., Shri, R., Krishan, P., Singh, I.P., Shah, P. (2020) Isolation and characterization of components responsible for neuroprotective effects of Allium cepa outer scale extract against ischemia reperfusion induced cerebral injury in mice. Journal of Food Science, 85:4009–4017. 10.1111/1750-3841.15474
Singh, V., Krishan, P., Shri, R. (2018) Improvement of memory and neurological deficit with Ocimum basilicum L. extract after ischemia reperfusion induced cerebral injury in mice. Metabolic Brain Disease, 33:1111–1120. 10.1007/s11011-018-0215-5
Sood, P., Singh, V., Shri, R. (2023) Morus alba fruit diet ameliorates cognitive deficit in mouse model of streptozotocin-induced memory impairment. Metabolic Brain Disease, 38:1657–1669. 10.1007/s11011-023-01199-2
Sood, P., Singh, V., Shri, R. (2024) Morus Alba Fruit Extract and its Fractions Ameliorate Streptozotocin Induced Cognitive Deficit in Mice via Modulating Oxidative and Cholinergic Systems. Neurochemical Research. 49:52–65. 10.1007/s11064-023-04009-4
Srivastava, S., Kapoor, R., Thathola, A., Srivastava, R.P. (2006) Nutritional quality of leaves of some genotypes of mulberry (Morus alba). International Journal of Food Sciences and Nutrition, 57:305–313. 10.1080/09637480600801837
Tabasum, S., Khare, S., Jain, K. (2016) Acute oral toxicity study of hydro-methanolic extract of Abrus precatorius l. seeds in wistar rats. International Journal of Pharmaceutical Sciences Review and Research, 38:155–158.
Vaghasiya, Y.K., Shukla, V.J., Chanda, S.V. (2011) Acute oral toxicity study of Pluchea arguta Boiss extract in mice. Journal of Pharmacology and Toxicology, 6:113–123. 10.3923/jpt.2011.113.123
Wattanathorn, J., Thukummee, W., Thipkaew, C., Wannanond, P., Tong-Un, T., Muchimapura, S., et al. (2012) Acute and subchronic toxicity of mulberry fruits. American Journal of Agricultural and Biological Sciences, 7:378–383. 10.3844/ajabssp.2012.378.383
Zainal, Z., Ong, A., Yuen May, C., Chang, S.K., Abdul Rahim, A., Khaza’ai, H. (2020) Acute and subchronic oral toxicity of oil palm puree in Sprague–Dawley rats. International Journal of Environmental Research and Public Health, 17(10):3404. 10.3390/ijerph17103404
Zarei, M.H., Lorigooini, Z., Khoei, H.A., Bijad, E. (2023) Acute oral toxicity assessment of galbanic acid in albino rat according to OECD 425 TG. Toxicology Reports, 1(11):111:115. 10.1016/j.toxrep.2023.07.001
Zhang, H., Ma, Z.F., Luo, X., Li, X. (2018) Effects of mulberry fruit (Morus alba L.) consumption on health outcomes: a mini-review. Antioxidants, 7:69. 10.3390/antiox7050069
Zhang, J., Onakpoya, I.J., Posadzki, P., Eddouks, M. (2015). The safety of herbal medicine: from prejudice to evidence. Evidence-Based Complementary and Alternative Medicine, 2015, 316706. 10.1155/2015/316706